Go back

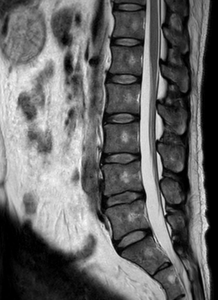
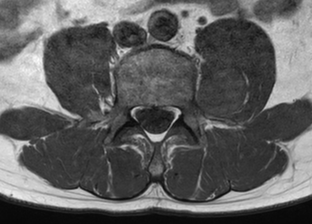
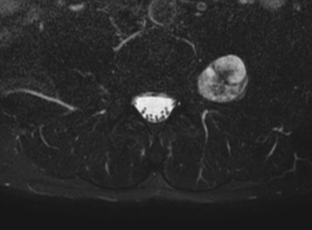
Neurography schwannoma (Compressed SENSE)

Kurashiki Central Hospital, Okayama, Japan

Patient information

Patient with a lumbar neurography schwannoma.

Used Solution

  • System

  • Coil

  • Clinical Application

  • Clinical Application

*Results from case studies are not predictive of results in other cases. Results in other cases may vary.

1Compared to scans without Compressed SENSE
Results from case studies are not predictive of results in other cases. Results in other cases may vary.