Go back
        IAC lesion with Compressed SENSE
        
            Kumamoto Chuo Hospital, Japan        
     
            
            
                
Patient information
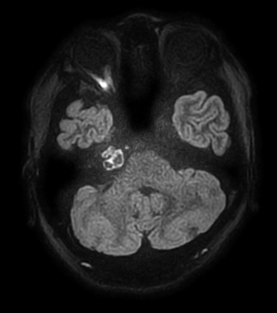
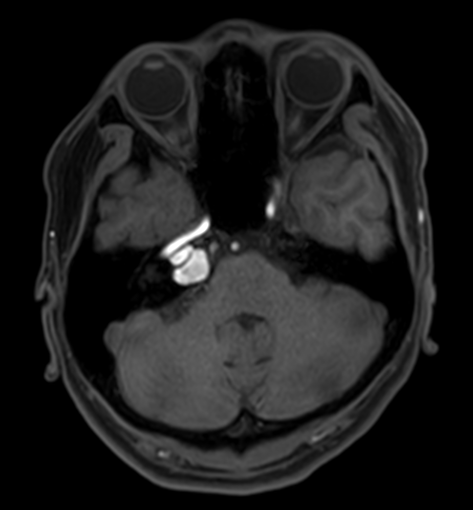
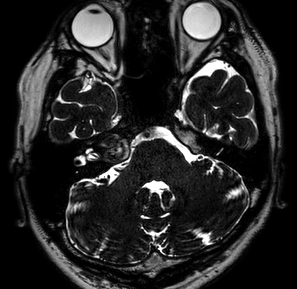
                Patient with an IAC lesion. Comparing different DWI methods (EPI, TSE, ZOOM). Compressed SENSE is added to all TSE sequences to decrease scan times, thereby shortening the time the patient has to spent in the magnet. The dS Head 32ch coil is used to enhance image quality.            
        
    
    
    
        Gallery
        
    
        - 
      
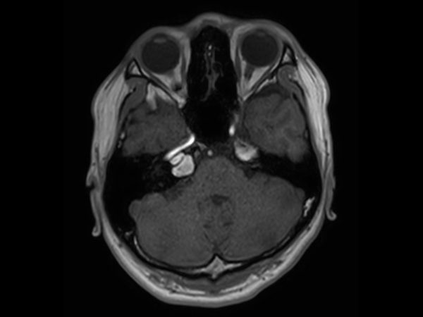
         T2w TSE
- 
      
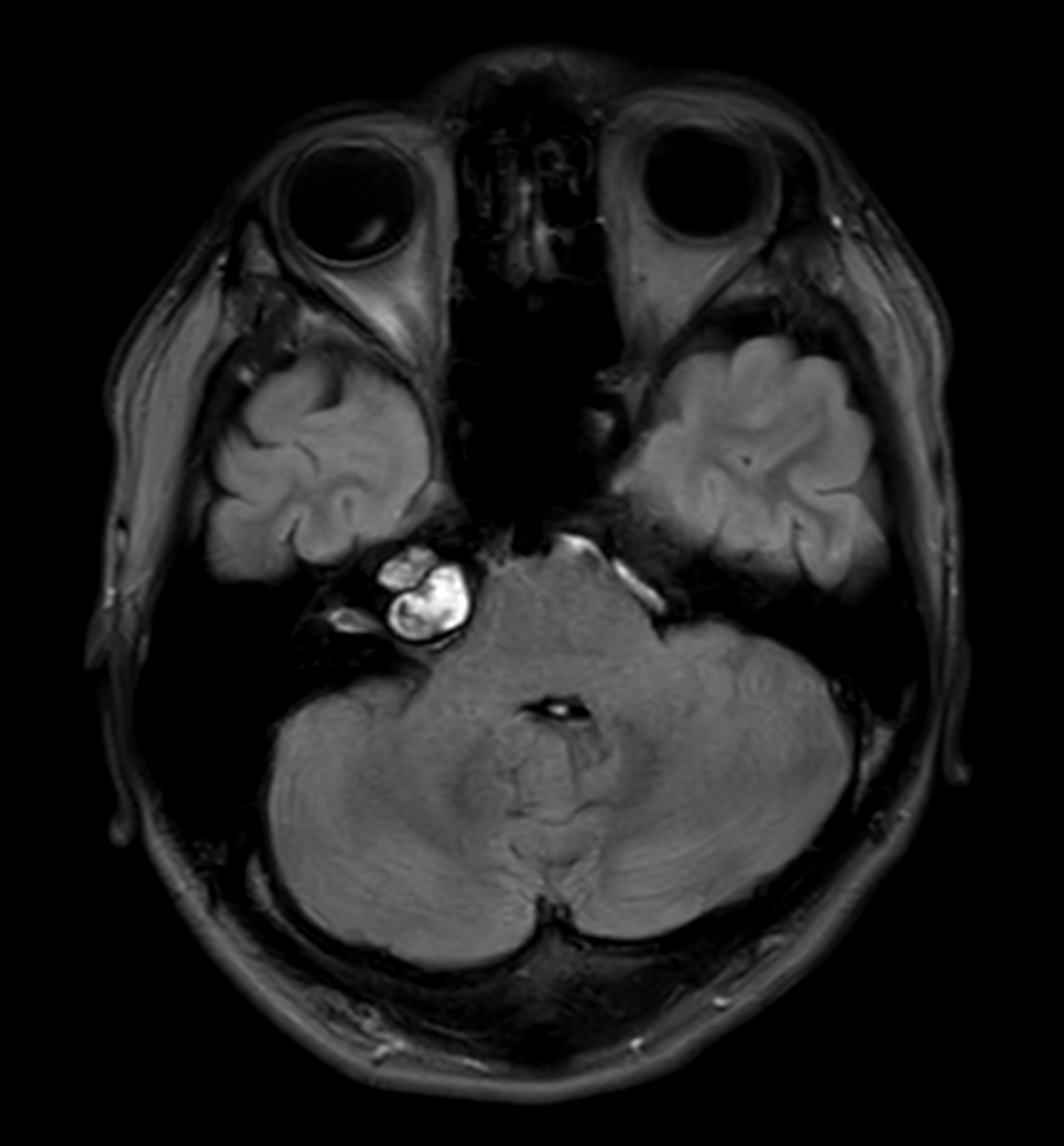
         T2w FLAIR
- 
      
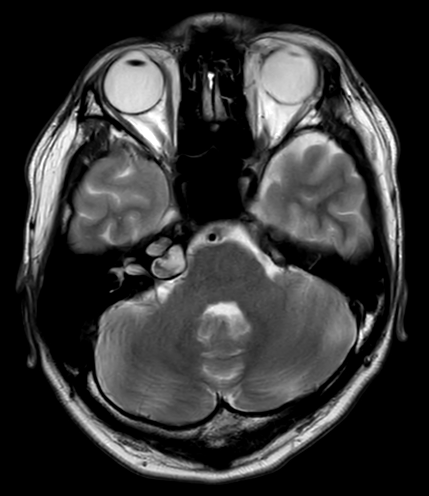
         3D T2w TSE DRIVE
- 
      
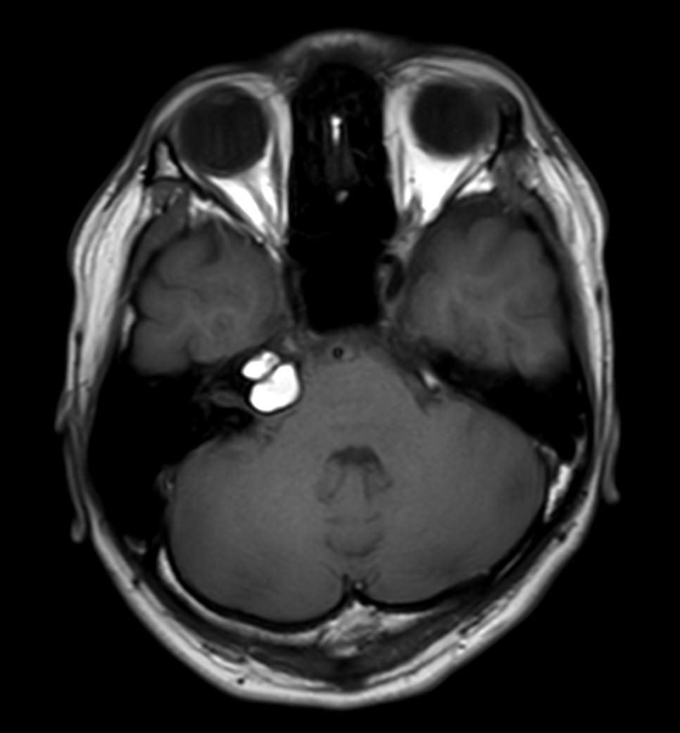
         T1w SE
- 
      
         T1w FFE mDIXON XD (In Phase)
- 
      
         T1w FFE mDIXON XD (Water only)
- 
      
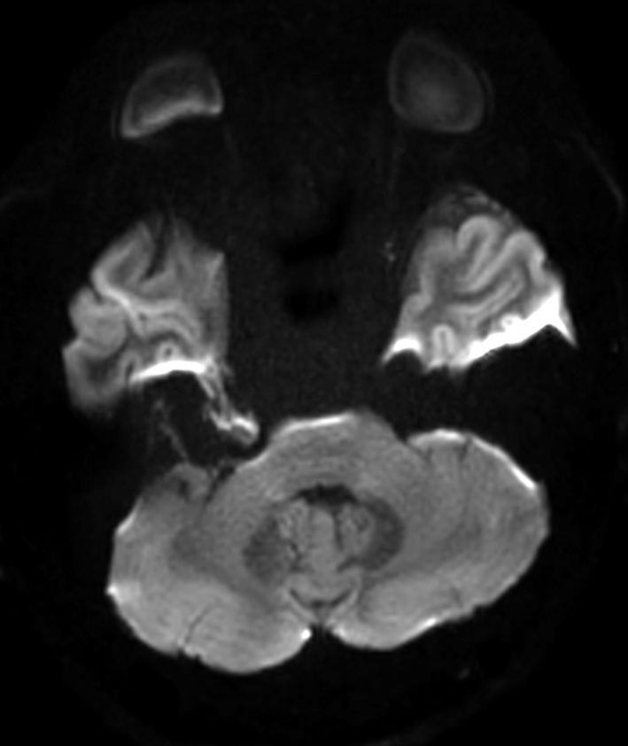
         DWI EPI (b1000)
- 
      
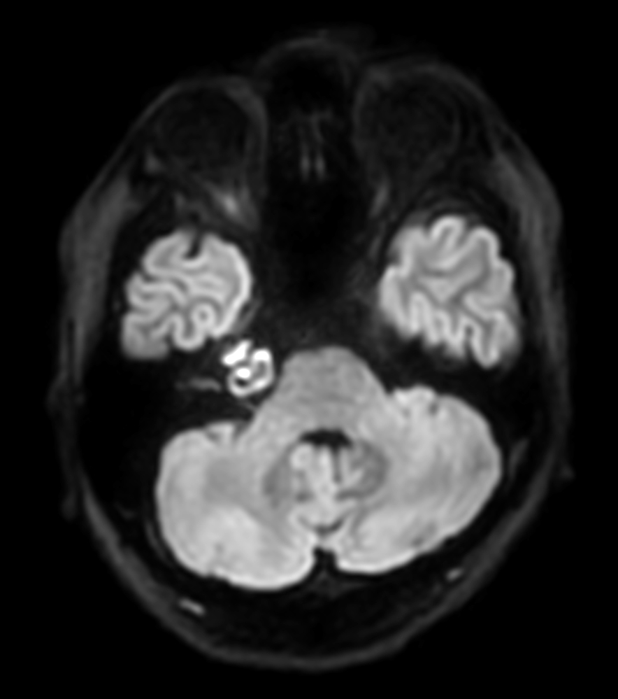
         DWI EPI high res (b1000)
- 
      
         DWI EPI ZOOM (b1000)
- 
      
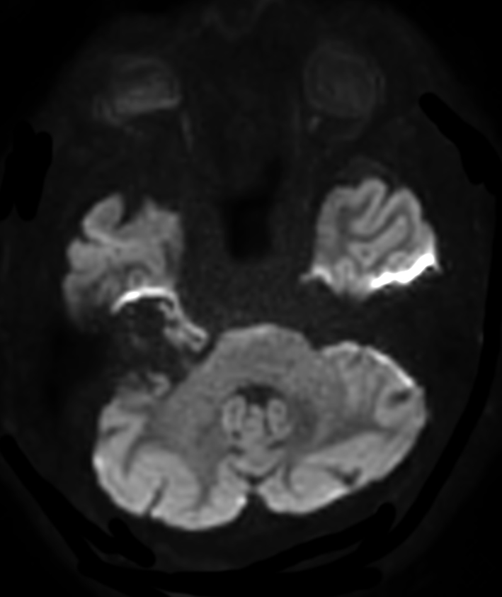
         DWI TSE XD (b1000)
- 
      
         DWI TSE XD high res (b1000)
- 
      
         MRA COW (MIP, spin)
                    
             
- 
      
         MRA COW (MIP, tumble)
                    
             
Previous
    Next         
    
    Close
    
    
        
        Resolution
ScantimeObjective
    
     
             
    
        
            *Results from case studies are not predictive of results in other cases. Results in other cases may vary.