Go back
        Pediatric Brain imaging for glioma
        
            Hospital Nino Jesus, Madrid, Spain        
     
            
            
                
Patient information
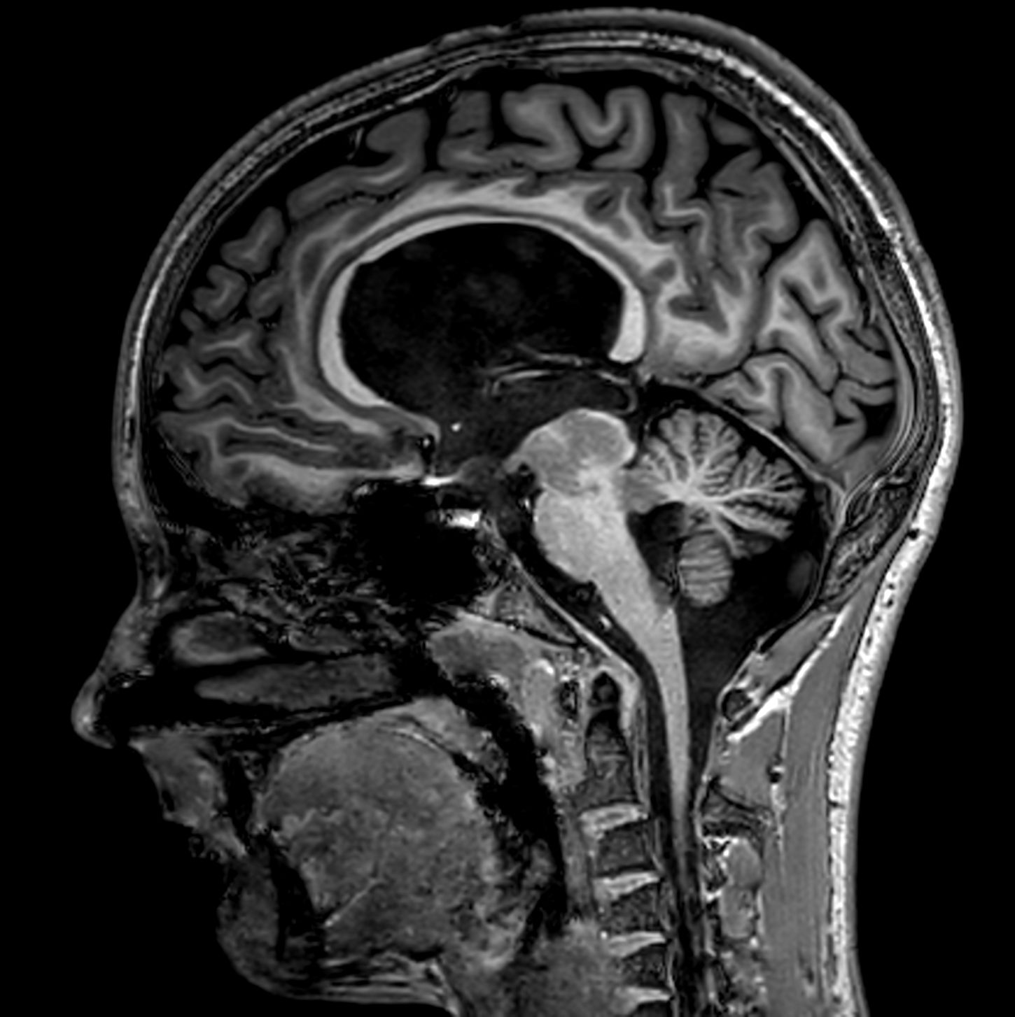
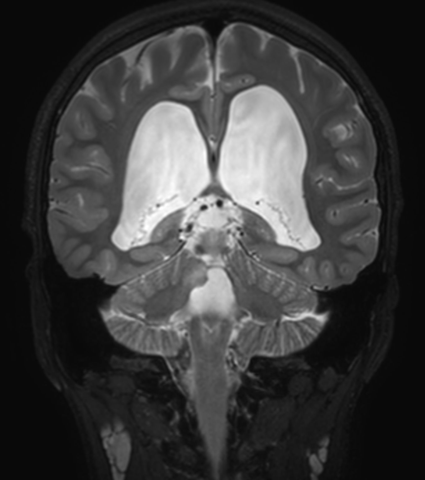
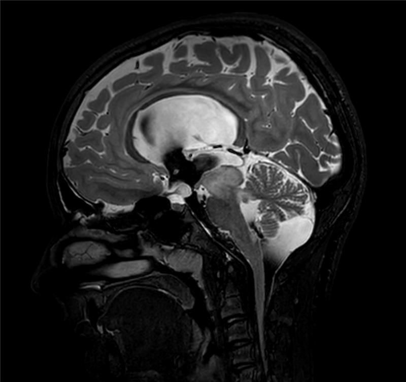
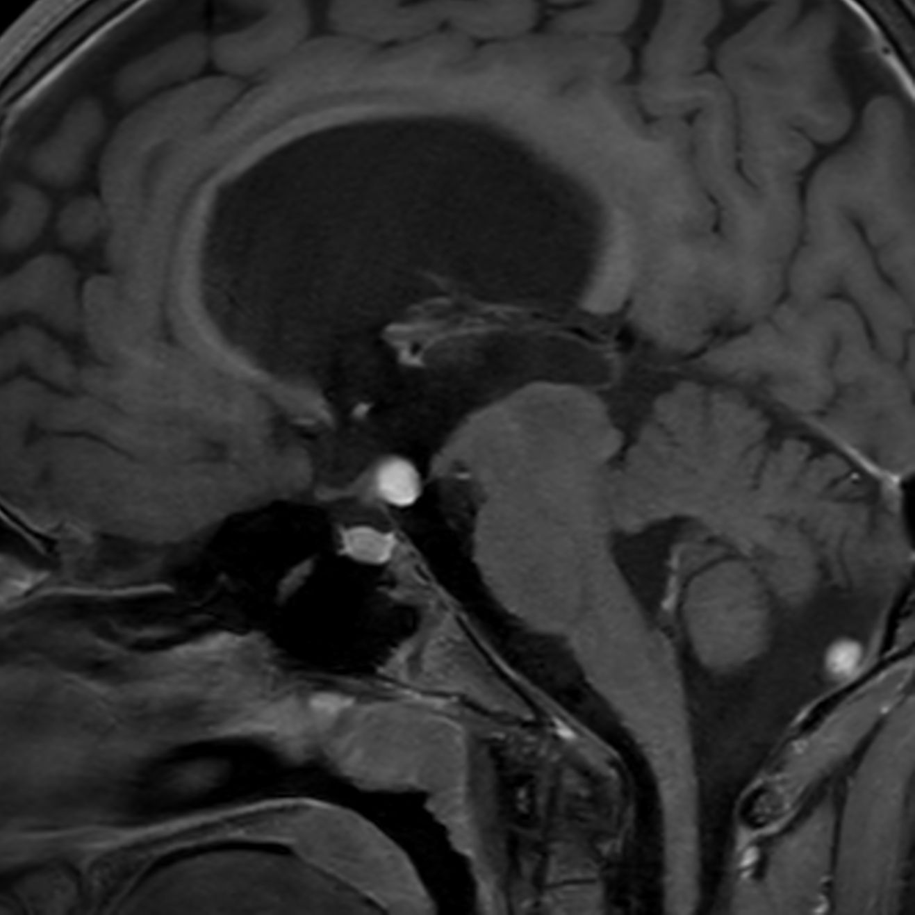
                Follow up study of a 12 year old boy with a known low grade glioma.
    "3D bFFE XD is a really nice sequence with really high resolution. In the 3D T1w TFE image we really like the very nice differentiation in the cortex and the white matter." 
Dr. Ines Solis, Hospital Nino Jesus, Madrid, Spain            
        
    
    
    
        Gallery
        
    
        - 
      
         Sagittal 3D bFFE XD
- 
      
         Sagittal 3D T1w Black Blood
- 
      
         Sagittal 3D T1w TFE
- 
      
         Sagittal 3D T2w TSE
- 
      
         Coronal 3D T2w TSE (reformat)
- 
      
         Axial 3D T2w TSE (reformat)
- 
      
         Axial T2w FLAIR
Previous
    Next         
    
    Close
    
    
        
        Resolution
ScantimeObjective
    
     
             
    
        
            *Results from case studies are not predictive of results in other cases. Results in other cases may vary.