Go back
        Hand/Wrist with tumor
        
            Academic Medical Center, Amsterdam, Netherlands        
     
            
            
                
Patient information
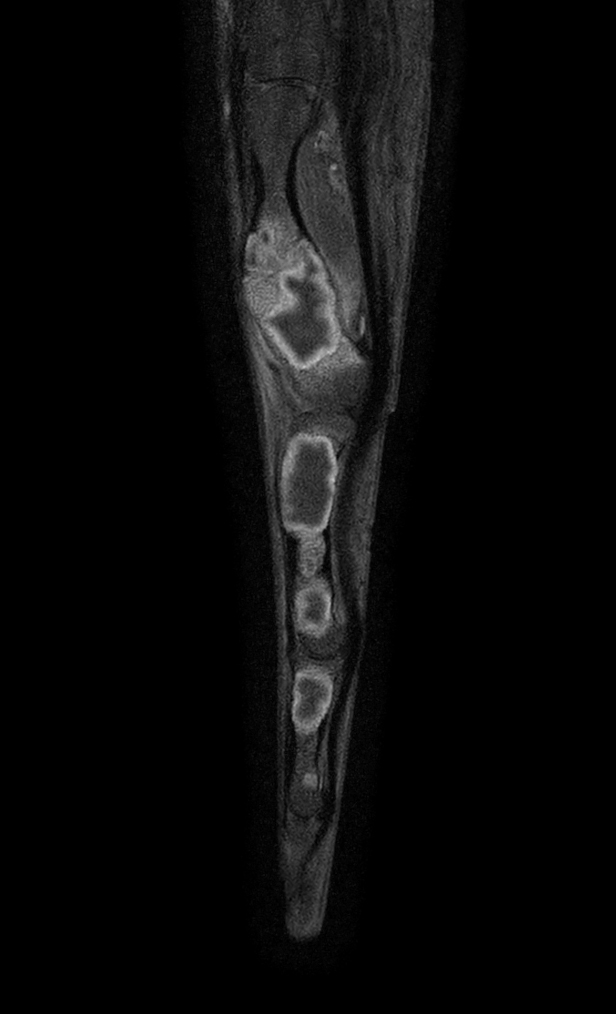
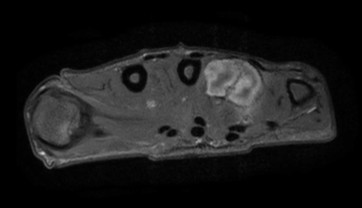
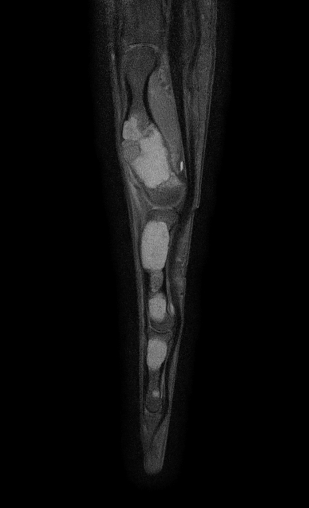
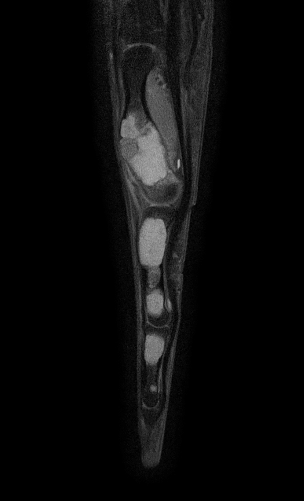
                Patient with a tumor in the hand region            
        
    
    
    
        Gallery
        
    
        - 
      
         Coronal T1w mDIXON XD TSE (Water only)
- 
      
         Coronal T1w mDIXON XD TSE (In Phase)
- 
      
         Coronal T1w mDIXON XD TSE (Partial FatSat)
- 
      
         Axial PDw mDIXON XD TSE (Water only)
- 
      
         Axial PDw mDIXON XD TSE (In Phase)
- 
      
         Axial PDw mDIXON XD TSE (Partial FatSat)
- 
      
         Axial DWI (b50)
- 
      
         Axial DWI (b400)
- 
      
         Axial DWI (b800)
- 
      
         Sagittal T1w mDIXON XD TSE (Water only)
- 
      
         Sagittal T1w mDIXON XD TSE (In Phase)
- 
      
         Sagittal T1w mDIXON XD TSE (Partial FatSat)
- 
      
         Coronal T1w mDIXON XD TSE (Water only) (with gado)
- 
      
         Coronal T1w mDIXON XD TSE (In Phase) (with gado)
- 
      
         Coronal T1w mDIXON XD TSE (Partial FatSat) (with gado)
- 
      
         Sagittal T1w mDIXON XD TSE (Water only) (with gado)
- 
      
         Sagittal T1w mDIXON XD TSE (In Phase) (with gado)
- 
      
         Sagittal T1w mDIXON XD TSE (Partial FatSat) (with gado)
- 
      
         Axial T1w mDIXON XD TSE (Water only) (with gado)
- 
      
         Axial T1w mDIXON XD TSE (In Phase) (with gado)
- 
      
         Axial T1w mDIXON XD TSE (Partial FatSat) (with gado)
Previous
    Next         
    
    Close
    
    
        
        Resolution
ScantimeObjective
    
     
             
    
        
            *Results from case studies are not predictive of results in other cases. Results in other cases may vary.