Go back
        Pancreas with Vega HP gradients
        
            Technical University Munich, Germany        
     
            
            
                
Patient information
                The benefits of enhanced Vega HP gradients in DWI is the reduced distortion and increased signal which can be traded for thinner slices.
Comparisons of DWI sequences with 4 mm versus 3 mm slice thickness are included.
Compressed SENSE is utilized to help decrease scan time for both free breathing 3D MRCP and breath hold 3D MRCP, down to 12 seconds.
Compressed SENSE is also used to decrease the breath hold time to 9 seconds for the dynamic mDIXON scan.
Not only does this decrease scan time but it may allow the patient to comfortably hold their breath for the entirety of the sequence.            
        
    
    
    
        Gallery
        
    
        - 
      
         Axial T2w TSE MultiVane XD
- 
      
         Axial T2w TSE single shot
- 
      
         Coronal T2w TSE single shot
- 
      
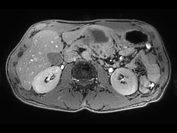
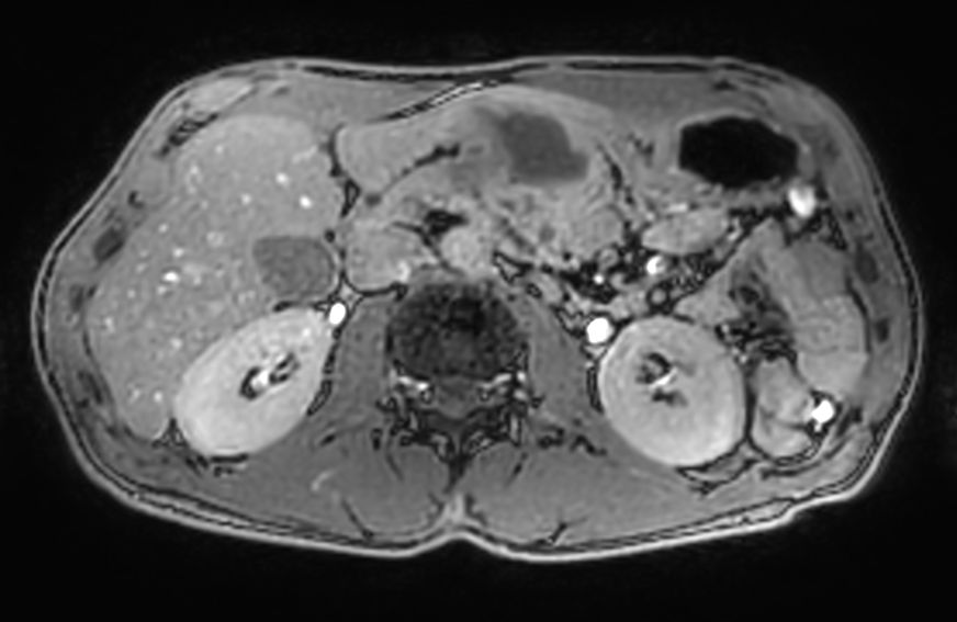
         Axial T1w Dual FFEIn phase
- 
      
         Axial T1w Dual FFEOut phase
- 
      
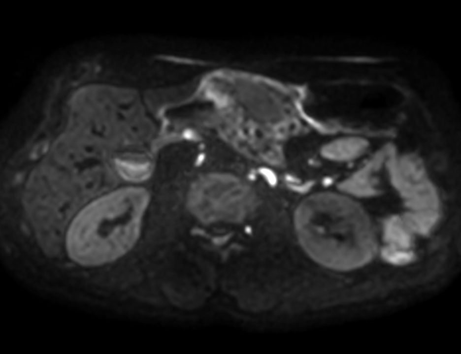
         Axial DWI b10003mm slices
- 
      
         Axial DWI b503mm slices
- 
      
         Axial DWI b6003mm slices
- 
      
         Axial DWI ADC3mm slices
- 
      
         Axial DWI b504mm slices
- 
      
         Axial DWI b6004mm slices
- 
      
         Axial DWI ADC4mm slices
- 
      
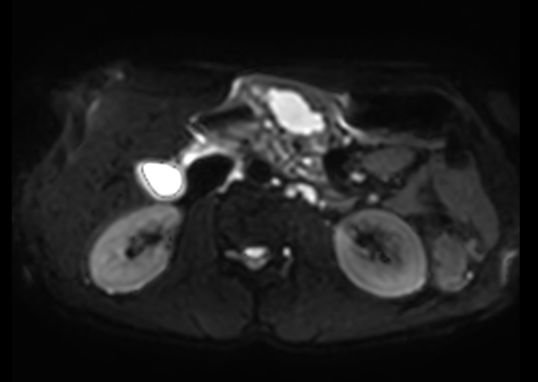
         Coronal 3D MRCPResp. triggered
                    
             
- 
      
         Coronal 3D MRCPBreath hold
                    
             
- 
      
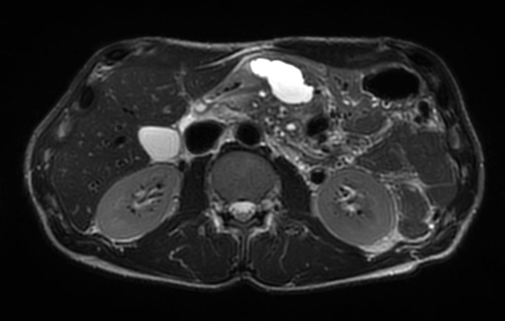
         Axial dynamic T1w FFEmDIXON XD
                    
             
Previous
    Next         
    
    Close
    
    
        
        Resolution
ScantimeObjective
    
     
             
    
        
            *Results from case studies are not predictive of results in other cases. Results in other cases may vary.
 1Compared to scans without Compressed SENSE
Results from case studies are not predictive of results in other cases. Results in other cases may vary.