Go back
        Pediatric brain with AVM
        
            Monash Childrens Hospital, Clayton,  Australia        
     
            
            
                
Patient information
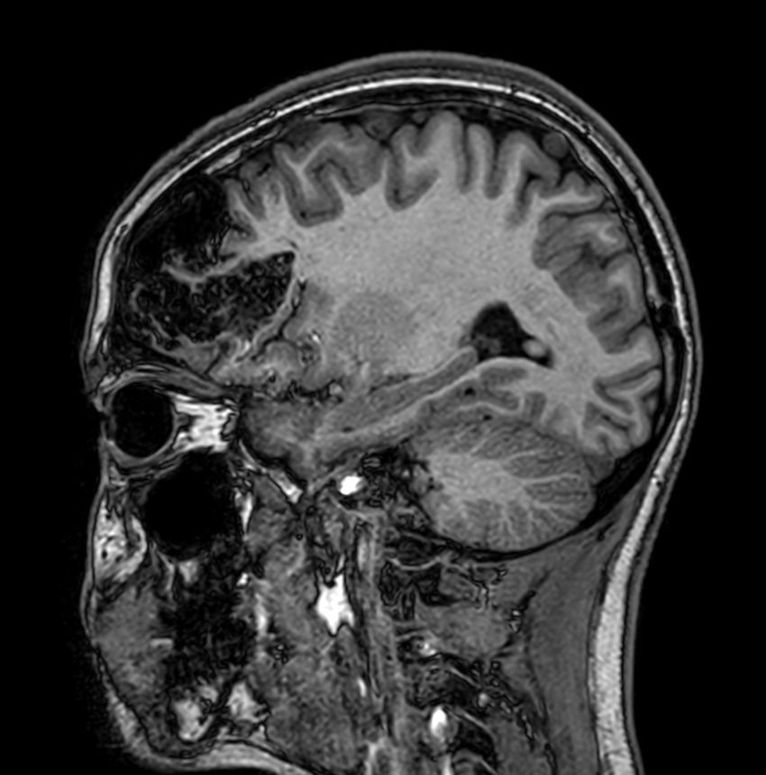
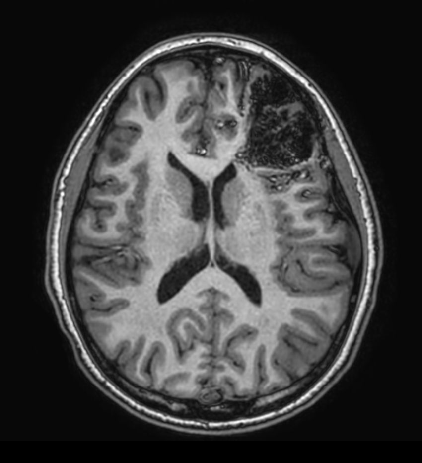
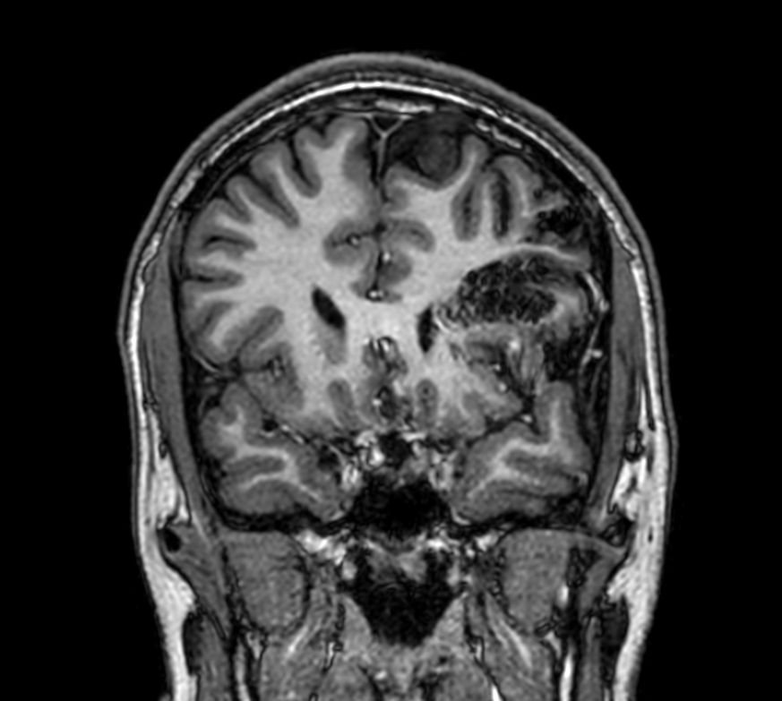
                Pediatric patient with frontal brain AVM. MultiVane XD is used to achieve high resolution diagnostic images, even in the case of severe patient motion. SWIp sequence is added to acquire exquisite susceptibility contrast. The 3D sequences with isotropic voxel size enable reformats in any plane without loss of resolution. And 4D-TRAK XD, a fast, dynamic contrast-enhanced MR Angiography method allows to achieve high spatial and temporal resolution simultaneously. Integration of Compressed SENSE acceleration technique enables speeding up of the entire exam.            
        
    
    
    
        Gallery
        
    
        - 
      
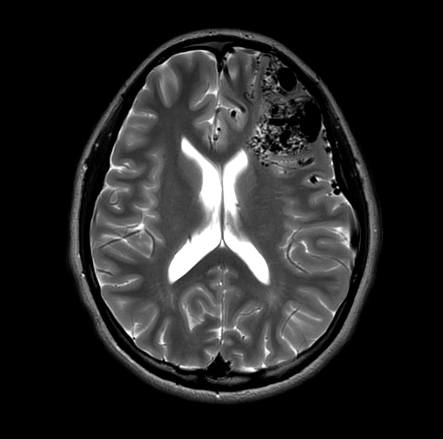
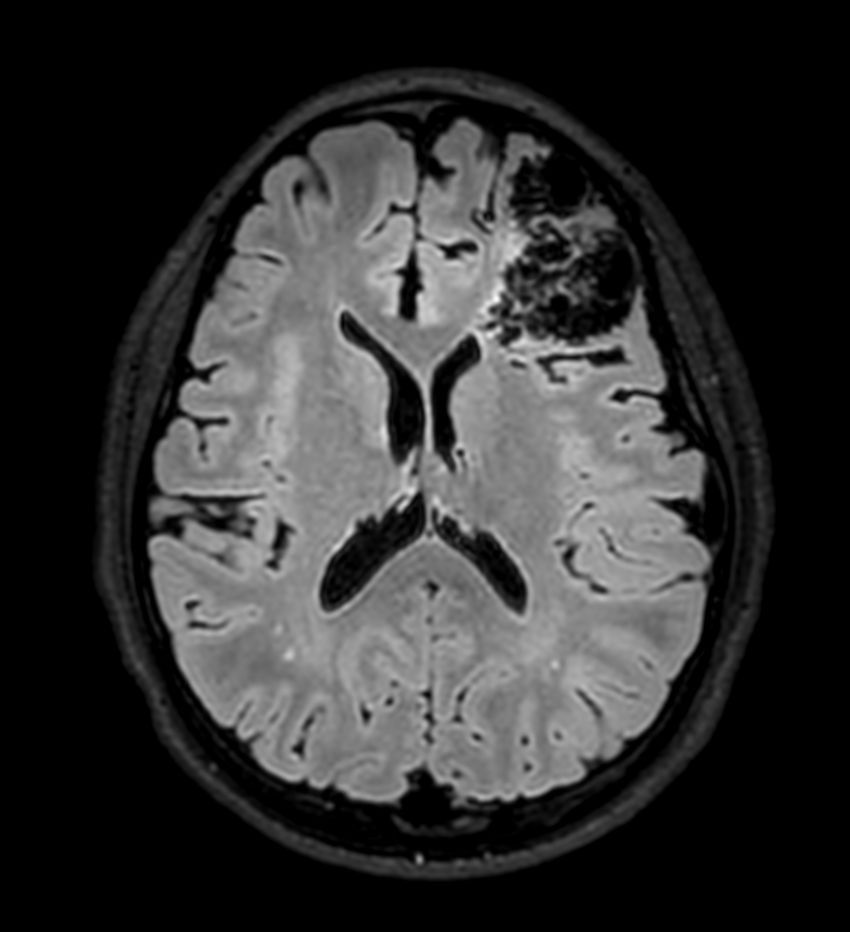
         Axial T2w TSE MultiVane XD
- 
      
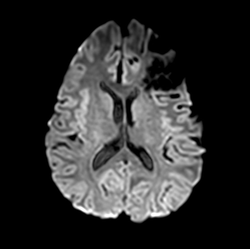
         Axial DWI b1000
- 
      
         Axial DWI b1000 (ADC)
- 
      
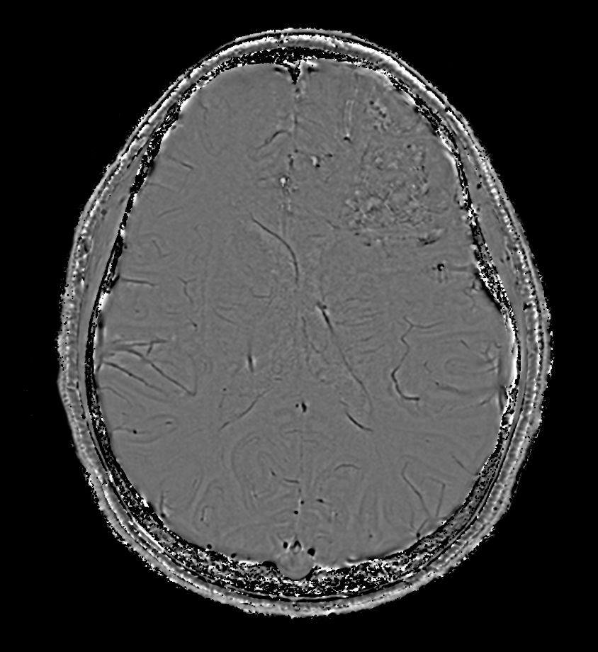
         Axial SWIpCompressed SENSE
- 
      
         Axial SWIp (minIP)Compressed SENSE
- 
      
         Axial SWIp (Phase)Compressed SENSE
- 
      
         Sagittal 3D T2w FLAIRCompressed SENSE
- 
      
         3D T2w FLAIR - Axial reformatCompressed SENSE
- 
      
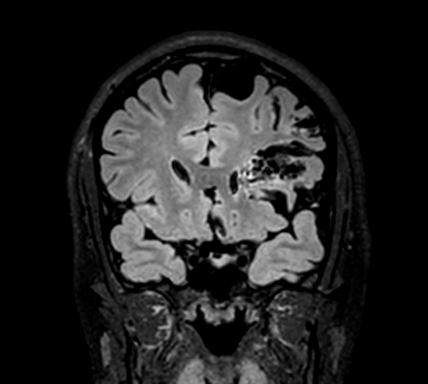
         3D T2w FLAIR - Coronal reformatCompressed SENSE
- 
      
         Sagittal 3D T1w TFECompressed SENSE
- 
      
         3D T1w TFE - Axial reformatCompressed SENSE
- 
      
         3D T1w TFE - Coronal reformatCompressed SENSE
- 
      
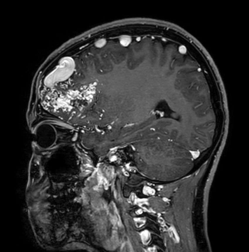
         Sagittal 3D T1w TFE +gadoCompressed SENSE
- 
      
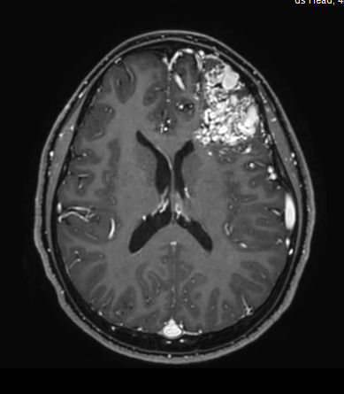
         3D T1w TFE +gado - Axial reformatCompressed SENSE
- 
      
         3D T1w TFE +gado - Coronal reformatCompressed SENSE
- 
      
         Sagittal 4D-TRAK XD
                    
             
- 
      
         Axial 4D-TRAK XD
                    
             
- 
      
         Coronal 4D-TRAK XD
                    
             
- 
      
         Coronal 3D TOF MRACompressed SENSE
                    
             
- 
      
         Coronal 3D PCACompressed SENSE
                    
             
Previous
    Next         
    
    Close
    
    
        
        Resolution
ScantimeObjective
    
     
             
    
        
            *Results from case studies are not predictive of results in other cases. Results in other cases may vary.