Go back
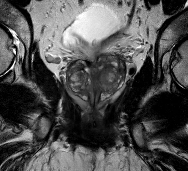
Prostate with the dS Endo coil
Nuestra Senora Del Rosario, Madrid, Spain
Patient information
75-year old male. dS Endo coil used to visualize tumor in peripheral gland.
Gallery
-
Axial T2w TSE
-
Coronal T2w TSE
-
Sagittal T2w TSE
-
Axial Diffusion
-
Axial Diffusion
Previous
Next
Close
Resolution
ScantimeObjective
*Results from case studies are not predictive of results in other cases. Results in other cases may vary.