Go back
        Thumb imaging
        
            Spital Uster, Switzerland        
     
            
            
                
Patient information
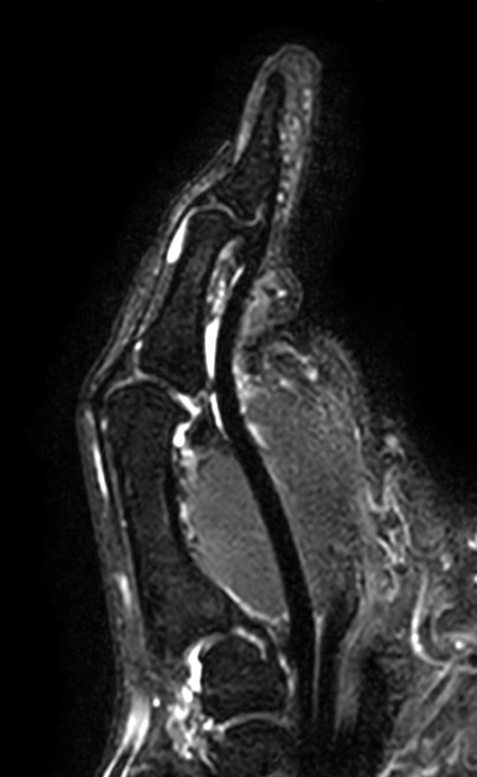
                Patient with pathology on the thumb. ExamCard includes mDIXON XD TSE to achieve uniform, complete and consistent fat-free imaging. It simplifies the scan procedure by providing multiple image types in one single scan, including with/without fat suppression contrasts.            
        
    
    
    
        Gallery
        
    
        - 
      
         Coronal T1w TSE
- 
      
         Sagittal T1w TSE
- 
      
         Axial T1w TSE
- 
      
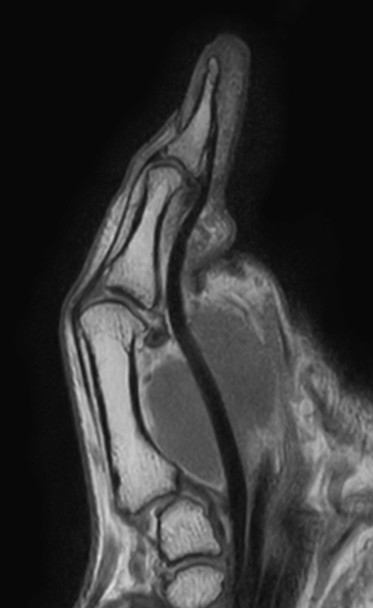
         PDw TSE mDIXON XD (In Phase)
- 
      
         PDw TSE mDIXON XD (Water only)
- 
      
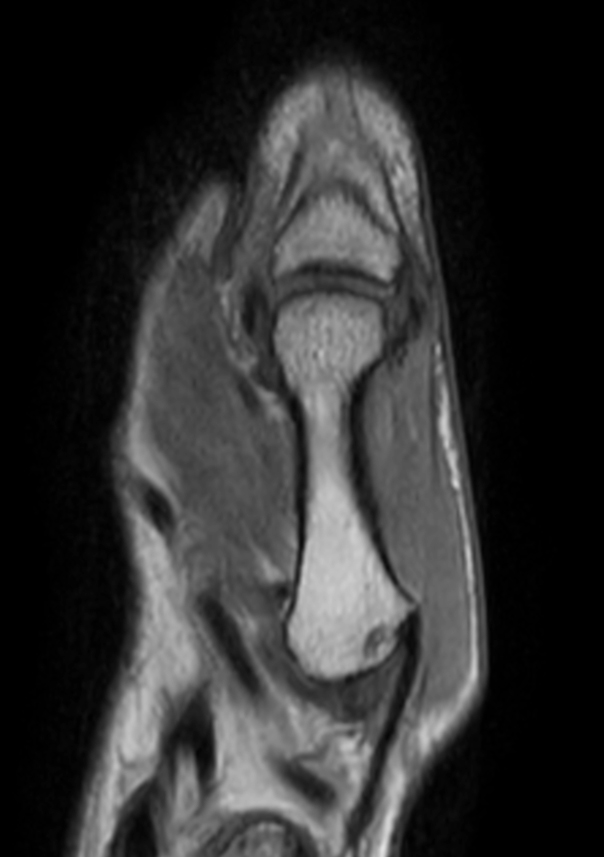
         PDw TSE mDIXON XD (In Phase)
- 
      
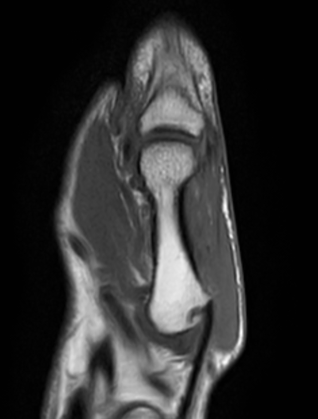
         PDw TSE mDIXON XD (Water only)
- 
      
         T2w TSE mDIXON XD (In Phase)
- 
      
         T2w TSE mDIXON XD (Water only)
Previous
    Next         
    
    Close
    
    
        
        Resolution
ScantimeObjective
    
     
             
    
        
            *Results from case studies are not predictive of results in other cases. Results in other cases may vary.