- 
    .jpg)  
         Sagittal PDw mDIXON TSE  (water only)
- 
    .jpg)  
         Sagittal PDw mDIXON TSE  (In Phase)
- 
    .jpg)  
         Coronal PDw mDIXON TSE  (water only)
- 
    .jpg)  
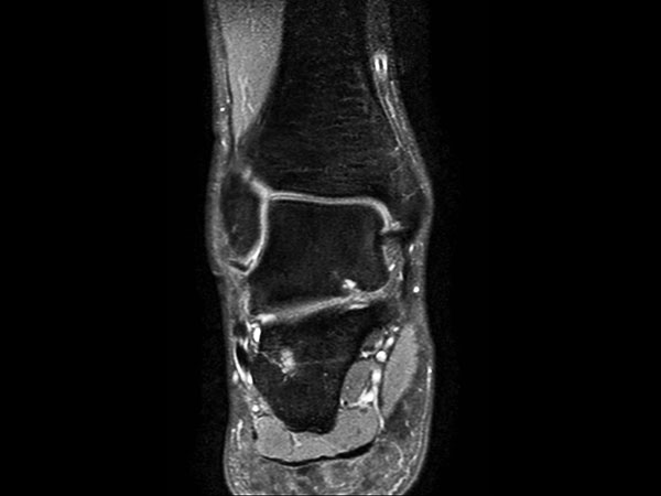
         Coronal PDw mDIXON TSE (In Phase)
- 
    -(foot).jpg)  
         Coronal PDw mDIXON TSE  (water only)
- 
    -(foot).jpg)  
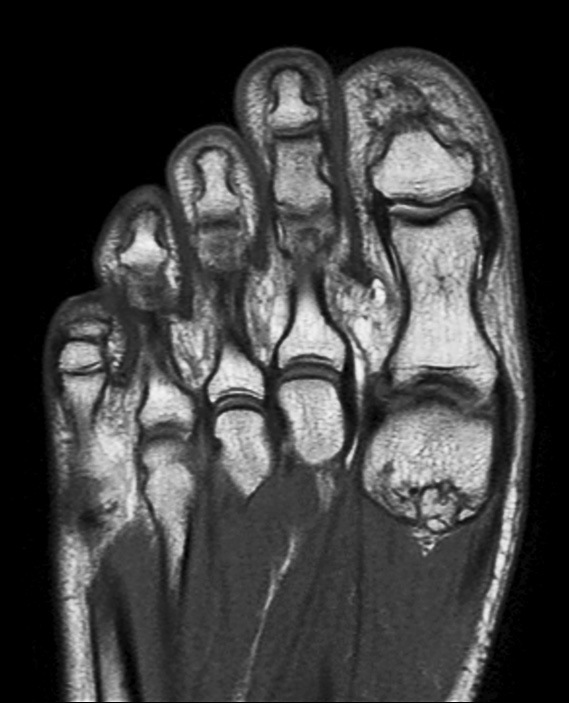
         Coronal PDw mDIXON TSE (In Phase)
- 
    .jpg)  
         Axial PDw mDIXON TSE  (water only)
- 
    .jpg)  
         Axial PDw mDIXON TSE  (In Phase)
- 
    -(foot).jpg)  
         Sagittal PDw mDIXON TSE  (water only)
- 
    -(foot).jpg)  
         Sagittal PDw mDIXON TSE (In Phase)