Go back
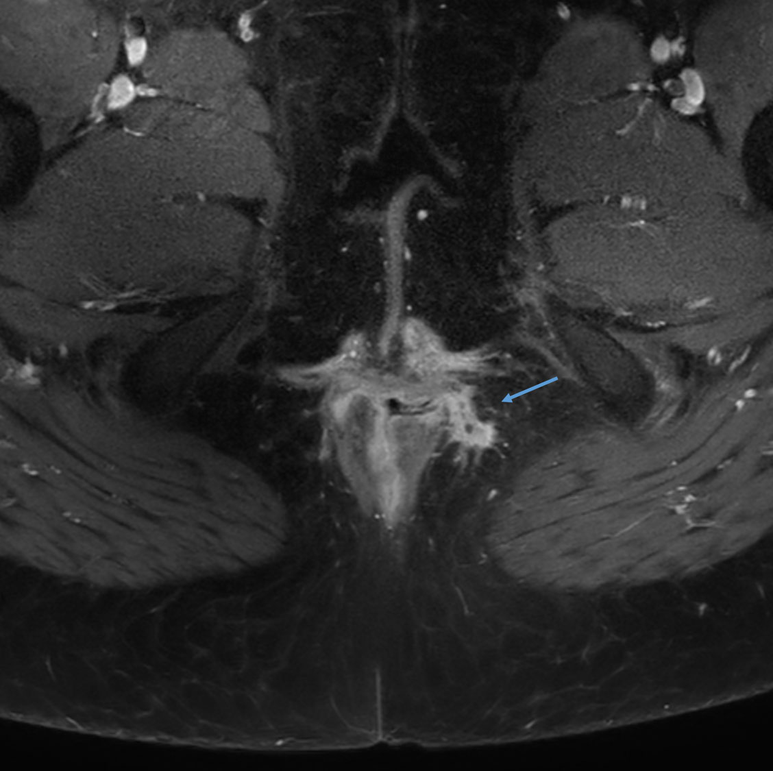
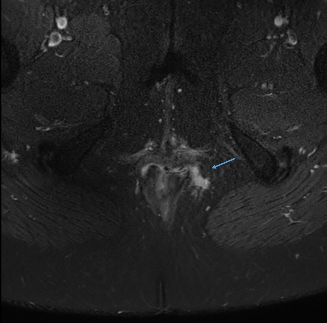
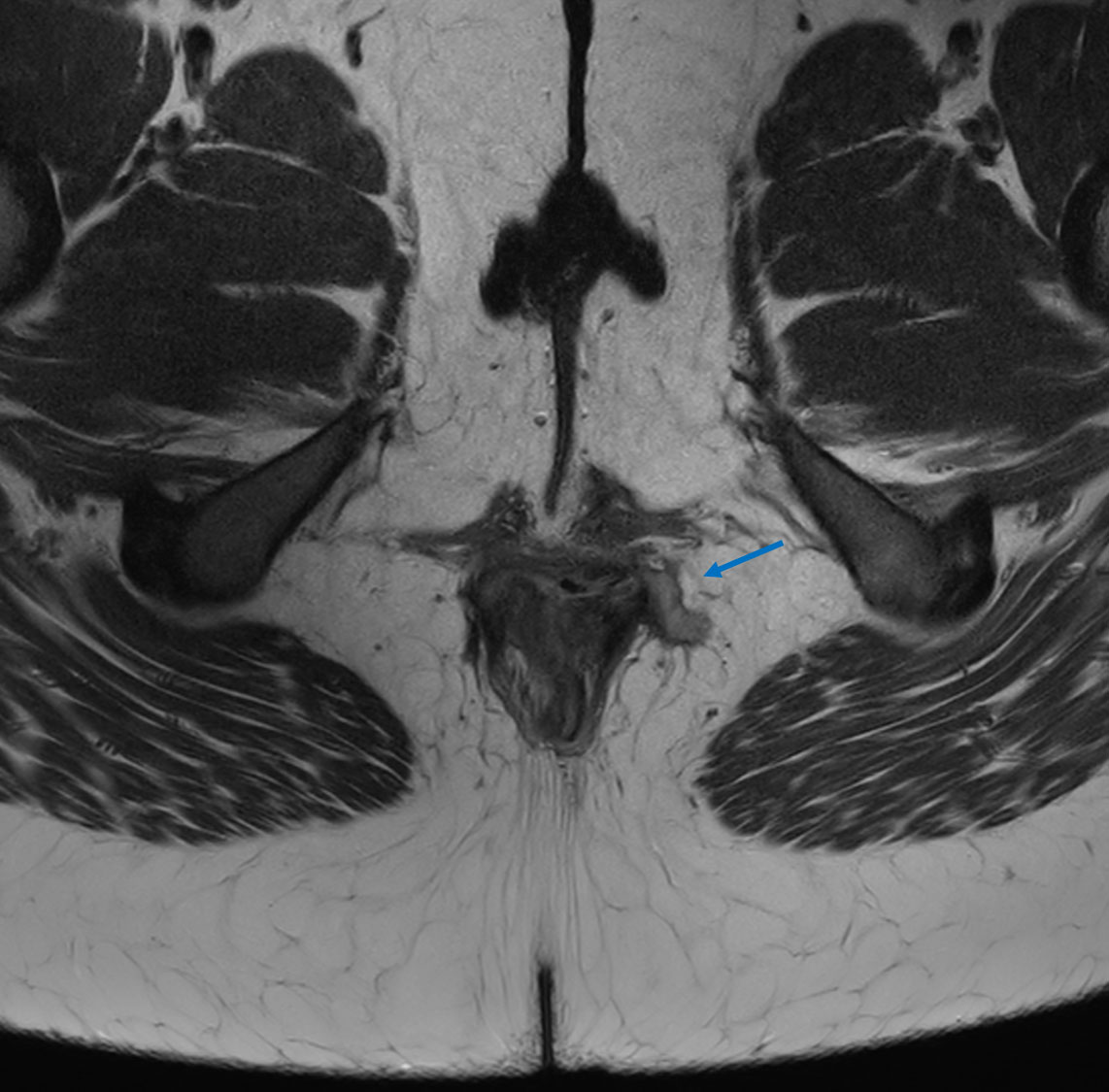
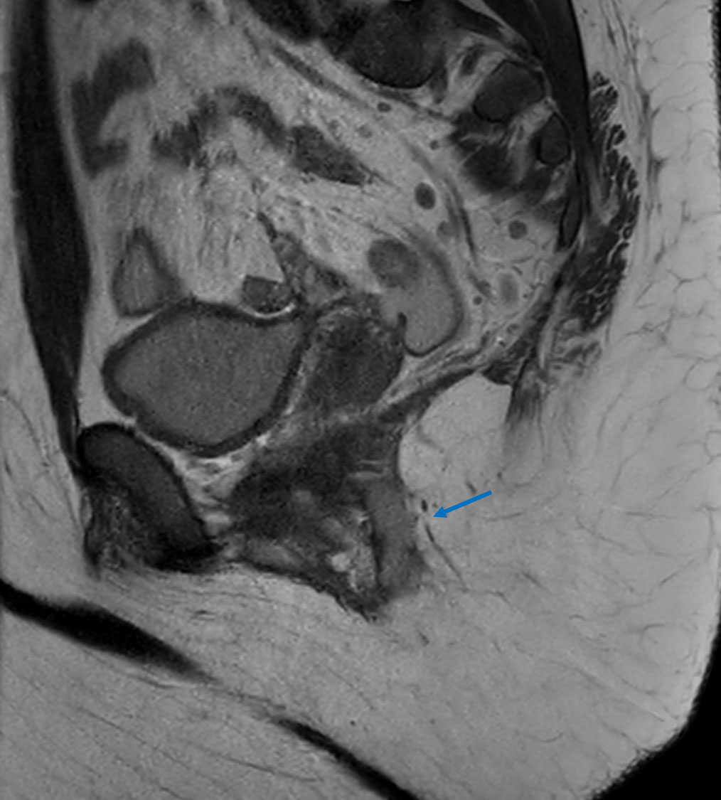
        Pelvis with fistula
        
            Academic Medical Center, Amsterdam, Netherlands        
     
            
            
                
Patient information
                Patient with a pelvic fistula            
        
    
    
    
        Gallery
        
    
        - 
      
         Sagittal T2w TSE
- 
      
         Coronal T2w TSE 
- 
      
         Axial T2w TSE
- 
      
         Axial T2w SPAIR
- 
      
         Axial T1w SPIR with gado
Previous
    Next         
    
    Close
    
    
        
        Resolution
ScantimeObjective
    
     
             
    
        
            *Results from case studies are not predictive of results in other cases. Results in other cases may vary.