Go back
        Advanced Neuro MR - SWIp
        
            University of Michigan Hospital, Ann Arbor, USA        
     
    
    
    
        Gallery
        
    
        - 
      
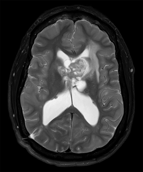
         Axial T2w TSE
- 
      
         Axial T2w FLAIR
- 
      
         Axial T2w FFE
- 
      
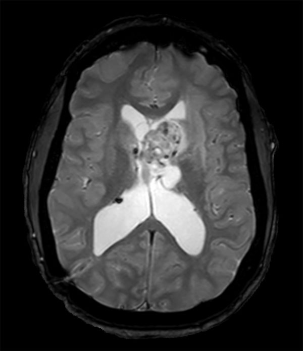
         Axial Diffusion
- 
      
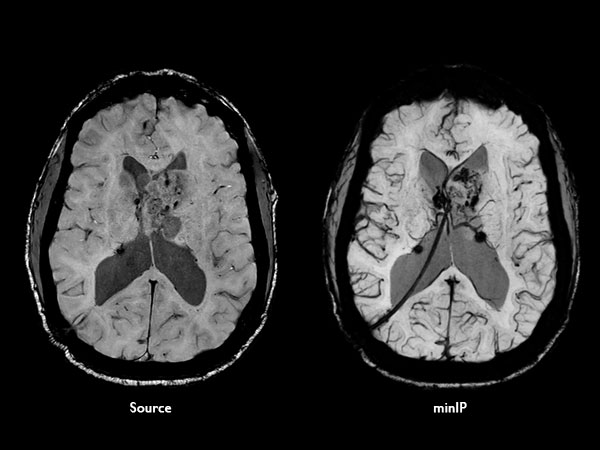
         Axial SWIp
- 
      
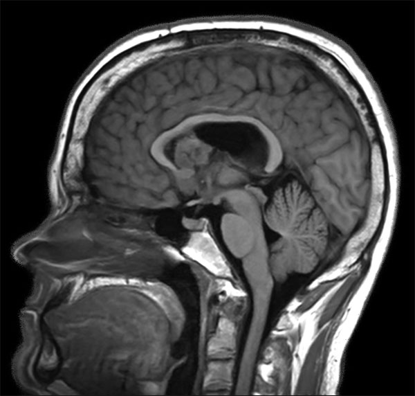
         Sagittal T1W IR TSE
- 
      
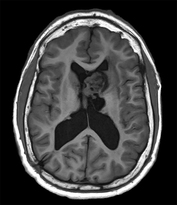
         Axial T1W IR TSE
- 
      
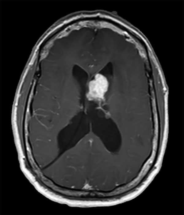
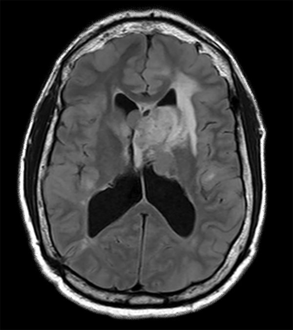
         Axial T1W SE (with gado)
- 
      
         T1w 3D TFE (with gado)
Previous
    Next         
    
    Close
    
    
        
        Resolution
ScantimeObjective
    
     
             
    
        
            *Results from case studies are not predictive of results in other cases. Results in other cases may vary.