Go back
        Knee Imaging with Cartilage Assessment
        
            Palo Alto Medical Foundation, California, USA        
     
            
            
                
Patient information
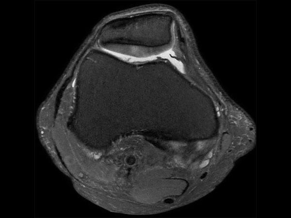
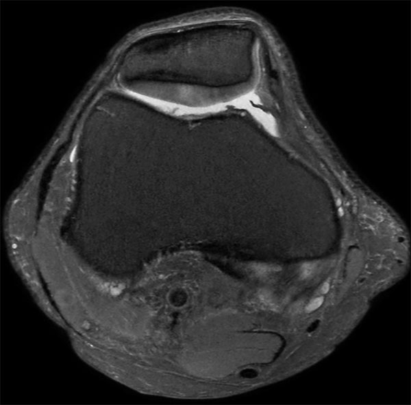
                Middle aged board surfer presents with chronic knee pain. X-Ray shows no abnormalities. Follow-up MR examination requested.            
        
    
    
    
        Gallery
                
    
    Close
    
    
        
        Resolution
ScantimeObjective
    
     
             
    
        
            *Results from case studies are not predictive of results in other cases. Results in other cases may vary.