Go back
        Multi-phase, contrast-enhanced renal imaging
        
            Shimane University Faculty of Medicine, Japan        
     
            
            
                
Patient information
                Patient with a kidney lesion. The ExamCard includes techniques for 3D imaging (PelvisVIEW, eTHRIVE) allowing for multiple image directions in one single scan, efficient fat-free imaging over large field-of-views (mDIXON XD), a multi-phase contrast-enhanced sequence (4D FreeBreathing) to improve imaging confidence and Compressed SENSE to accelerate the entire exam.            
        
    
    
    
        Gallery
        
    
        - 
      
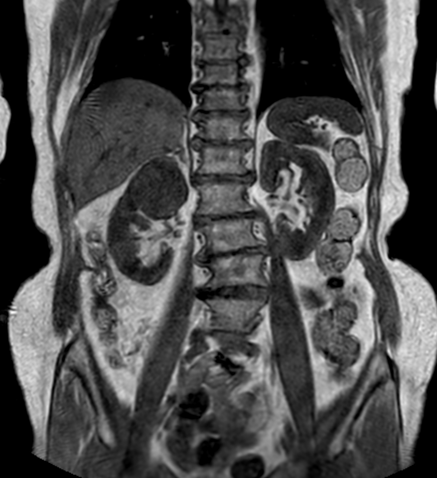
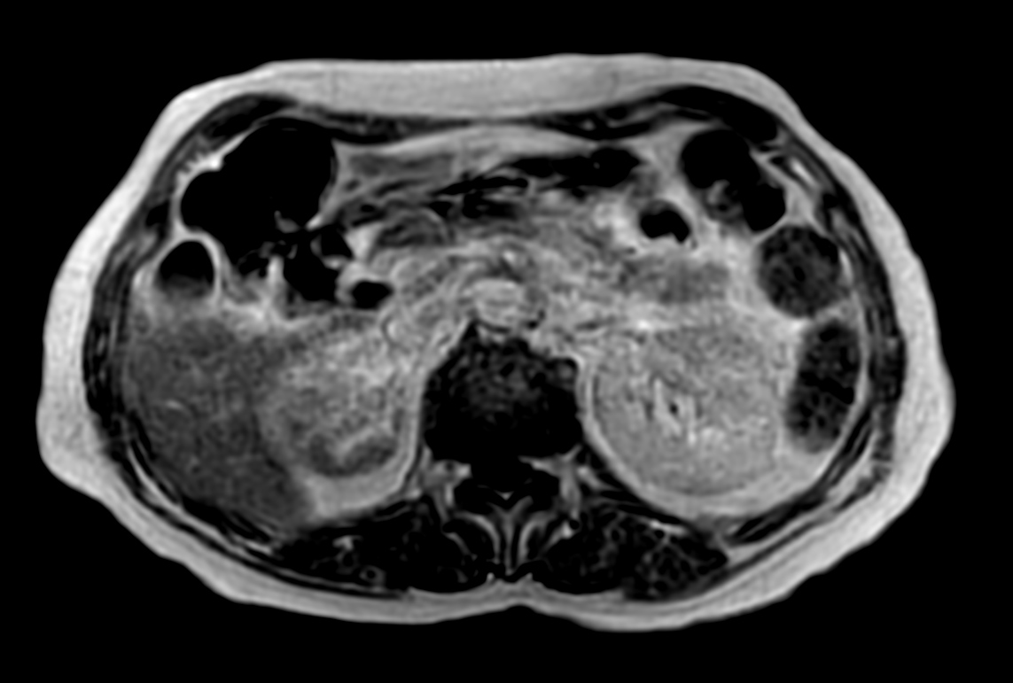
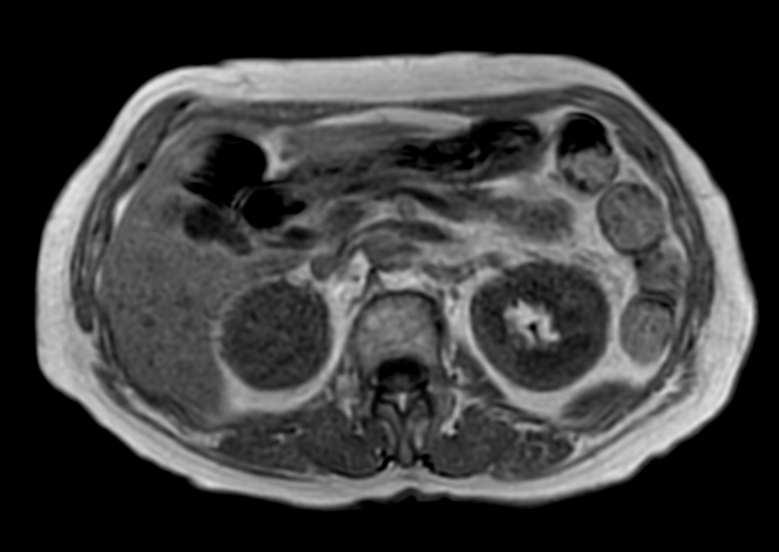
         T2w TSE
- 
      
         T2w TSE heavy weighted
- 
      
         T2w TSE FatSat MultiVane XD
- 
      
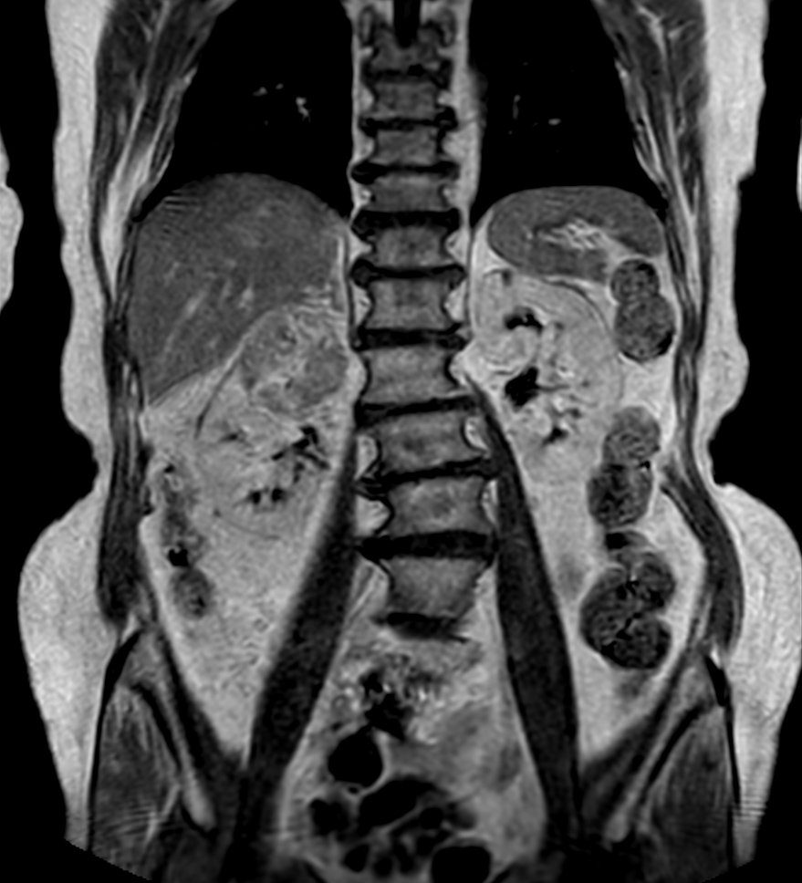
         T2w TSE
- 
      
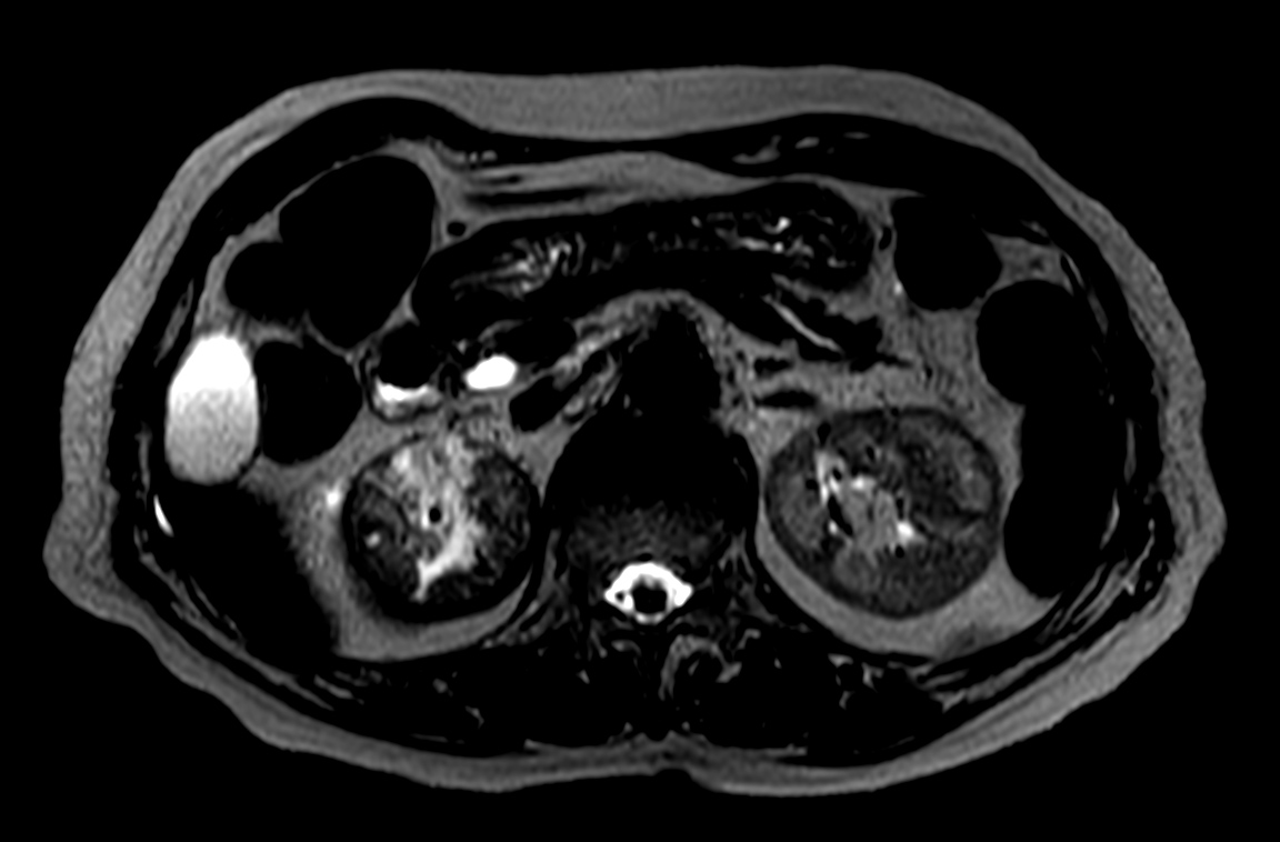
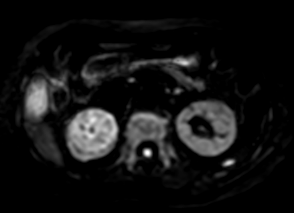
         DWI b800
- 
      
         DWI b800 (ADC)
- 
      
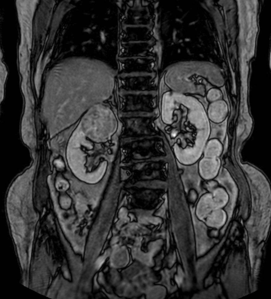
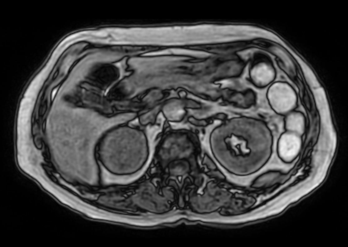
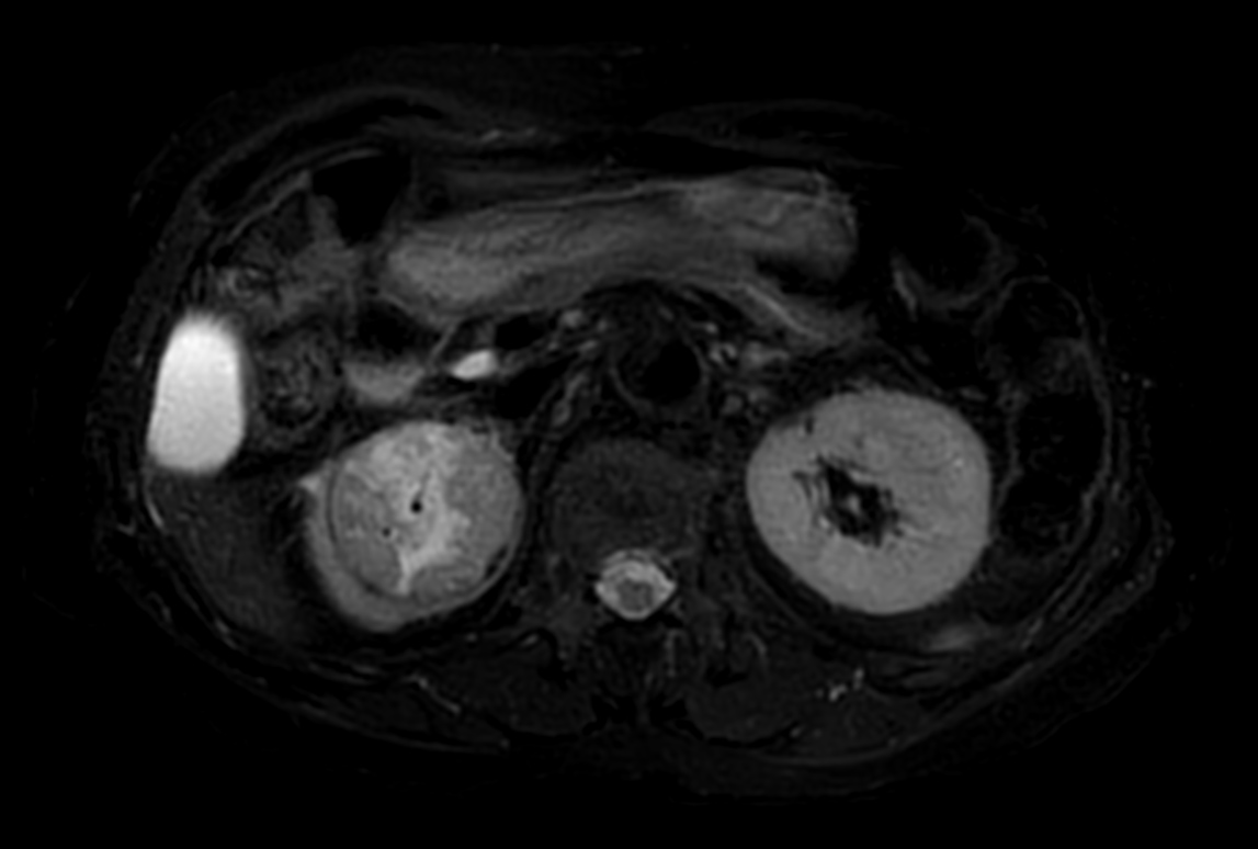
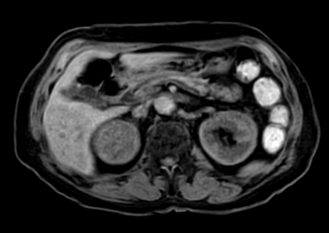
         T1w mDIXON XD FFE (Water only)
- 
      
         T1w mDIXON XD FFE (In Phase)
- 
      
         T1w mDIXON XD FFE (Out Phase)
- 
      
         T1w mDIXON XD FFE (Water only)
- 
      
         T1w mDIXON XD FFE (In Phase)
- 
      
         T1w mDIXON XD FFE (Out Phase)
- 
      
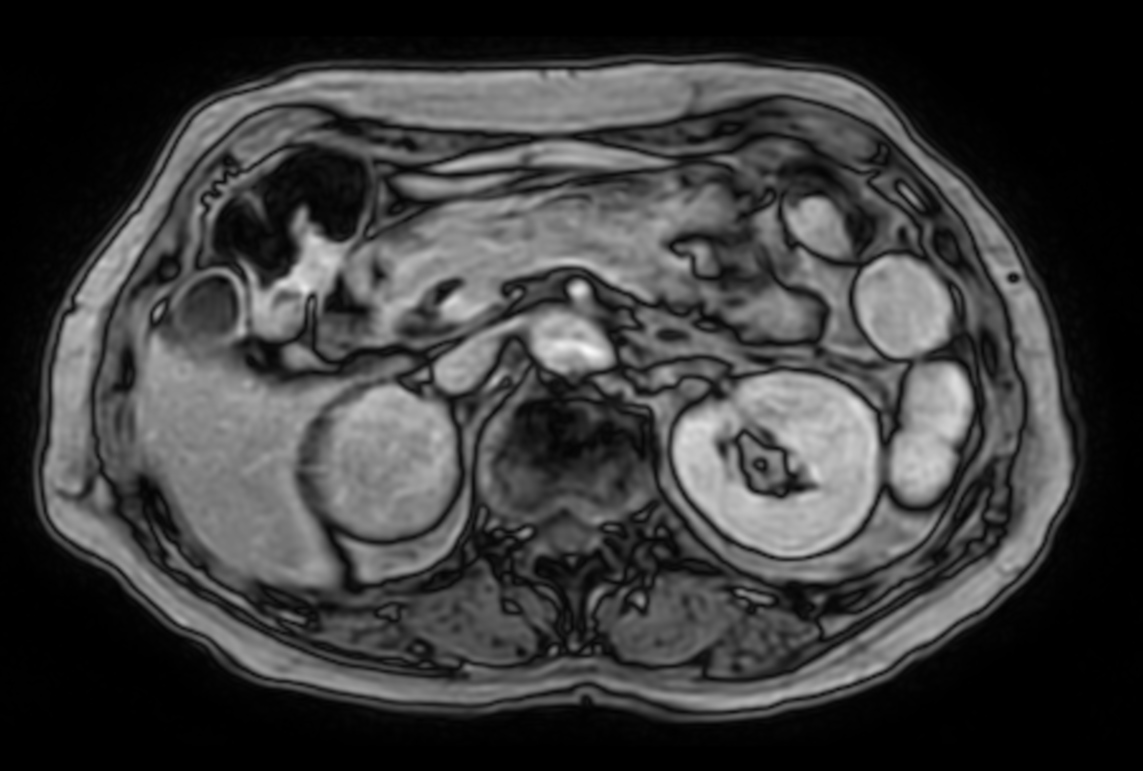
         4D FreeBreathing
                    
             
- 
      
         4D FreeBreathing (MIP)
                    
             
- 
      
         4D FreeBreathing (subtraction)
                    
             
- 
      
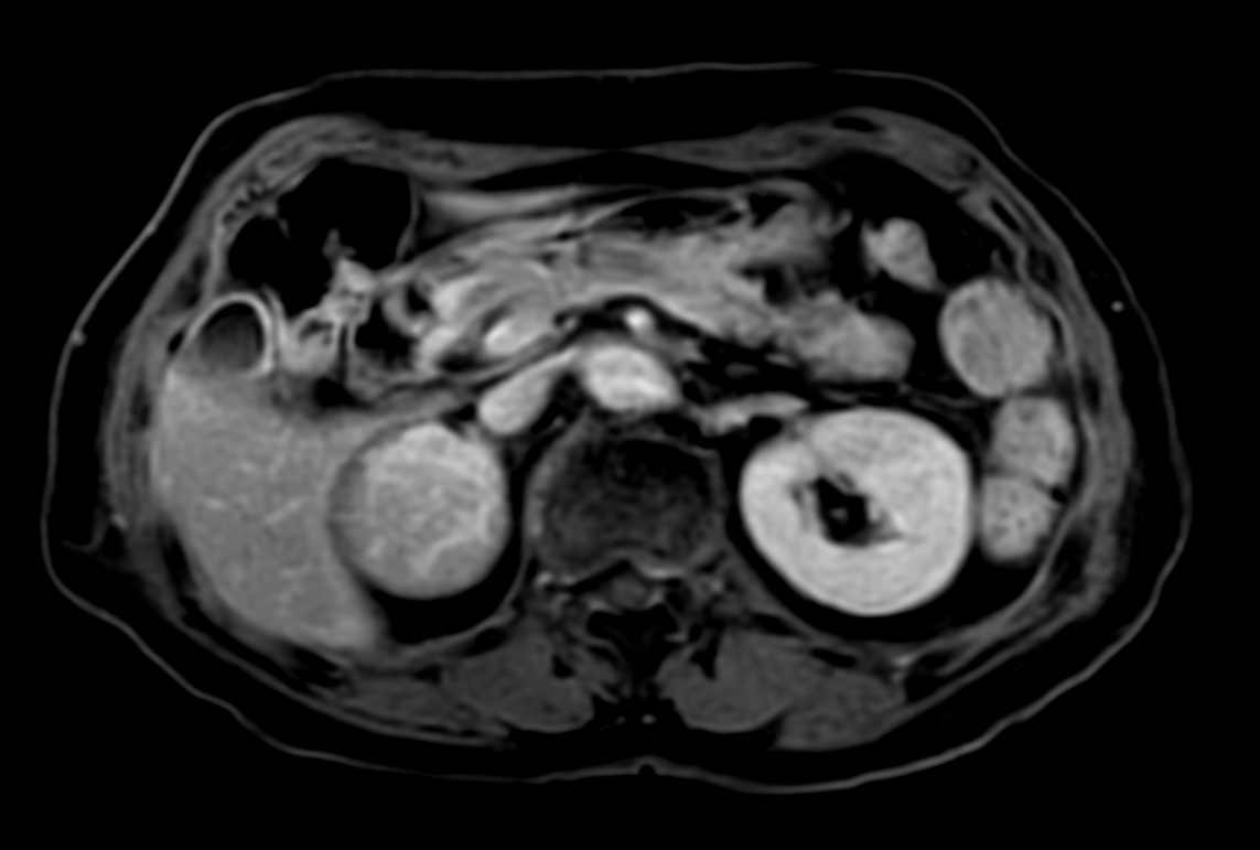
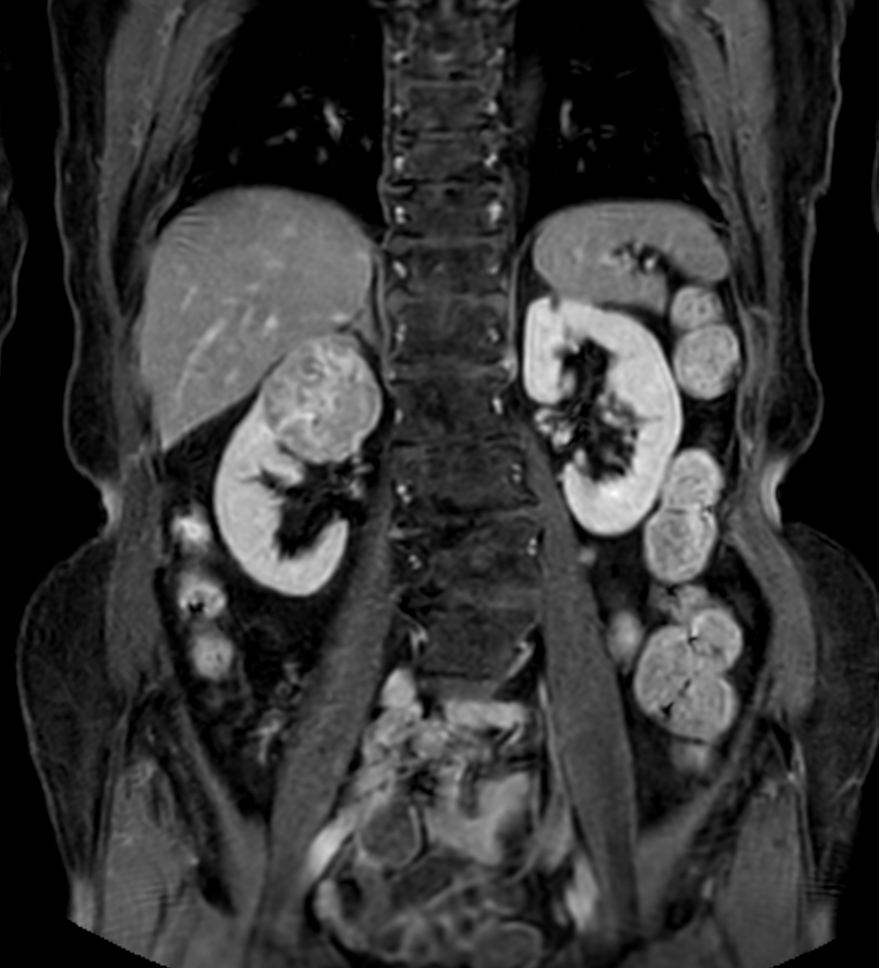
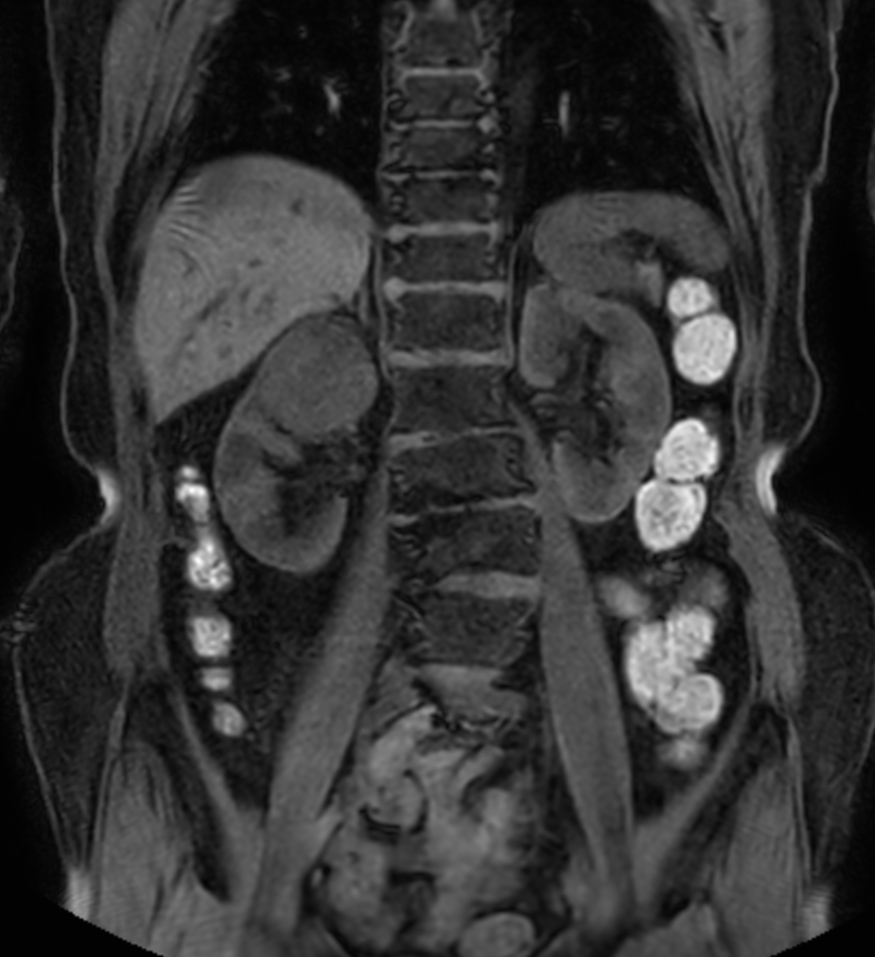
         T1w mDIXON XD FFE with gado (Water only)
- 
      
         T1w mDIXON XD FFE with gado (In Phase)
- 
      
         T1w mDIXON XD FFE with gado (Out Phase)
- 
      
         T1w mDIXON XD FFE with gado (Water only)
- 
      
         T1w mDIXON XD FFE with gado (In Phase)
- 
      
         T1w mDIXON XD FFE with gado (Out Phase)
Previous
    Next         
    
    Close
    
    
        
        Resolution
ScantimeObjective
    
     
             
    
        
            *Results from case studies are not predictive of results in other cases. Results in other cases may vary.