Go back
        Chest imaging
        
            Kantonsspital Winterthur, Switzerland        
     
    
    
    
        Gallery
        
    
        - 
      
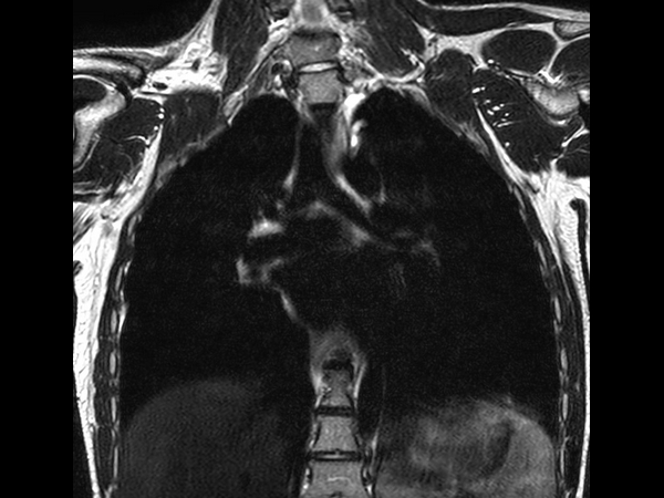
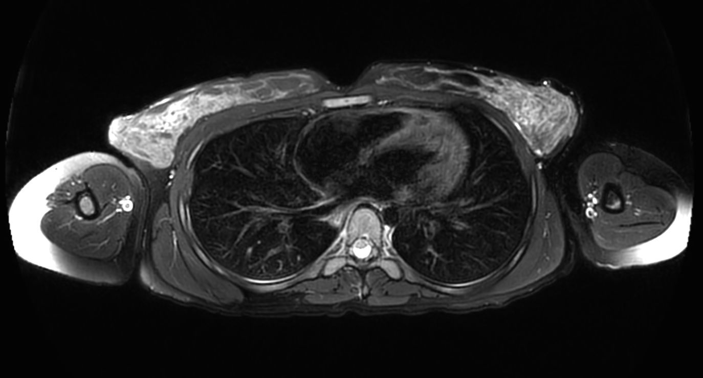
         T2w TSE - MultiVane XD
- 
      
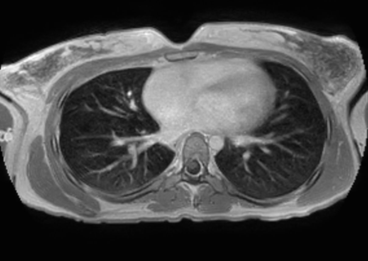
         T2w SPIR - MultiVane XD
- 
      
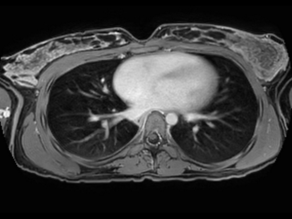
         T1w mDIXON XD (Out Phase)
- 
      
         T1w mDIXON XD (In Phase)
- 
      
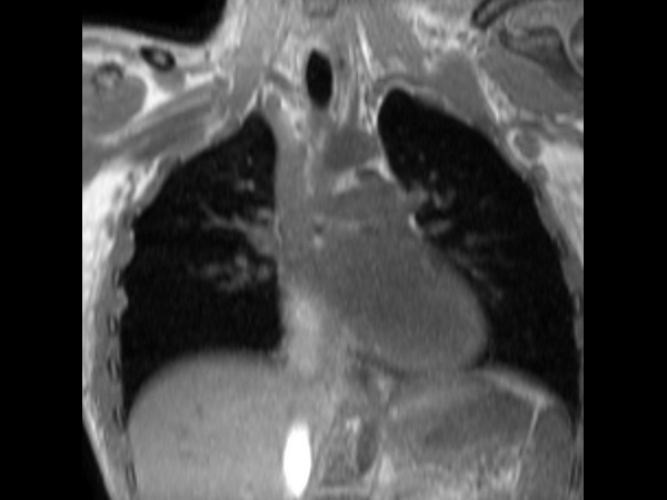
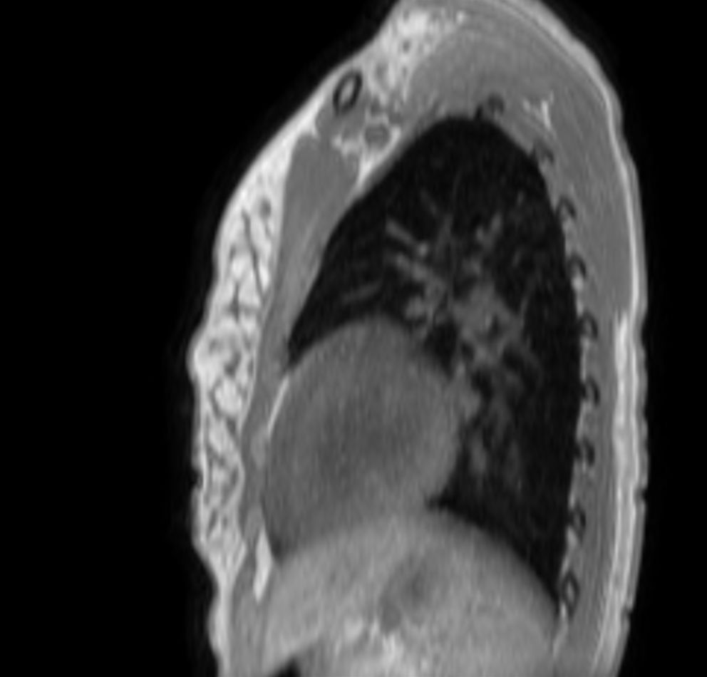
         T1w mDIXON XD (In Phase) (MPR)
- 
      
         T1w mDIXON XD (In Phase) (MPR)
- 
      
         T2w TSE
- 
      
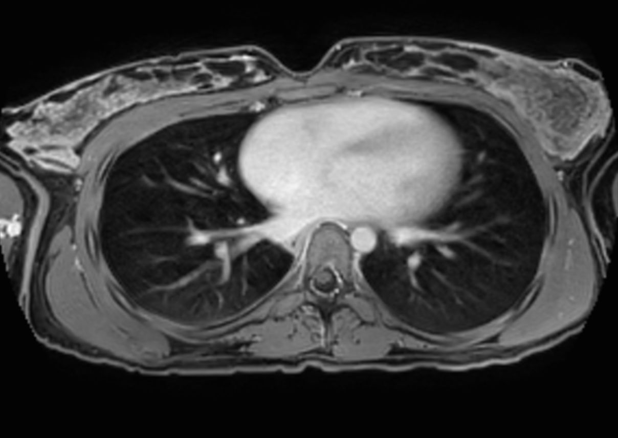
         T1w mDIXON XD with gado (In Phase)
- 
      
         T1w mDIXON XD with gado (Water only)
- 
      
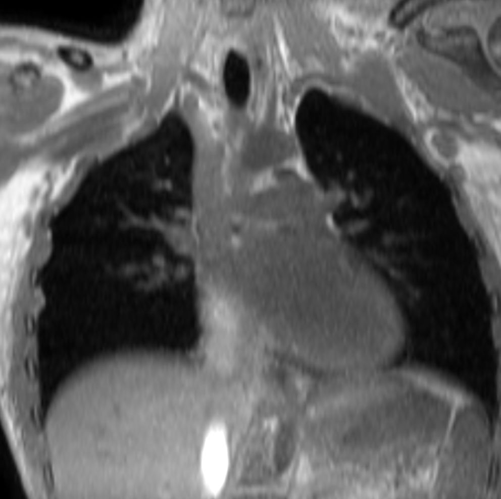
         T1w mDIXON XD with gado (Water only) (MPR)
- 
      
         T1w mDIXON XD with gado (Water only) (MPR)
Previous
    Next         
    
    Close
    
    
        
        Resolution
ScantimeObjective
    
     
             
    
        
            *Results from case studies are not predictive of results in other cases. Results in other cases may vary.