Go back
Lumbar Spine with metal suppression
Kumamoto Chuo Hospital, Japan
Gallery
-
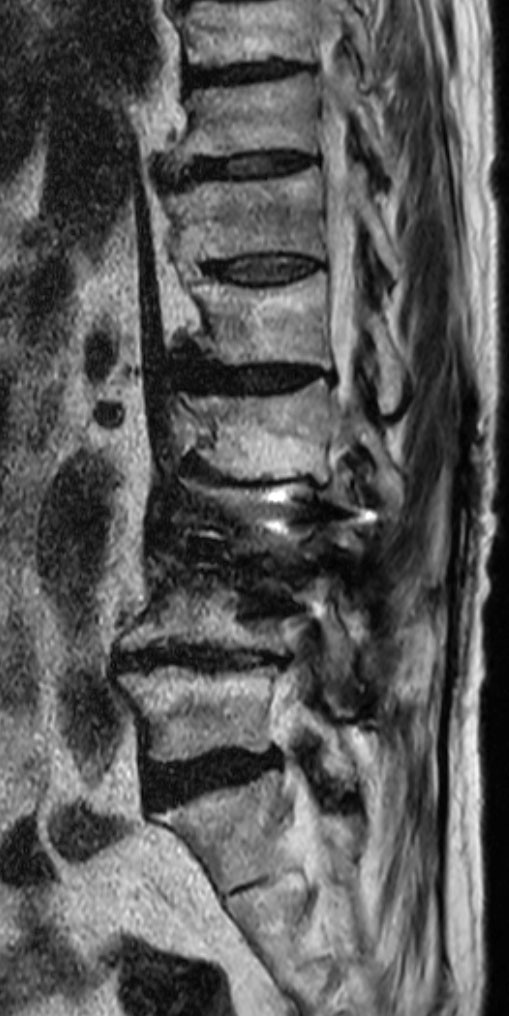
Sagittal T2w TSE
-
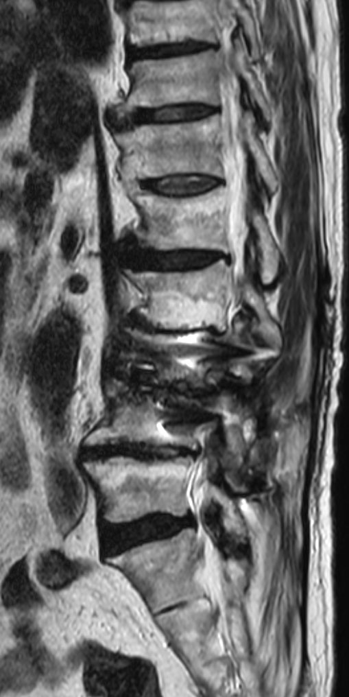
Sagittal T2w TSE O-MAR (VAT) 1
-
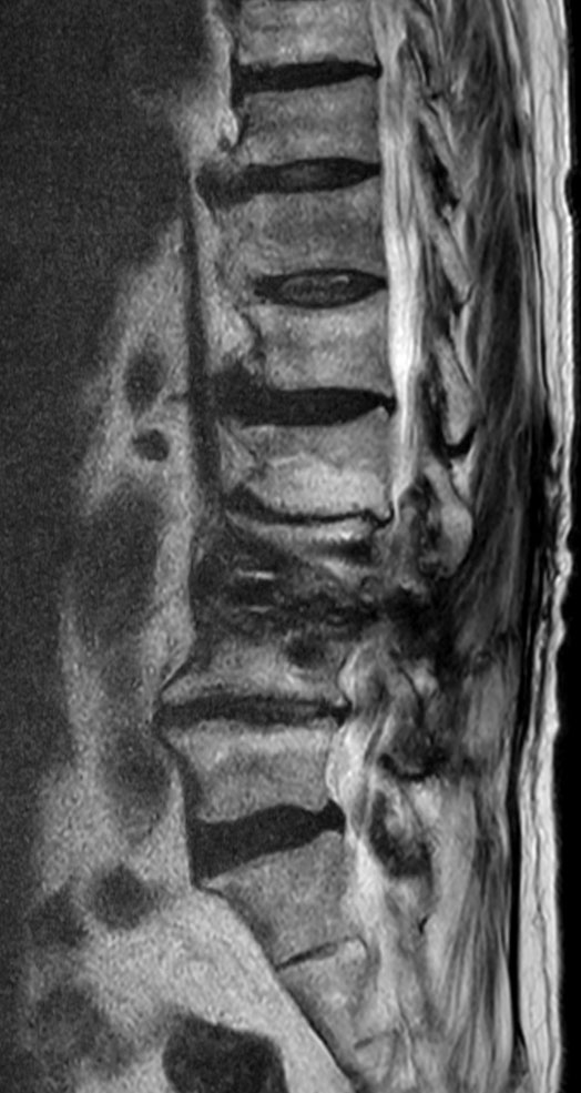
Sagittal T2w TSE O-MAR XD (VAT+SEMAC) 1
-
Sagittal T1w TSE O-MAR (VAT) 1
-
Axial T2w TSE O-MAR (VAT) 1
-
Axial T2w TSE O-MAR XD (VAT+SEMAC) 1
-
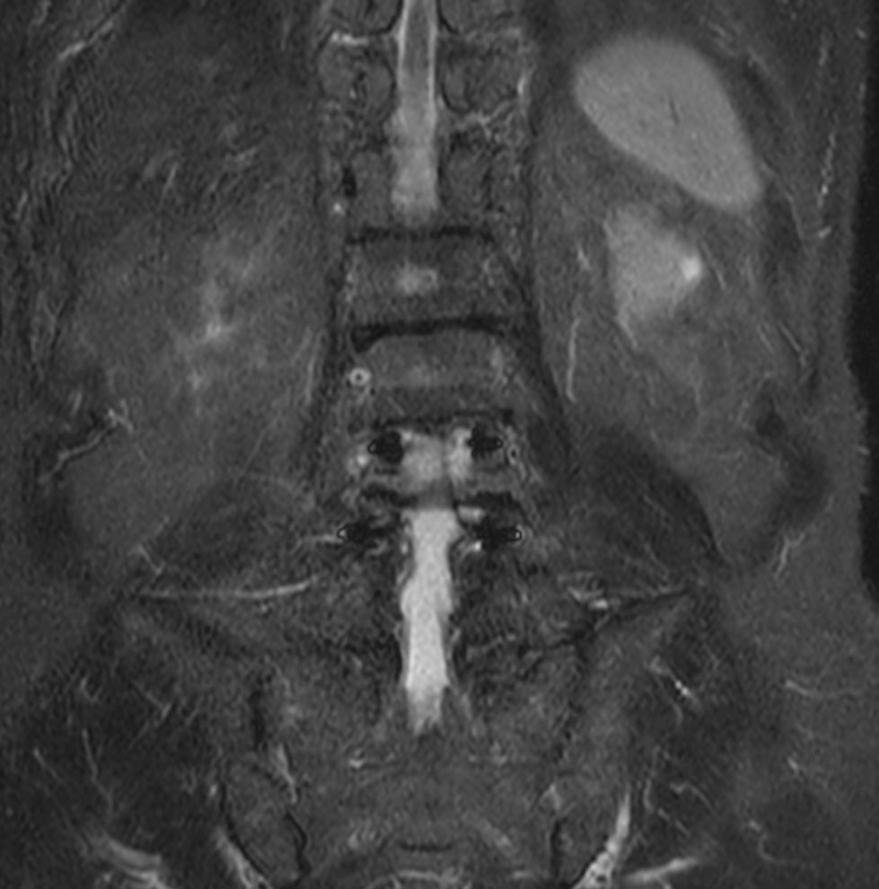
Coronal 3D T2w TSE (VISTA)
-
Coronal STIR TSE
Previous
Next
Close
Resolution
ScantimeObjective
*Results from case studies are not predictive of results in other cases. Results in other cases may vary.
1. Only for use with MR Safe or MR Conditional implants by strictly following the Instructions for Use.