Go back
        Neck stenosis
        
            Seirei Mikatahara General Hospital, Japan        
     
            
            
                
Patient information
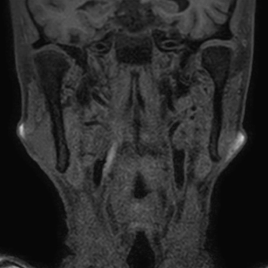
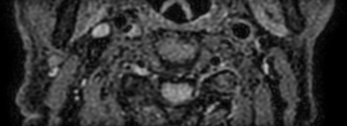
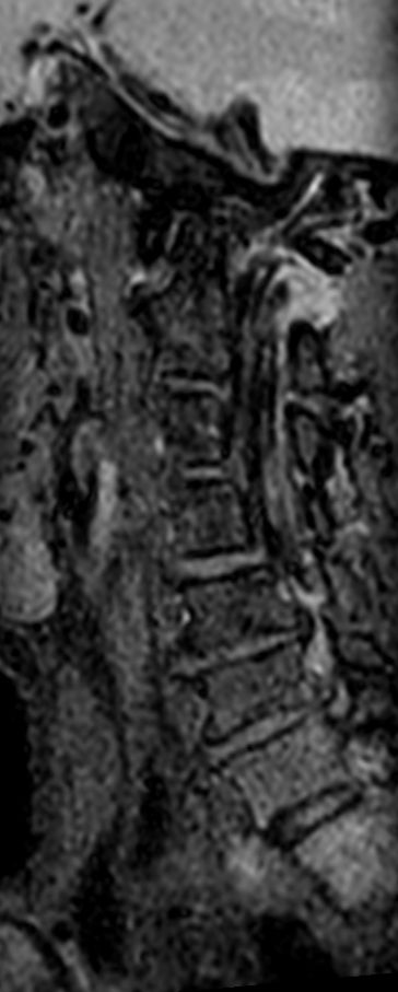
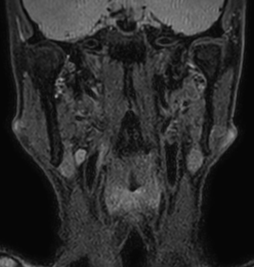
                Patient with a neck stenosis. Compressed SENSE is used to shorten the total exam time.            
        
    
    
    
        Gallery
        
    
        - 
      
         3D T2w TSE Black Blood - Compressed SENSE
- 
      
         3D T1w TSE Black Blood - Compressed SENSE
- 
      
         3D T2w TSE Black Blood - Compressed SENSE
- 
      
         3D T1w TSE Black Blood - Compressed SENSE
- 
      
         3D T2w TSE Black Blood - Compressed SENSE
- 
      
         3D T1w TSE Black Blood - Compressed SENSE
- 
      
         3D T2w TSE Black Blood - Compressed SENSE
- 
      
         3D T1w TSE Black Blood - Compressed SENSE
- 
      
         3D MRA TOF - Compressed SENSE (spin)
                    
             
Previous
    Next         
    
    Close
    
    
        
        Resolution
ScantimeObjective
    
     
             
    
        
            *Results from case studies are not predictive of results in other cases. Results in other cases may vary.