Go back
Brain imaging with Zoom Diffusion
Kantonsspital Winterthur, Switzerland
Gallery
-
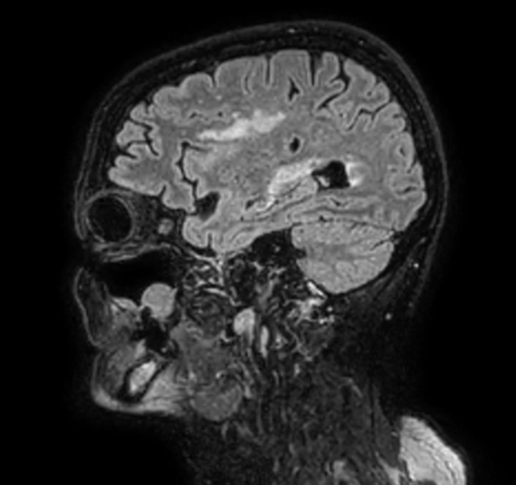
Sagittal 3D VIEW - T2w FLAIR
-
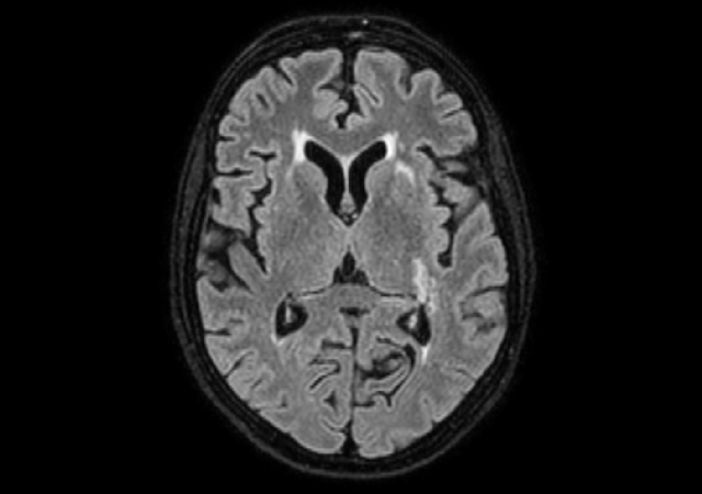
3D VIEW - T2w FLAIR (axial reformat)
-
3D VIEW - T2w FLAIR (coronal reformat)
-
Sagittal 3D VIEW - T1w TFE
-
3D VIEW - T1w TFE (axial reformat)
-
3D VIEW - T1w TFE (coronal reformat)
-
DWI (b1000)
-
DWI (ADC)
-
DWI (eADC)
-
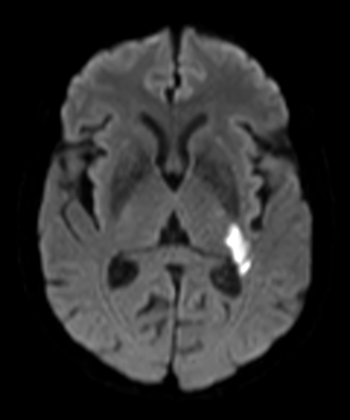
Zoom Diffusion (b1000)
-
Zoom Diffusion (ADC)
-
Zoom Diffusion (eADC)
-
MultiVane XD - T2w TSE
-
SWIp (minIP)
Previous
Next
Close
Resolution
ScantimeObjective
*Results from case studies are not predictive of results in other cases. Results in other cases may vary.