Go back

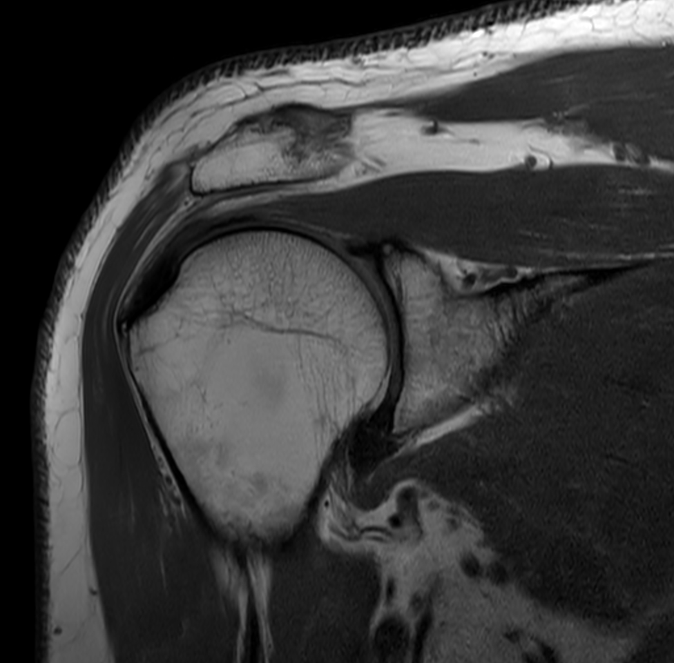
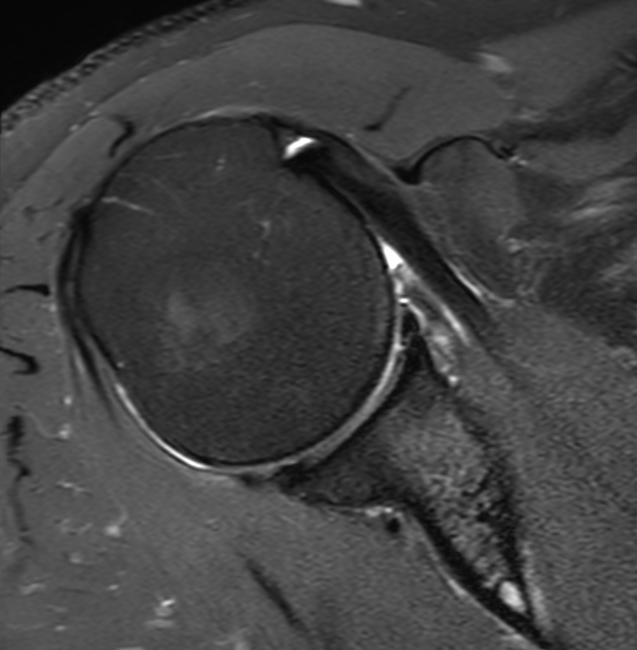
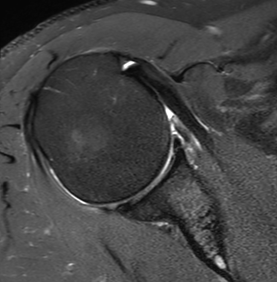
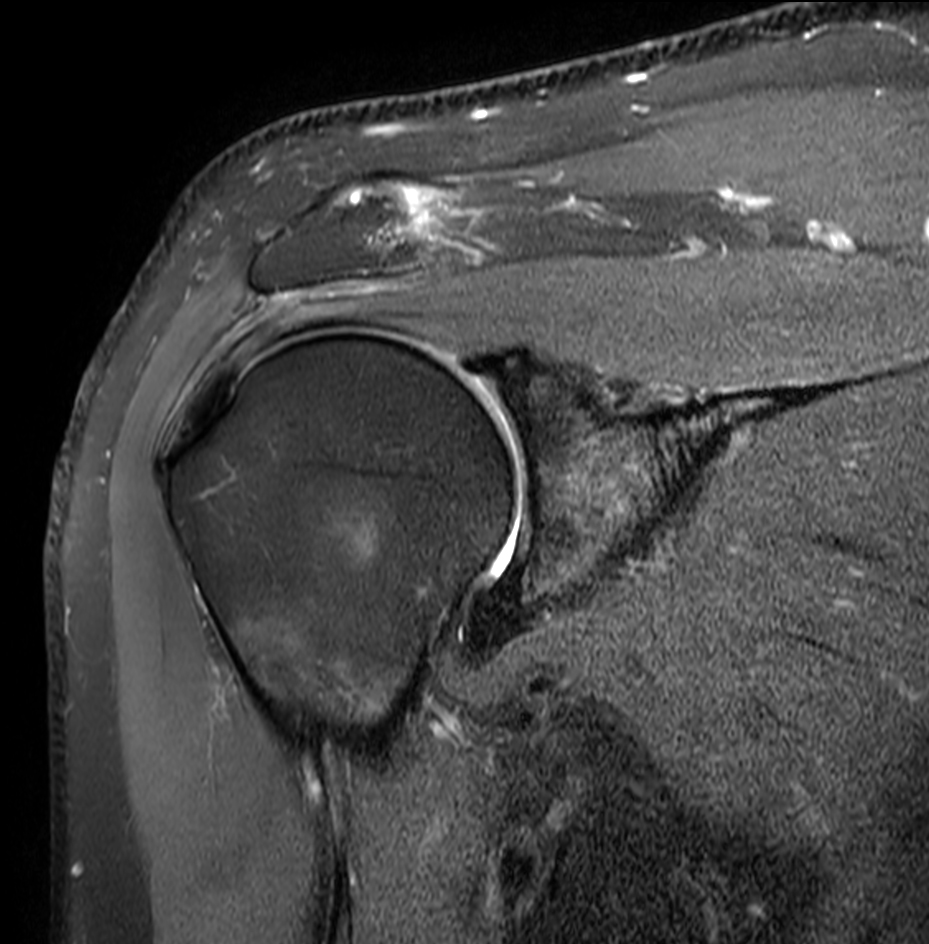
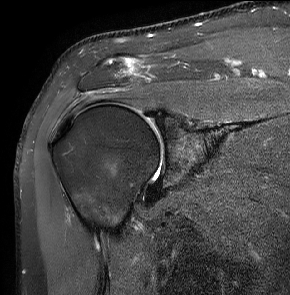
High resolution imaging with the dS 16ch Shoulder coil and Compressed SENSE

Used Solution

  • System

  • Coil

  • Clinical Application

*Results from case studies are not predictive of results in other cases. Results in other cases may vary.

1Compared to scans without Compressed SENSE
Results from case studies are not predictive of results in other cases. Results in other cases may vary.