Go back
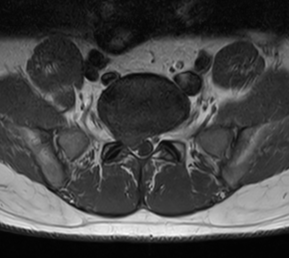
        Lumbar Spine stenosis with Compressed SENSE
        
            Mahajan imaging, Gurgaon, India        
     
            
            
                
Patient information
                Lower back ache radiating to right lower limb. Diagnosis: Degenerative lower lumbar spondylosis, L5-S1 Stenosis            
        
    
    
    
        Gallery
        
    
        - 
      
         Sagittal T2w TSE 
- 
      
         Sagittal T1w TSE
- 
      
         Coronal STIR TSE
- 
      
         Axial T2w TSE
- 
      
         Axial T1w TSE
Previous
    Next         
    
    Close
    
    
        
        Resolution
ScantimeObjective
    
     
             
    
        
            *Results from case studies are not predictive of results in other cases. Results in other cases may vary.
 1Compared to scans without Compressed SENSE
Results from case studies are not predictive of results in other cases. Results in other cases may vary.