Go back
        Comprehensive Brain exam in 8 minutes
        
            Lenox Hill Radiology, Flushing, New York, USA        
     
            
            
                
Patient information
                Compressed SENSE is used for this fast comprehensive brain exam to shorten the total exam time for the patient to only 8 minutes.            
        
    
    
    
        Gallery
        
    
        - 
      
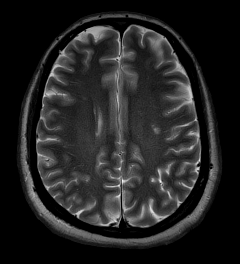
         Axial T2w TSE MultiVane XD
- 
      
         Axial SWIp
- 
      
         Axial DWI (b1000)
- 
      
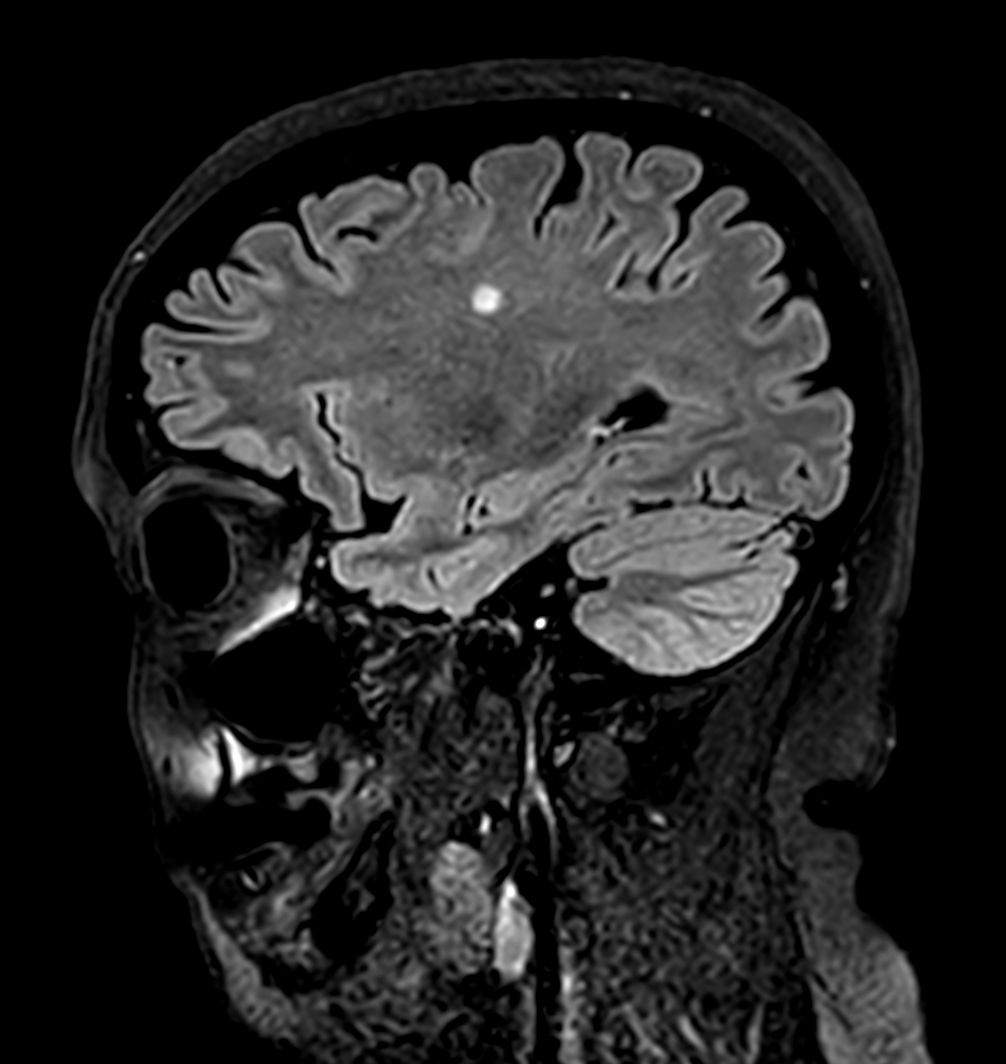
         Sagittal 3D BrainVIEW FLAIR
- 
      
         Coronal 3D BrainVIEW FLAIR (reformat)
- 
      
         Axial 3D BrainVIEW FLAIR (reformat)
Previous
    Next         
    
    Close
    
    
        
        Resolution
ScantimeObjective
    
     
             
    
        
            *Results from case studies are not predictive of results in other cases. Results in other cases may vary.