Go back

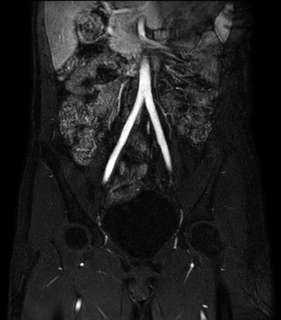
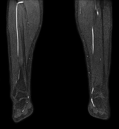
Non-subtraction MR Angiography

Utrecht Medical Center, The Netherlands

Used Solution

  • System

  • Coil

  • Clinical Application

*Results from case studies are not predictive of results in other cases. Results in other cases may vary.