Go back
        Prostate imaging with motion reduction techniques
        
            Sound Radiology, Adelaide, Australia        
     
    
    
    
        Gallery
        
    
        - 
      
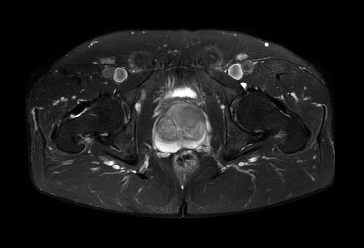
         Axial T2w TSE FatSat
- 
      
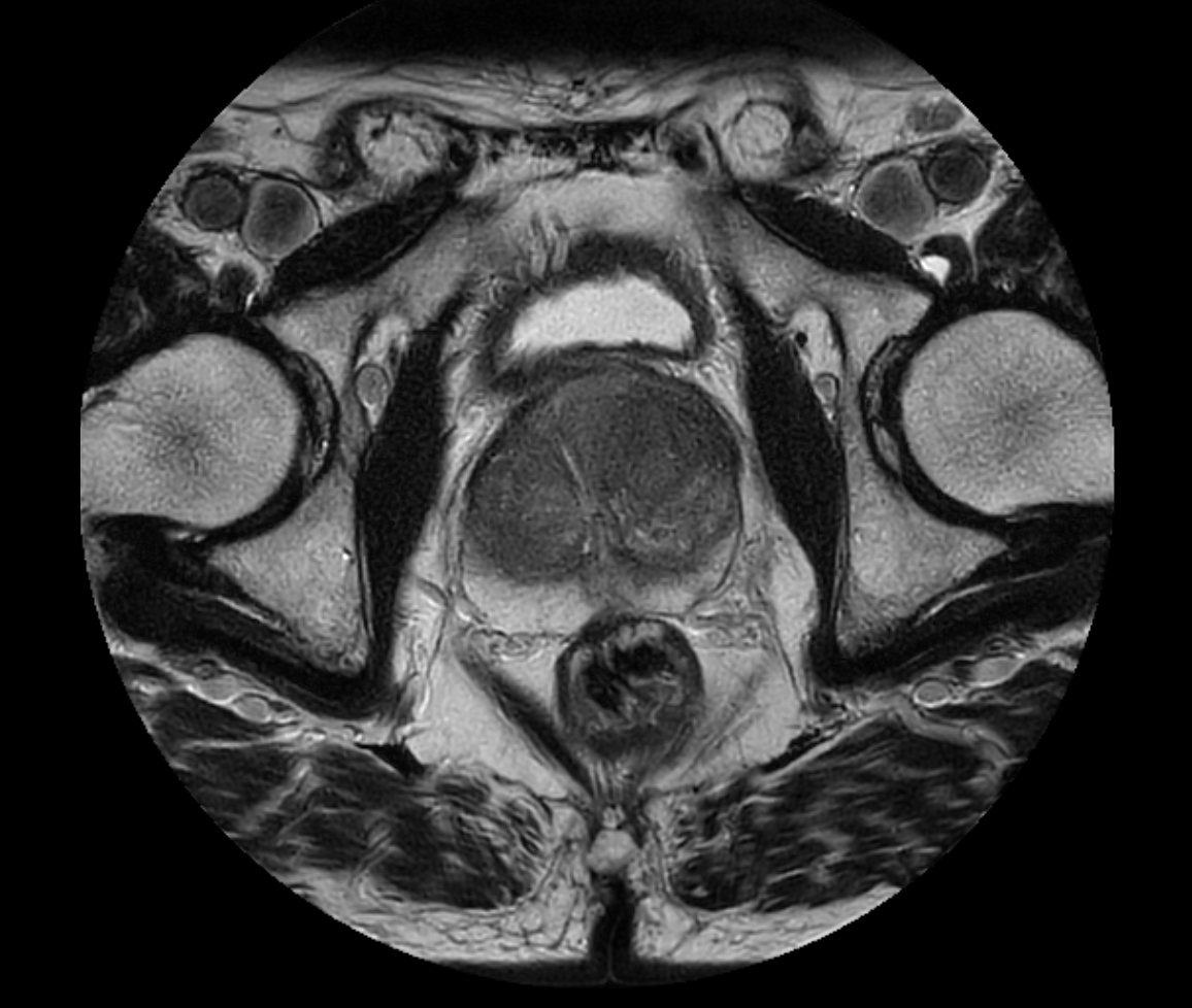
         Axial T2w TSE - MultiVane XD
- 
      
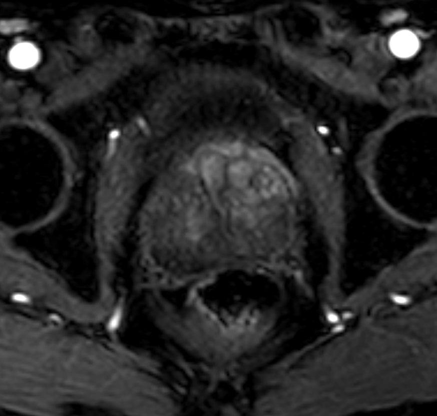
         Axial T1w TSE
- 
      
         Axial DWI (b100)
- 
      
         Axial DWI (b500)
- 
      
         Axial DWI (b1000)
- 
      
         Axial DWI (b1500)
- 
      
         Axial DWI (ADC)
- 
      
         Axial DWI (eADC)
- 
      
         Axial dynamic T1w mDIXON XD - Permeability 48 sec
- 
      
         Axial dynamic T1w mDIXON XD - Permeability 1:08 min
- 
      
         Axial dynamic T1w mDIXON XD - Permeability
                    
             
- 
      
         Axial T1w TSE (Pelvis) + gado
- 
      
         Sagittal T2w TSE - MultiVane XD
- 
      
         Coronal T2w TSE - MultiVane XD
Previous
    Next         
    
    Close
    
    
        
        Resolution
ScantimeObjective
    
     
             
    
        
            *Results from case studies are not predictive of results in other cases. Results in other cases may vary.