Go back
        dS Head 32ch - Pituitary
        
            Q-Scan Radiology Clinics, Southport, Australia        
     
            
            
                
Patient information
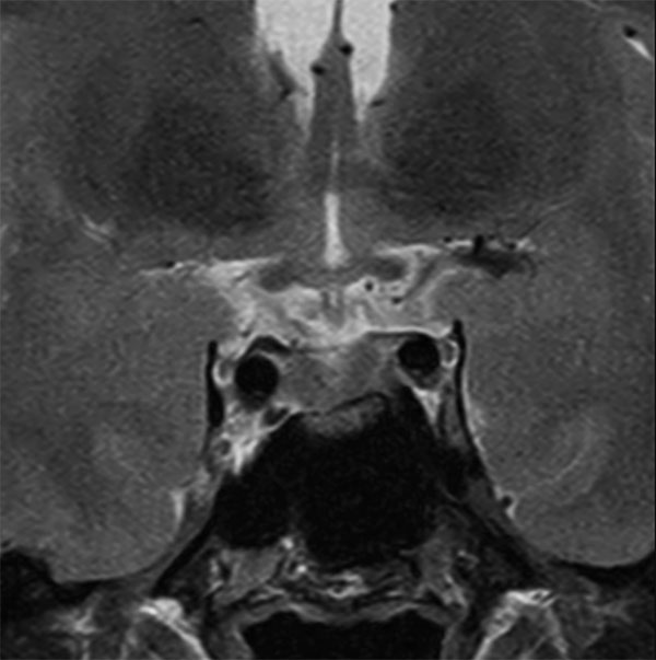
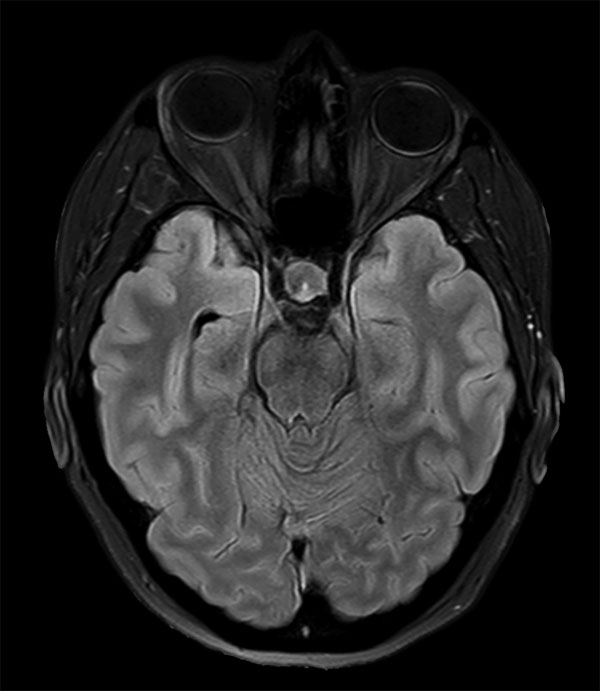
                Subtle 4mm focus of decreased enhancement in the right pituitary posteriorly. No definite discrete lesion is demonstrated and the findings are equivocal for a microadenoma. Follow up imaging with MRI in six months is indicated. No suprasellar lesion or no other intracranial abnormality is demonstrated.            
        
    
    
    
        Gallery
        
    
        - 
      
         Axial T2w FLAIR
- 
      
         Coronal T2w TSE
- 
      
         Dynamic T1w TSE (+gado)
                    
             
- 
      
         Sagittal T1w TSE (+gado)
Previous
    Next         
    
    Close
    
    
        
        Resolution
ScantimeObjective
    
     
             
    
        
            *Results from case studies are not predictive of results in other cases. Results in other cases may vary.