Go back
        Brain overview
        
            Radiologie Schiffer, Berlin, Germany        
     
    
    
    
        Gallery
        
    
        - 
      
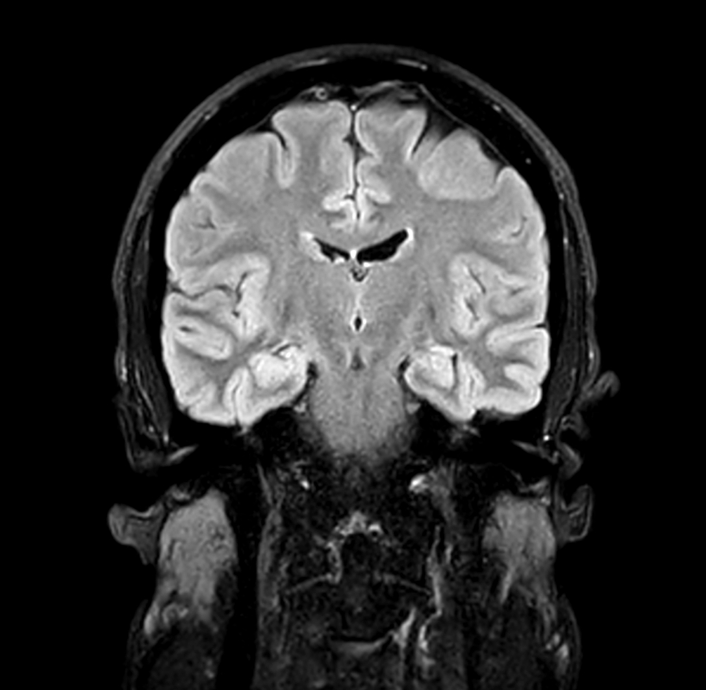
         Coronal 3D BrainVIEW FLAIR
- 
      
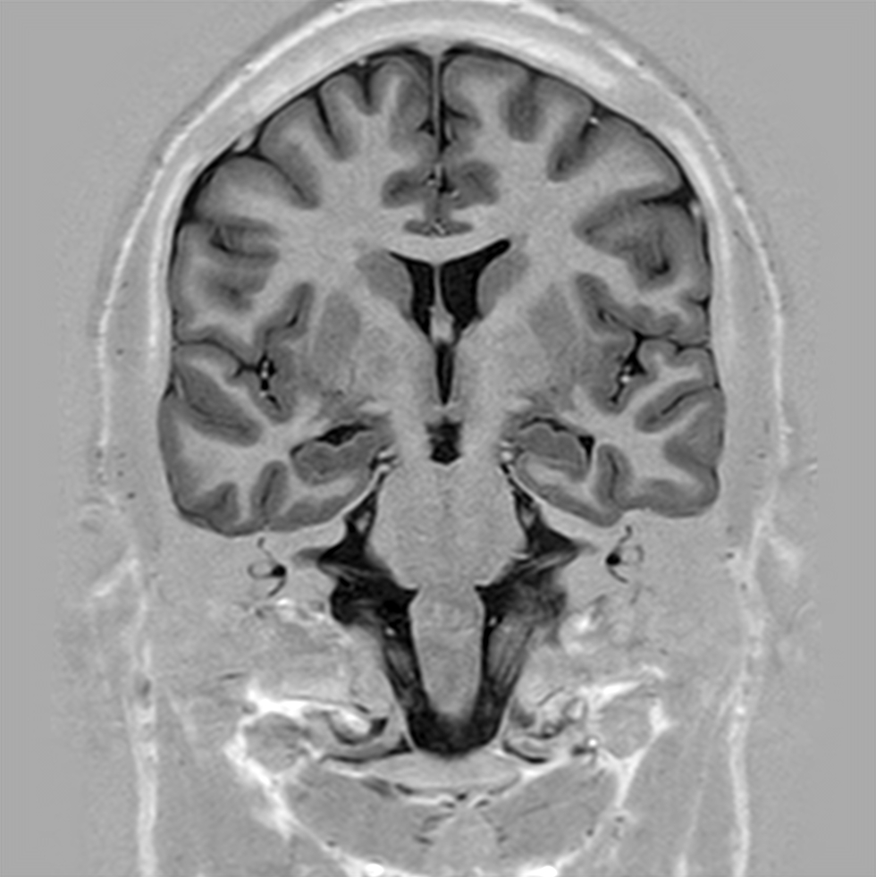
         Coronal T1w IR
- 
      
         Axial DWI (b1000)
- 
      
         Sagittal T1w 3D FFE
- 
      
         T1w 3D FFE (coronal reformat)
- 
      
         T1w 3D FFE (axial reformat)
- 
      
         Axial T2w 3D DRIVE (IAC)
- 
      
         Axial T2w mDIXON XD - T2w TSE (Water only)
- 
      
         Axial T2w mDIXON XD - T2w TSE (In Phase)
- 
      
         PCA (MIP)
                    
             
Previous
    Next         
    
    Close
    
    
        
        Resolution
ScantimeObjective
    
     
             
    
        
            *Results from case studies are not predictive of results in other cases. Results in other cases may vary.
Ingenia Prodiva is not available for sale in the USA.