Go back
        Brain lesions with computed DWI
        
            Kantonsspital Winterthur, Switzerland        
     
            
            
                
Patient information
                Patient with multiple brain lesions. The ExamCard includes Compressed SENSE to accelerate the entire exam and techniques for motion reduced imaging (MultiVane XD), 3D imaging to acquire high resolution data in multiple directions, 3D susceptibility weighted imaging (SWIp), DWI with EPIC Brain to bring down any residual distortion and Computed DWI to generate synthetic high b-value images.            
        
    
    
    
        Gallery
        
    
        - 
      
         T2w TSE MultiVane XD
- 
      
         SWIp (minIP)
- 
      
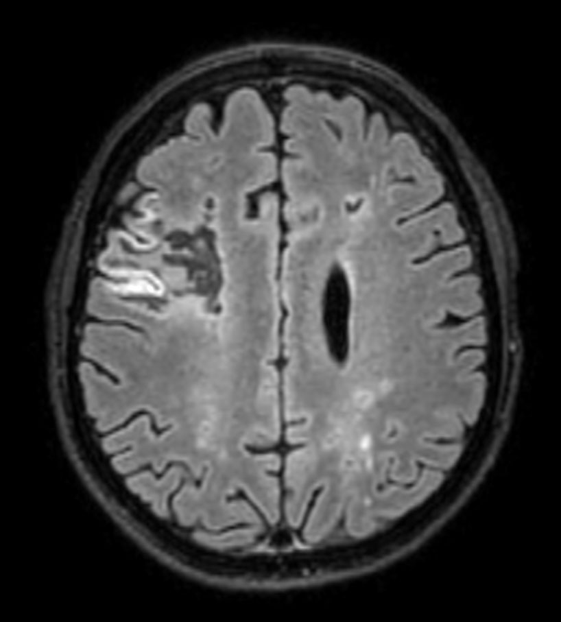
         3D T2w FLAIR Compressed SENSE
- 
      
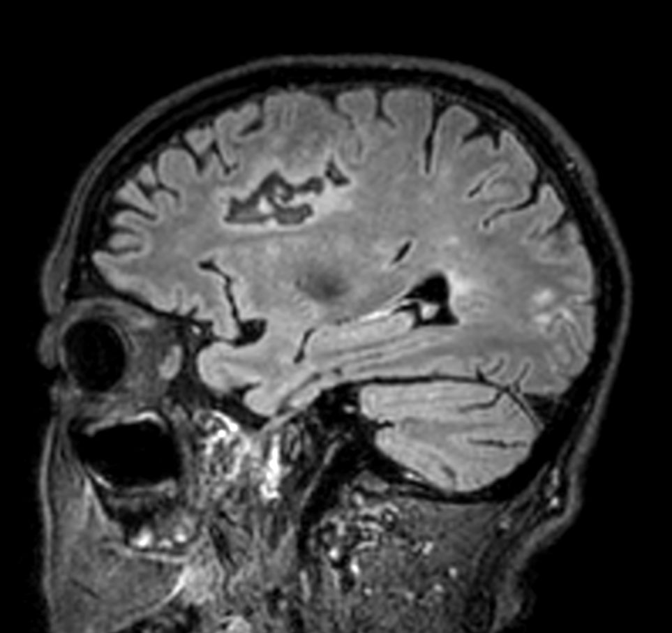
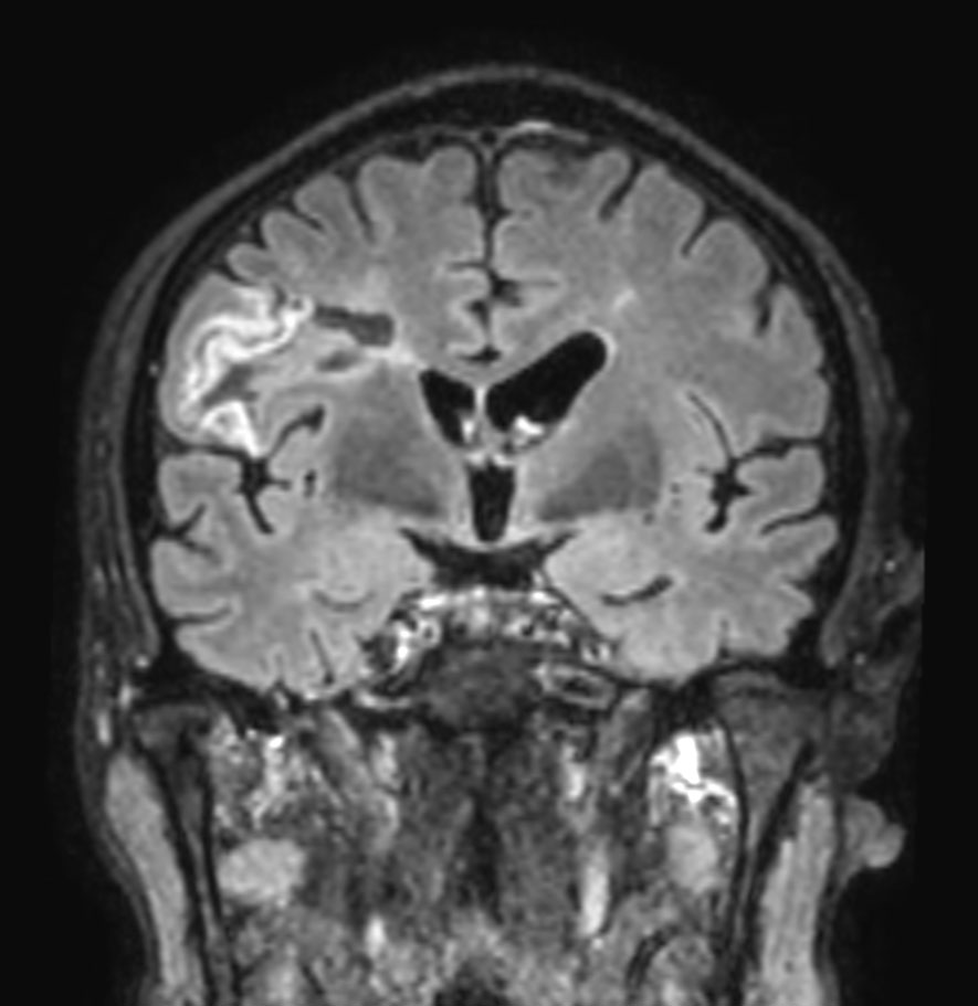
         3D T2w FLAIR (reformat) Compressed SENSE
- 
      
         3D T2w FLAIR (reformat) Compressed SENSE
- 
      
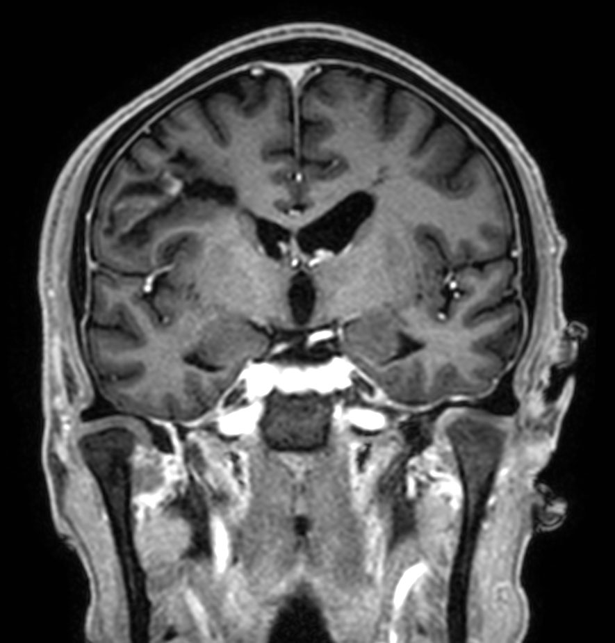
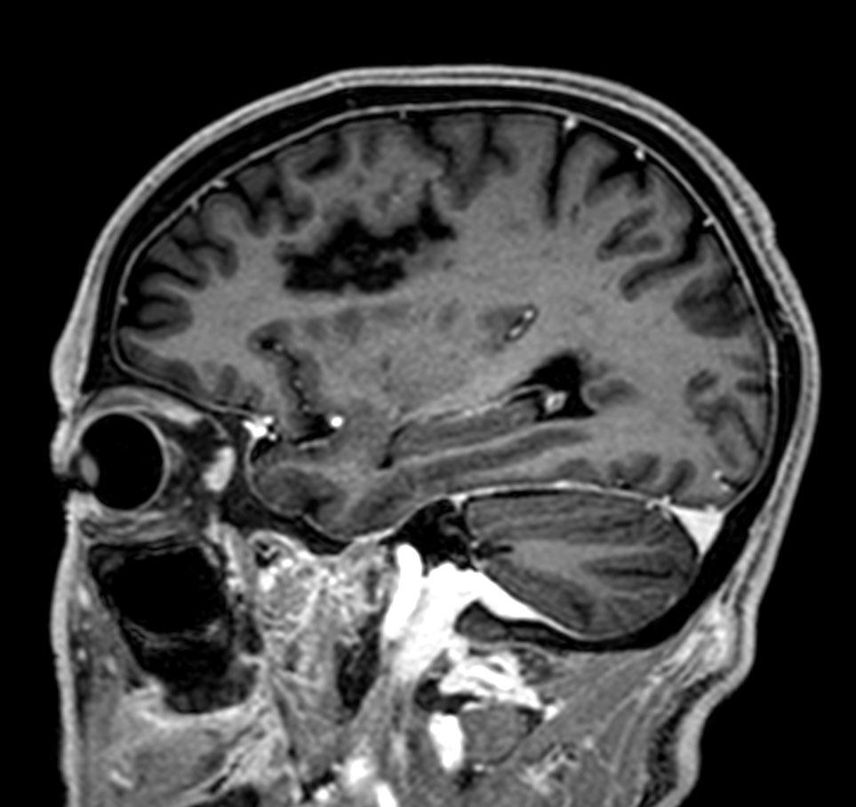
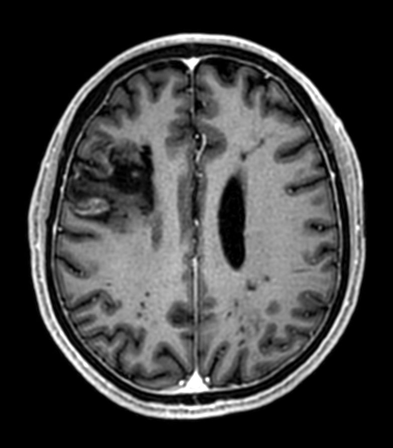
         3D T1w mDIXON XD Compressed SENSE
- 
      
         3D T1w mDIXON XD (reformat) Compressed SENSE
- 
      
         3D T1w mDIXON XD (reformat) Compressed SENSE
- 
      
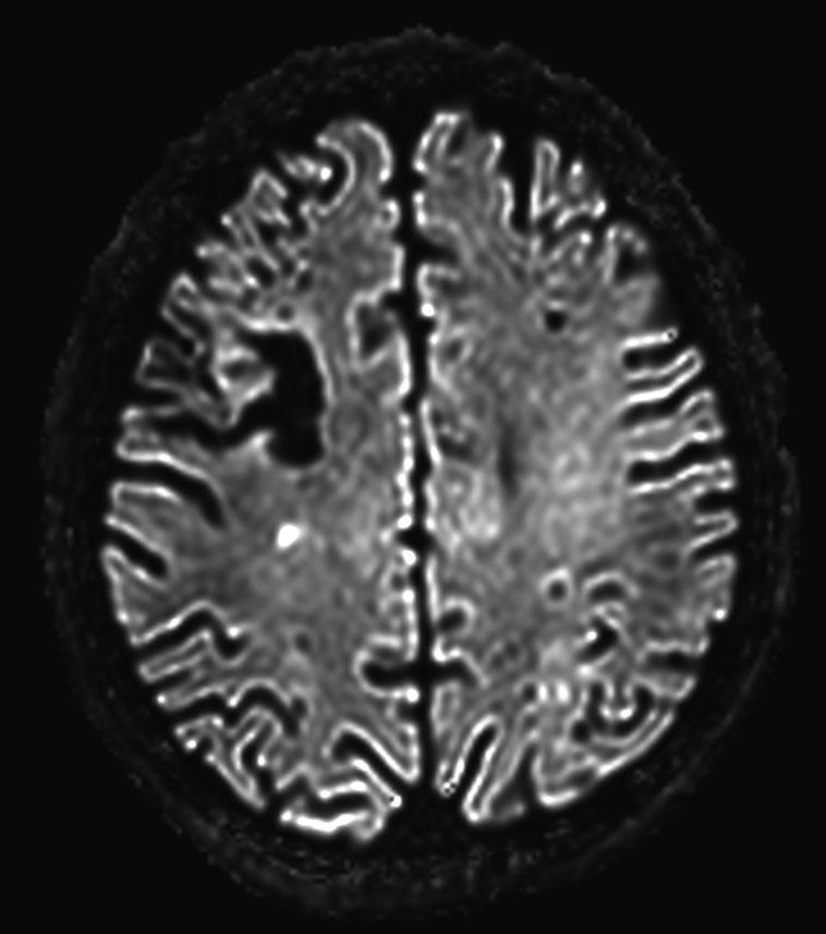
         DWI b1000
- 
      
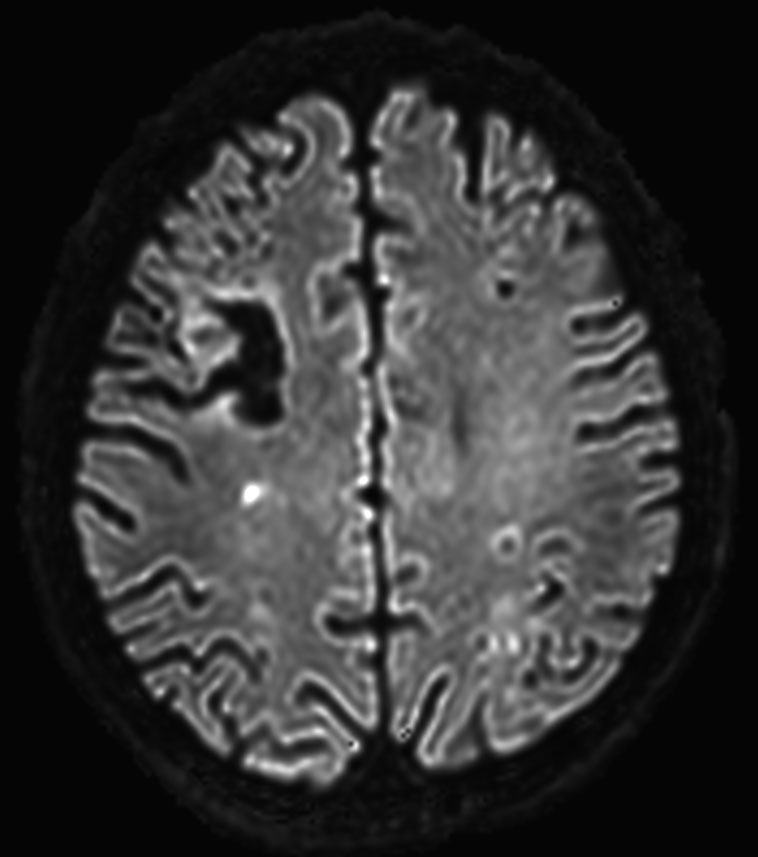
         DWI b2000 (computed)
- 
      
         DWI b3000 (computed)
Previous
    Next         
    
    Close
    
    
        
        Resolution
ScantimeObjective
    
     
             
    
        
            *Results from case studies are not predictive of results in other cases. Results in other cases may vary.