Go back

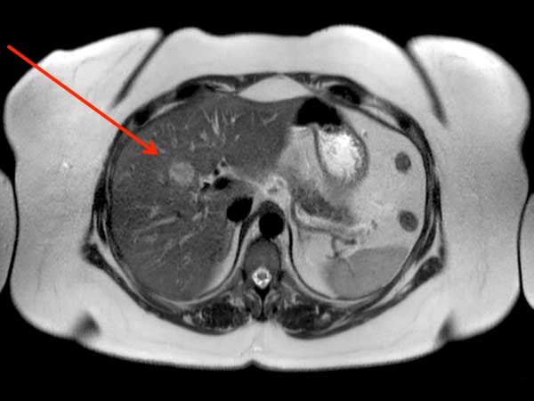
Liver imaging - Obese patient

University Medical Centre, Utrecht, The Netherlands

Used Solution

  • System

  • Coil

  • Clinical Application

  • Clinical Application

*Results from case studies are not predictive of results in other cases. Results in other cases may vary.