Go back
        Advanced imaging of the Brain
        
            Krankenhaus der Barmherzigen Brüder, Trier, Germany        
     
    
    
    
        Gallery
        
    
        - 
      
         3D T1w TFE
- 
      
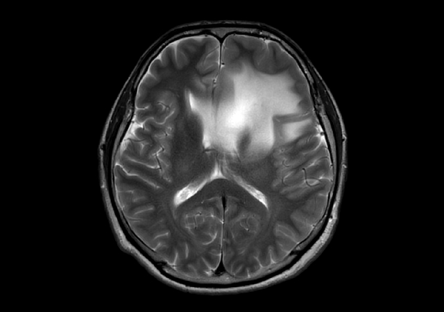
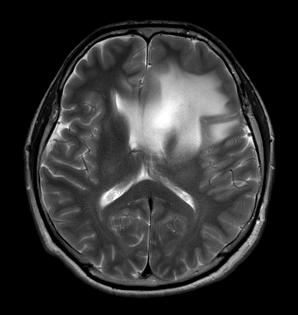
         T2w TSE - MultiVane XD
- 
      
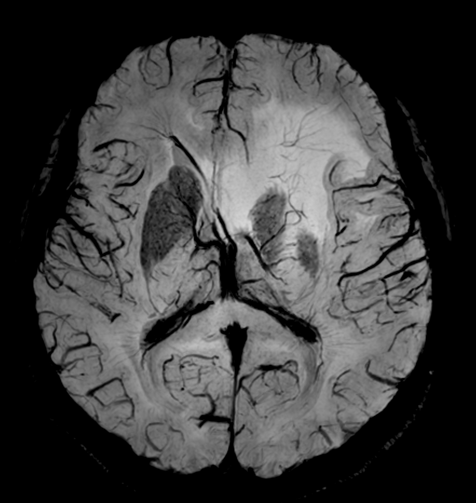
         SWIp (minIP)
- 
      
         DWI (b1000)
- 
      
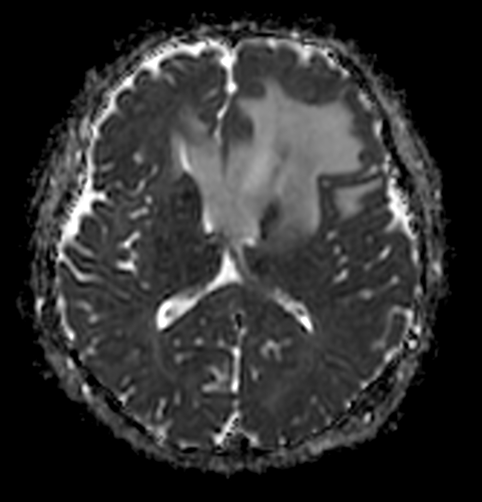
         DWI (ADC)
- 
      
         DWI (eADC)
- 
      
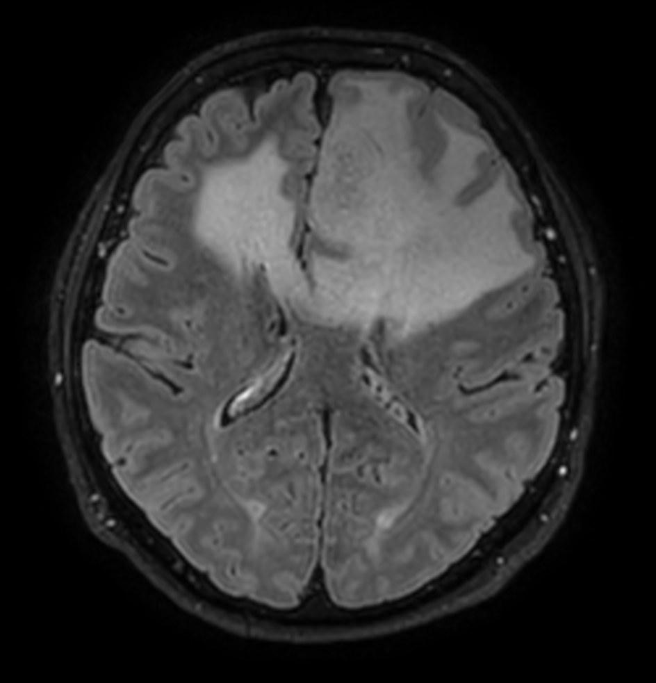
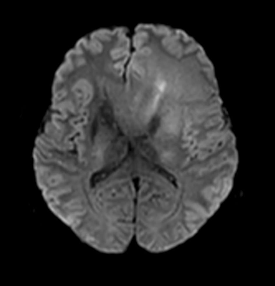
         3D VIEW - T2w FLAIR
- 
      
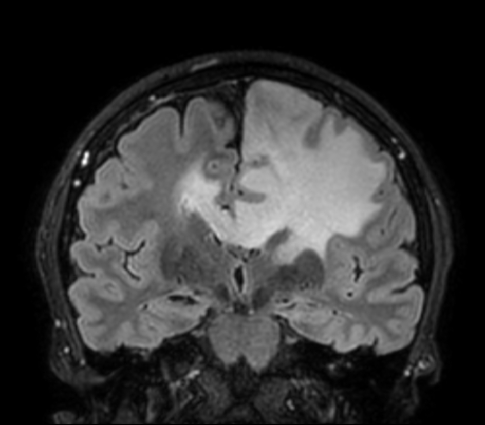
         3D VIEW - T2w FLAIR (coronal reformat)
- 
      
         3D VIEW - T2w FLAIR (sagittal reformat)
- 
      
         DTI - FiberTrak
                    
             
- 
      
         T2* Perfusion (Index)
- 
      
         2D PRESS (TE 144)
- 
      
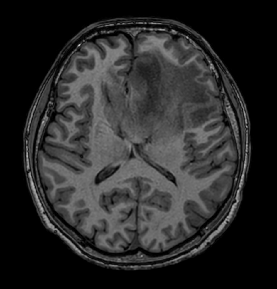
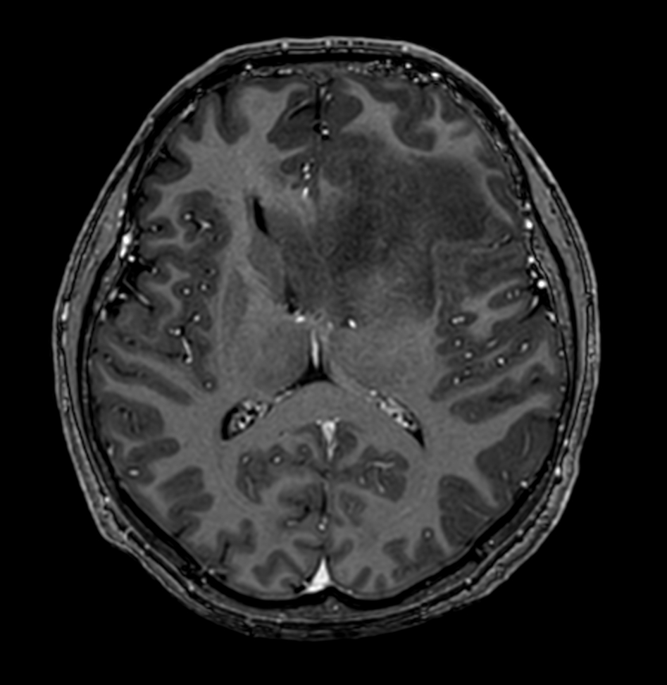
         3D T1w TFE - Post-gado
- 
      
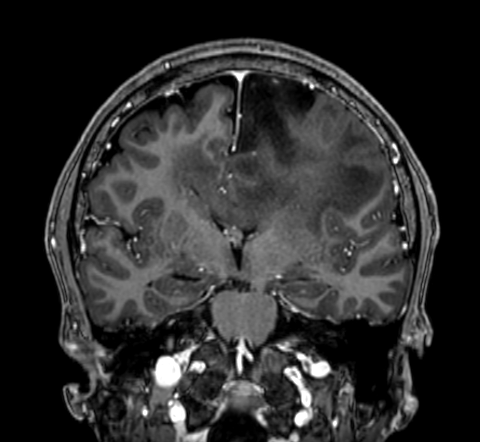
         3D T1w TFE - Post-gado (coronal reformat)
- 
      
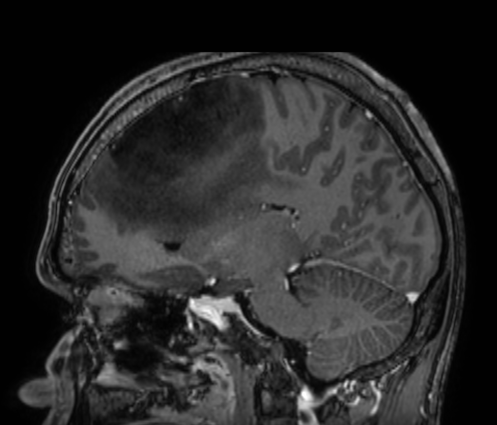
         3D T1w TFE - Post-gado (sagittal reformat)
Previous
    Next         
    
    Close
    
    
        
        Resolution
ScantimeObjective
    
     
             
    
        
            *Results from case studies are not predictive of results in other cases. Results in other cases may vary.