Go back
        Pediatric Urography
        
            Helios Klinikum, Krefeld, Germany        
     
    
    
    
        Gallery
        
    
        - 
      
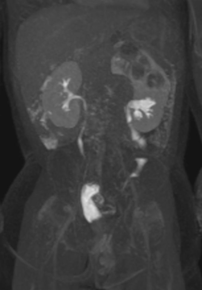
         Coronal T2w MultiVane XD
- 
      
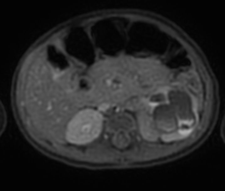
         Axial T2w MultiVane XD SPAIR
- 
      
         Sagittal T2w MultiVane XD SPAIR
- 
      
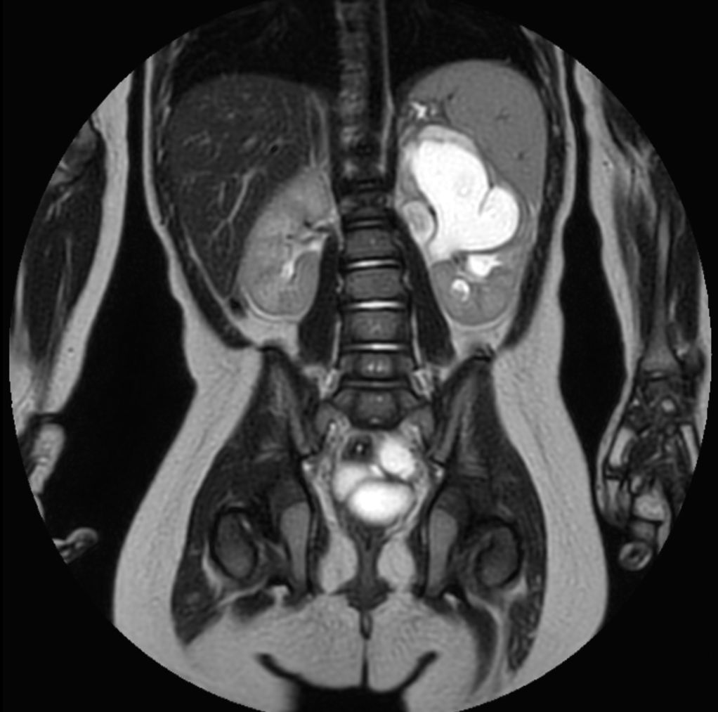
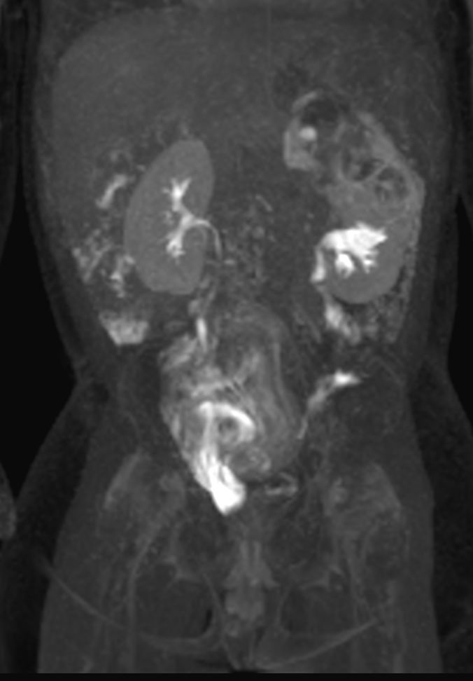
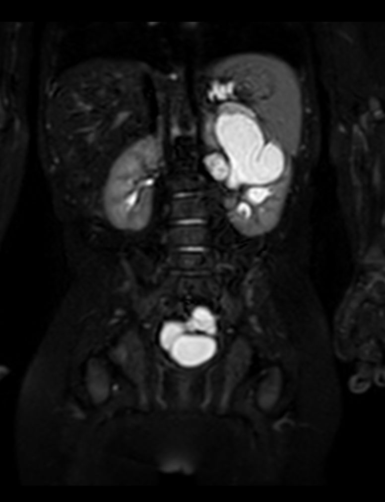
         Coronal 3D VIEW T2w SPIR
- 
      
         3D VIEW T2w SPIR - Axial reformat
- 
      
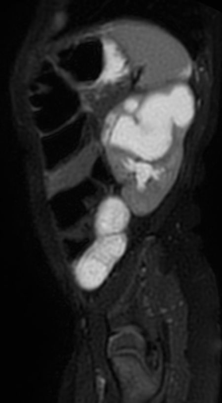
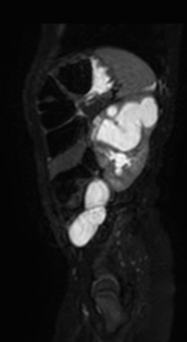
         3D VIEW T2w SPIR - Sagittal reformat
- 
      
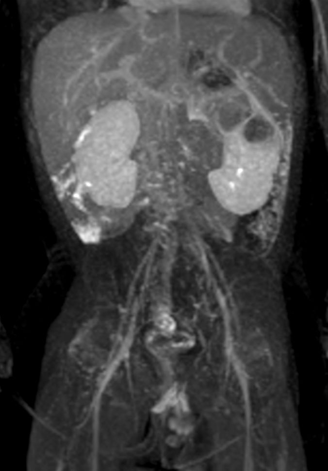
         Coronal dynamic eTHRIVE
                    
             
- 
      
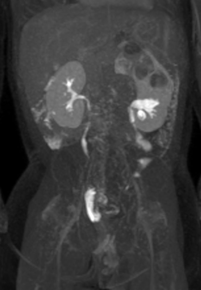
         Coronal dynamic mDIXON XD - 3 min post-injection
- 
      
         Coronal dynamic mDIXON XD - 6 min post-injection
- 
      
         Coronal dynamic mDIXON XD - 9 min post-injection
- 
      
         Coronal dynamic mDIXON XD - 12 min post-injection
- 
      
         Coronal dynamic mDIXON XD - 15 min post-injection
- 
      
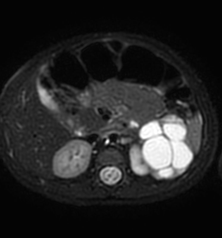
         Axial T1w MultiVane XD SPIR with gado
Previous
    Next         
    
    Close
    
    
        
        Resolution
ScantimeObjective
    
     
             
    
        
            *Results from case studies are not predictive of results in other cases. Results in other cases may vary.