Go back
        Knee with lesion
        
            Seirei Mikatahara General Hospital, Japan        
     
            
            
                
Patient information
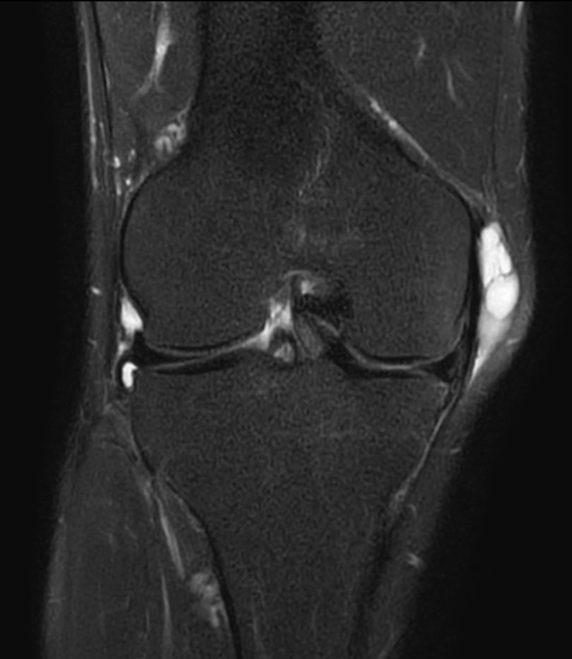
                Patient with a Knee lesion. Compressed SENSE is used to shorten the total exam time.            
        
    
    
    
        Gallery
        
    
        - 
      
         T2w TSE - Compressed SENSE
- 
      
         PDw TSE - Compressed SENSE
- 
      
         T2w TSE FatSat - Compressed SENSE
- 
      
         T2w TSE - Compressed SENSE
- 
      
         PDw TSE - Compressed SENSE
- 
      
         T2w FFE - Compressed SENSE
- 
      
         T2w TSE - Compressed SENSE
Previous
    Next         
    
    Close
    
    
        
        Resolution
ScantimeObjective
    
     
             
    
        
            *Results from case studies are not predictive of results in other cases. Results in other cases may vary.