Go back
        Brain infarction
        
            Seirei Mikatahara General Hospital, Japan        
     
            
            
                
Patient information
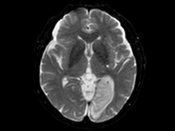
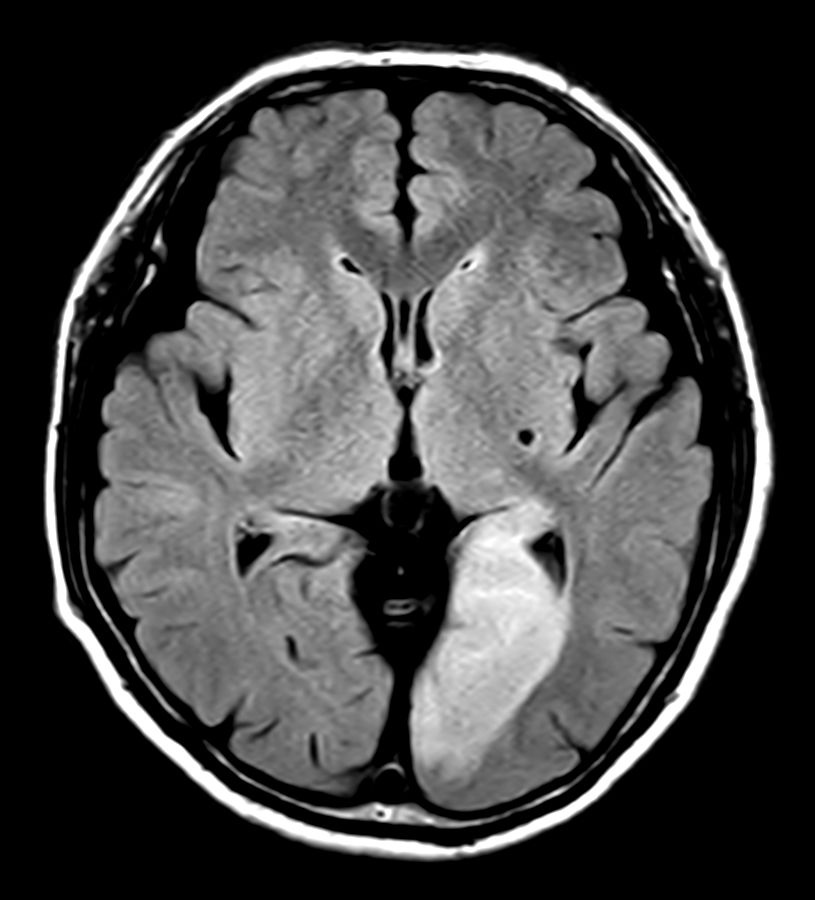
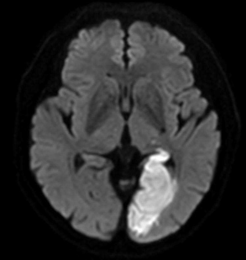
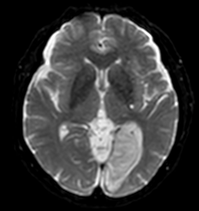
                Patient with a brain infarction. Compressed SENSE is used to shorten the total exam time.            
        
    
    
    
        Gallery
        
    
        - 
      
         T1w SE - Compressed SENSE
- 
      
         T2w FLAIR - Compressed SENSE
- 
      
         3D pCASL
- 
      
         Diffusion - b0
- 
      
         Diffusion - b1000
- 
      
         Diffusion - b1000 (ADC)
- 
      
         3D MRA TOF - Compressed SENSE (spin)
                    
             
- 
      
         3D MRA TOF - Compressed SENSE (tumble)
                    
             
Previous
    Next         
    
    Close
    
    
        
        Resolution
ScantimeObjective
    
     
             
    
        
            *Results from case studies are not predictive of results in other cases. Results in other cases may vary.