Go back

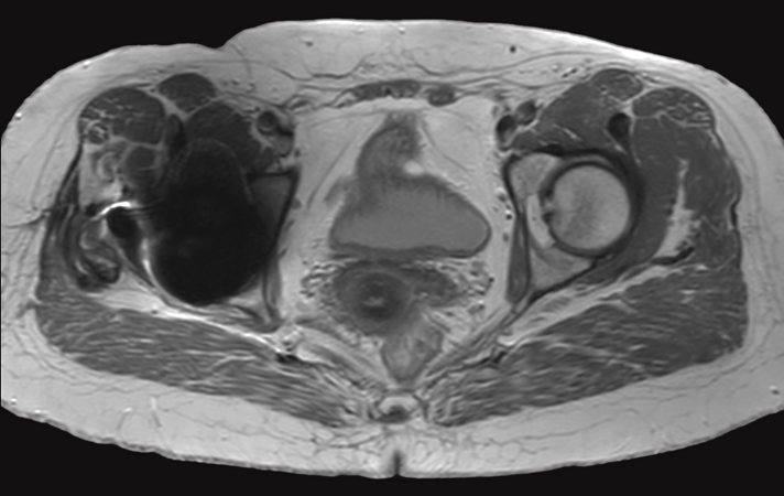
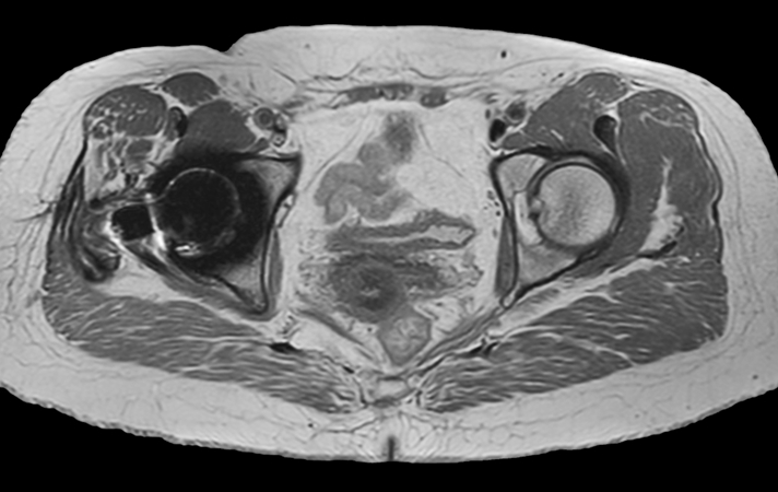
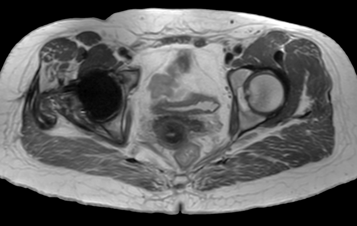
Hip imaging with metal implant

Used Solution

**Only for use with MR Safe or MR Conditional Implants by strictly following the Instructions for Use.