Go back
        Fetal Arachnoid Cyst
        
            Monash Childrens Hospital, Clayton, Australia        
     
            
            
                
Patient information
                Pregnant patient, referred to MRI for fetal brain imaging because of suspected arachnoid cyst.            
        
    
    
    
        Gallery
        
    
        - 
      
         Axial T2w TSE single shot
- 
      
         Coronal T2w TSE single shot
- 
      
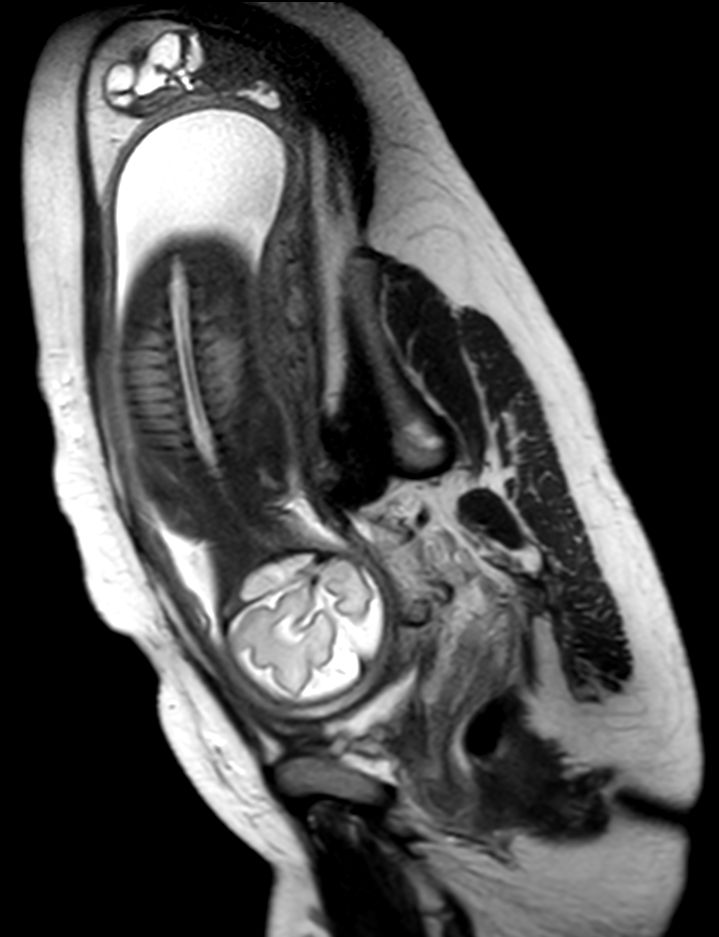
         Sagittal T2w TSE single shot
- 
      
         Axial T1w TFE
- 
      
         Axial T2* EPI
- 
      
         Axial DWI (b700)
- 
      
         Axial DWI (ADC)
- 
      
         Sagittal T2w TSE single shot (Spine)
- 
      
         Coronal T2w TSE single shot (Spine)
- 
      
         SV Spectro TE 33
- 
      
         SV Spectro TE 288
Previous
    Next         
    
    Close
    
    
        
        Resolution
ScantimeObjective
    
     
             
    
        
            *Results from case studies are not predictive of results in other cases. Results in other cases may vary.