Go back
        Helium-free MR operations: 
Brain with Compressed SENSE on BlueSeal magnet
        
            Spital Uster, Switzerland        
     
    
    
    
        Gallery
        
    
        - 
      
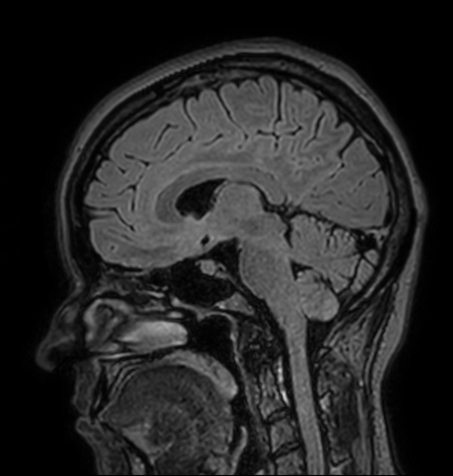
         Sagittal 3D BrainVIEW FLAIR
- 
      
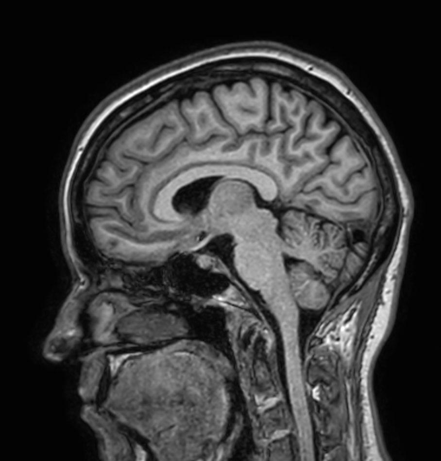
         Sagittal 3D T1w TFE
- 
      
         Sagittal T2w TSE MultiVane XD
- 
      
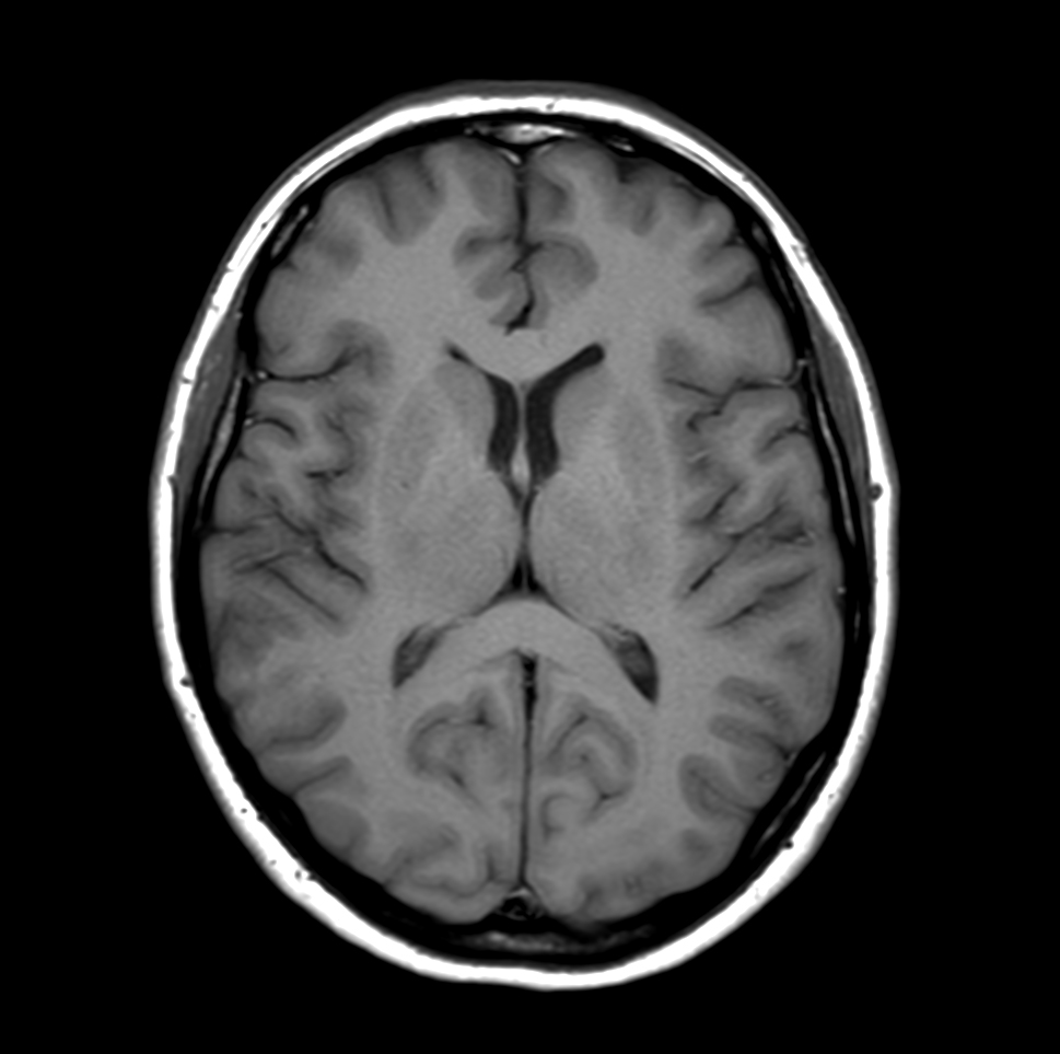
         Axial T1w SE
- 
      
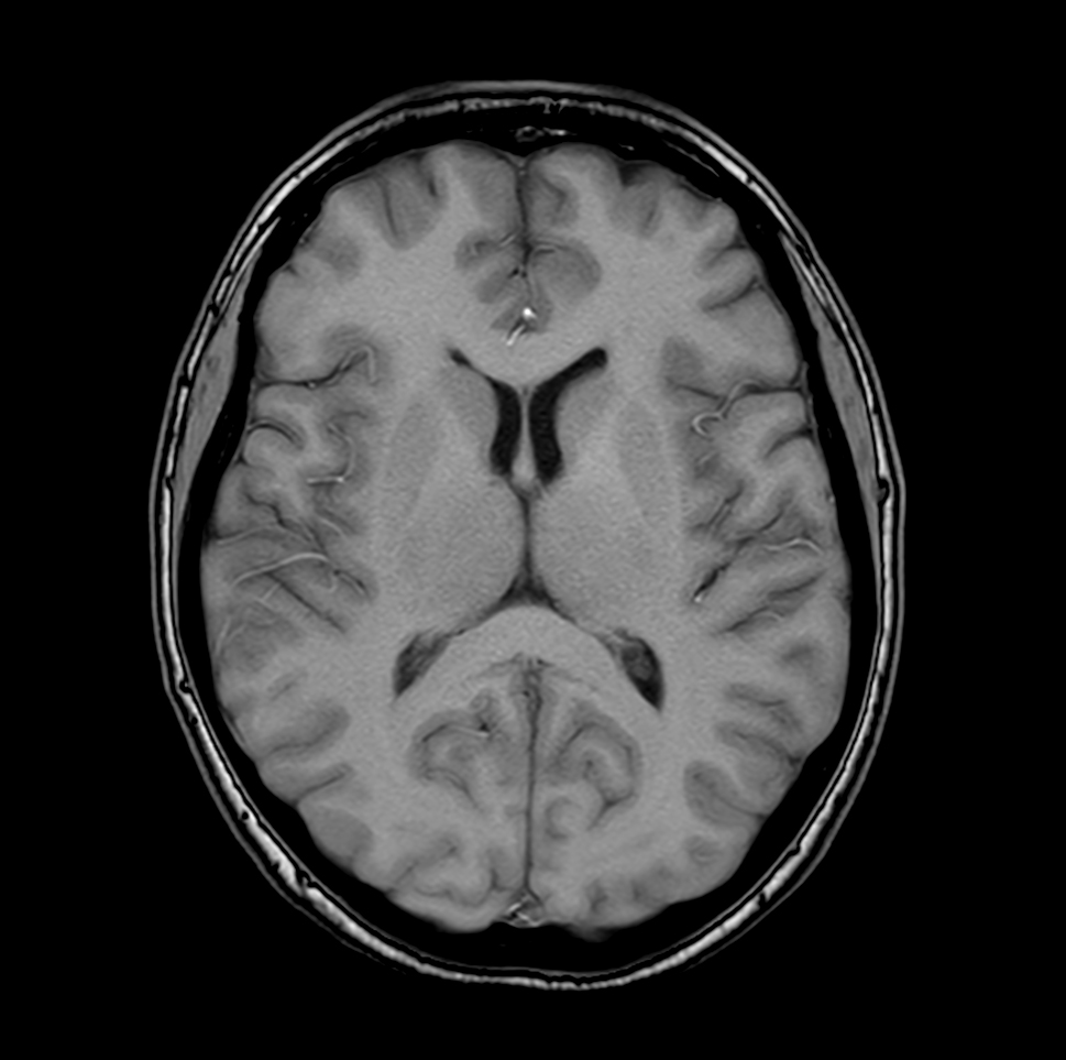
         Axial T1w FFE
- 
      
         Axial T2w TSE MultiVane XD
- 
      
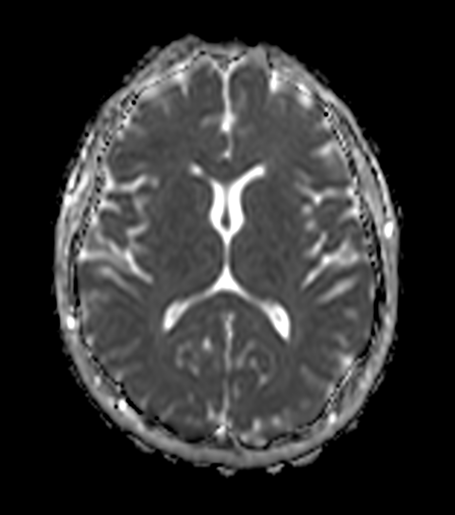
         Axial DWI (b0)
- 
      
         Axial DWI (b1000)
- 
      
         Axial DWI (ADC)
- 
      
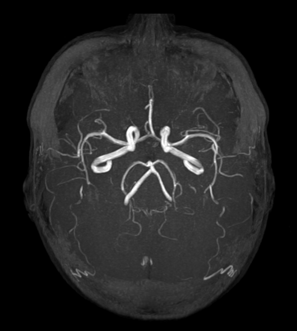
         Axial 3D Inflow
- 
      
         Coronal 3D Inflow
- 
      
         Sagittal 3D Inflow
Previous
    Next         
    
    Close
    
    
        
        Resolution
ScantimeObjective
    
     
             
    
        
            *Results from case studies are not predictive of results in other cases. Results in other cases may vary.
 1Compared to scans without Compressed SENSE
Results from case studies are not predictive of results in other cases. Results in other cases may vary.