Go back
        Liver with ascites
        
            Technical University Munich, Germany        
     
            
            
                
Patient information
                Patient with ascites            
        
    
    
    
        Gallery
        
    
        - 
      
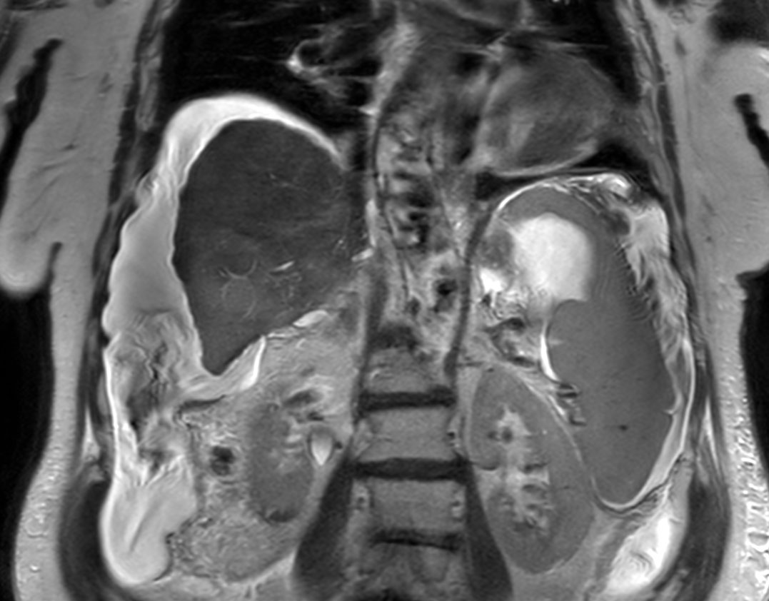
         Coronal T2w SSh
- 
      
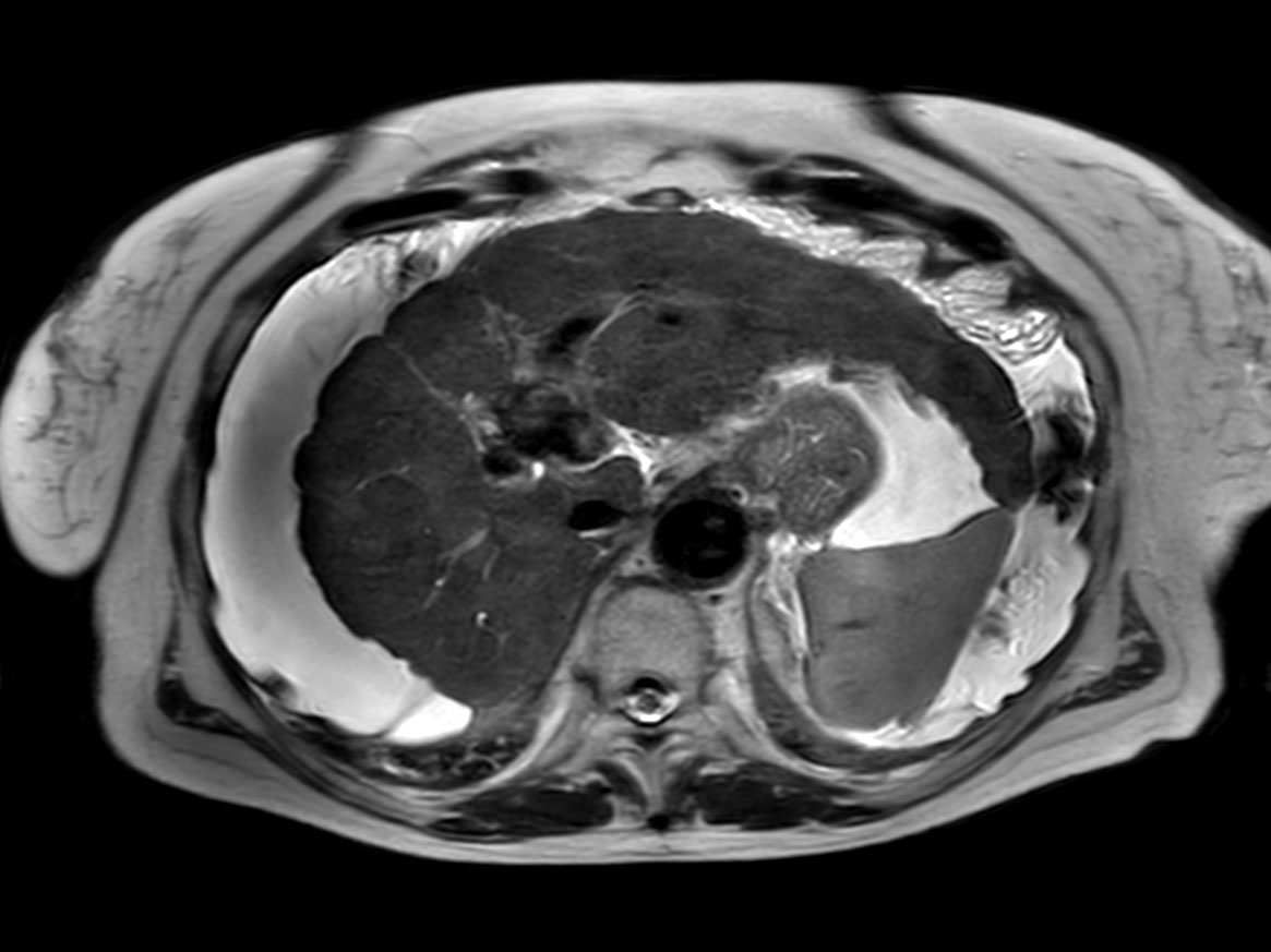
         Axial T2w TSE 
- 
      
         Axial Diffusion - b0
- 
      
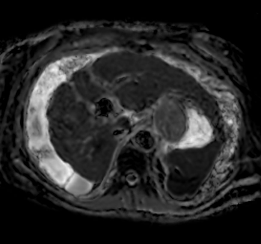
         Axial Diffusion - b50
- 
      
         Axial Diffusion - b600
- 
      
         Axial Diffusion - ADC
- 
      
         Axial T1w 3D VANE XD (Water only)
- 
      
         Axial T1w 3D VANE XD (In Phase)
- 
      
         Axial T1w 3D VANE XD (Out Phase)
- 
      
         Axial dynamic T1w mDIXON XD FFE (blanco)
- 
      
         Axial T1w mDIXON XD FFE (1st dynamic)
- 
      
         Axial dynamic T1w mDIXON XD FFE
                    
             
- 
      
         Axial T1w mDIXON XD FFE - post gado (high res)
Previous
    Next         
    
    Close
    
    
        
        Resolution
ScantimeObjective
    
     
             
    
        
            *Results from case studies are not predictive of results in other cases. Results in other cases may vary.