Go back
SmartSpeed Forefoot imaging
Suzukake Central Hospital, Japan
Patient information
This forefoot ExamCard includes 3 orientations and several different contrasts. SmartSpeed is used to increase imaging speed while delivering outstanding image quality.
Gallery
-
Sagittal T2w TSE
-
Sagittal T1w TSE
-
Sagittal STIR TSE
-
Coronal T2w TSE
-
Coronal T1w TSE
-
Coronal STIR TSE
-
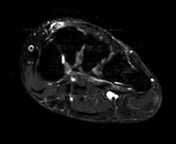
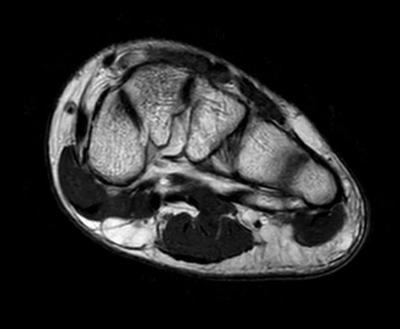
Axial T2w TSE
-
Axial T1w TSE
-
Axial STIR TSE
Previous
Next
Close
Resolution
ScantimeObjective
*Results from case studies are not predictive of results in other cases. Results in other cases may vary.