Go back
        Brain with glioblastoma
        
            Technical University Munich, Germany        
     
            
            
                
Patient information
                Patient with brain glioblastoma diagnosis            
        
    
    
    
        Gallery
        
    
        - 
      
         Sagittal 3D FLAIR
- 
      
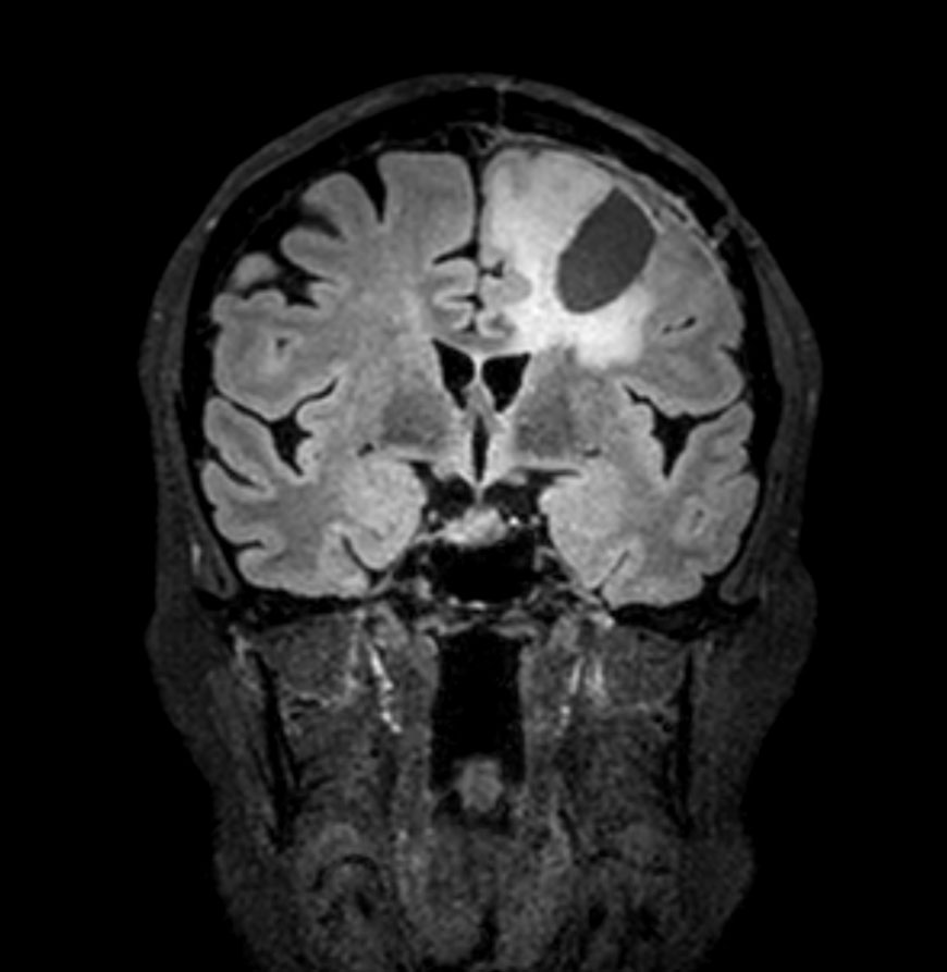
         3D FLAIR - Coronal reformat
- 
      
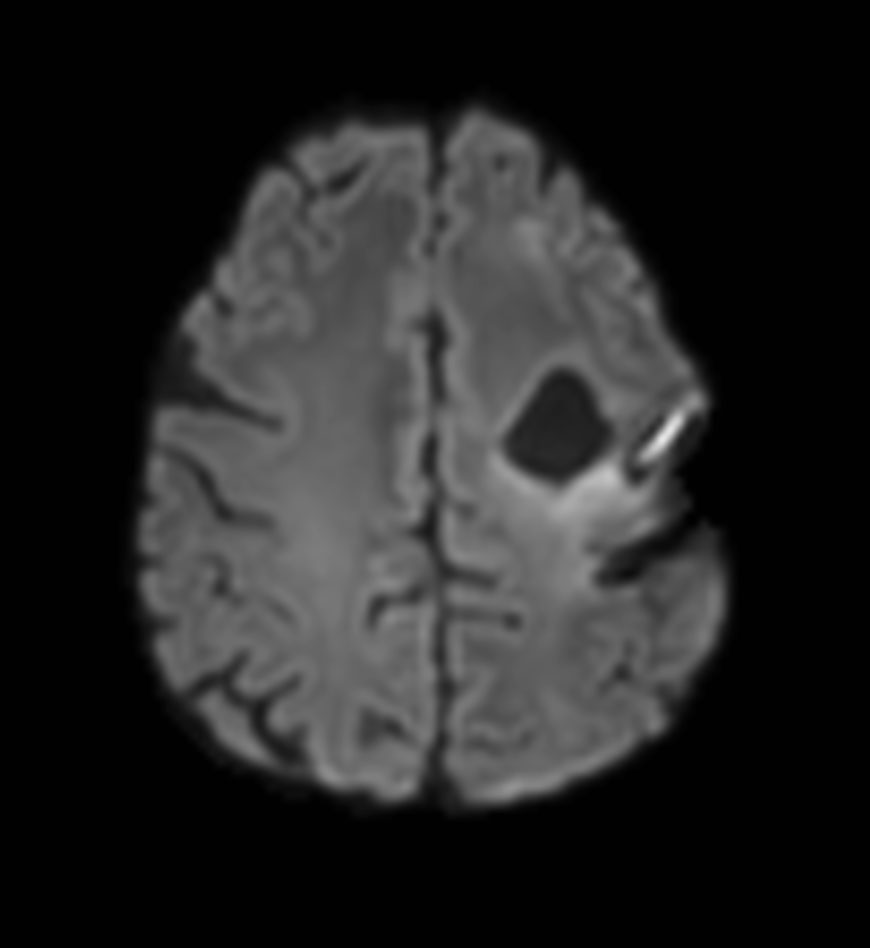
         3D FLAIR - Axial reformat
- 
      
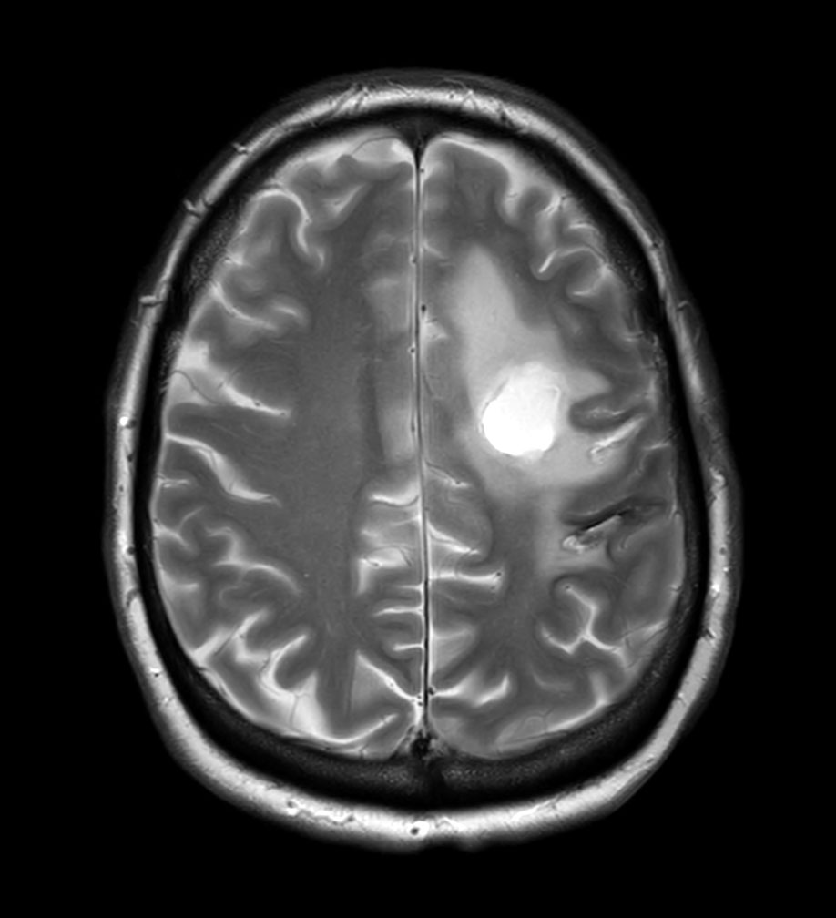
         Axial T2w TSE
- 
      
         Axial SWIp
- 
      
         Axial 3D APT
- 
      
         Axial DTI (b1000)
- 
      
         Axial DTI (ADC)
- 
      
         Axial DTI (FiberTrak)
- 
      
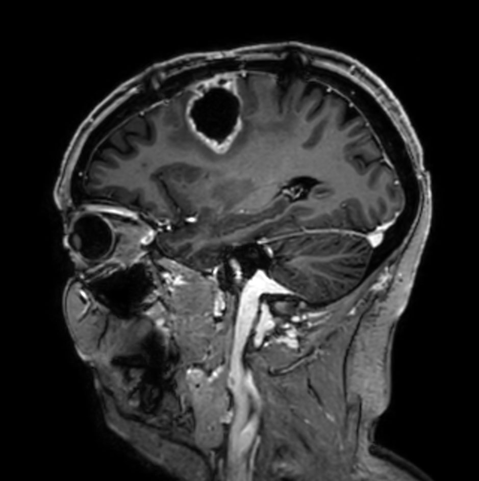
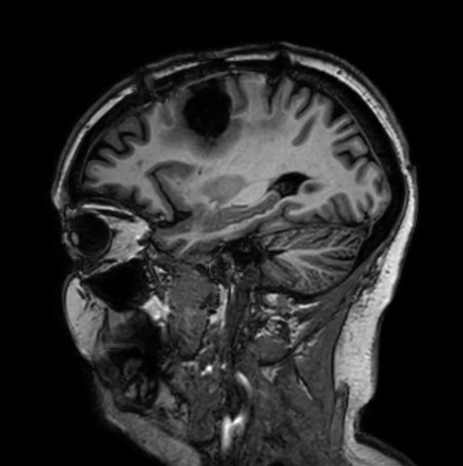
         Sagittal 3D T1w TFE
- 
      
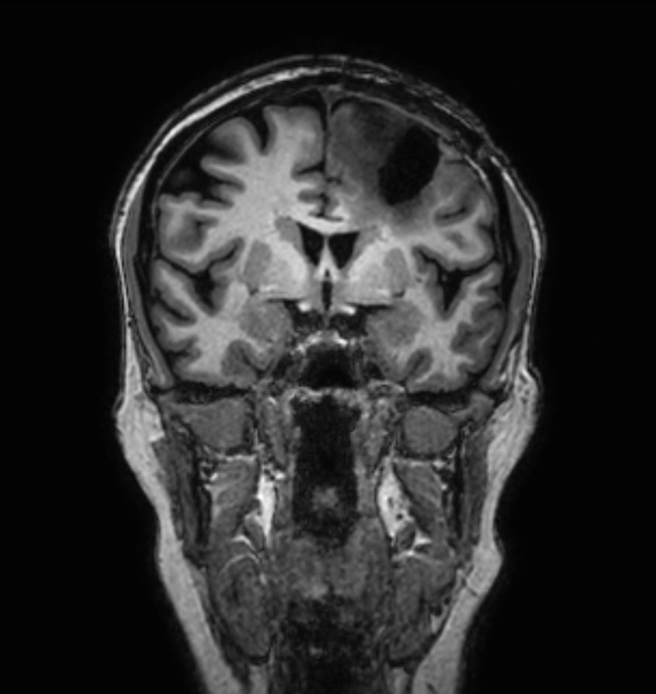
         3D T1w TFE - Coronal reformat
- 
      
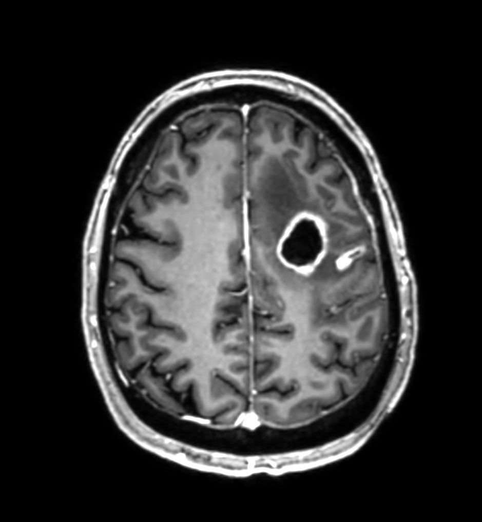
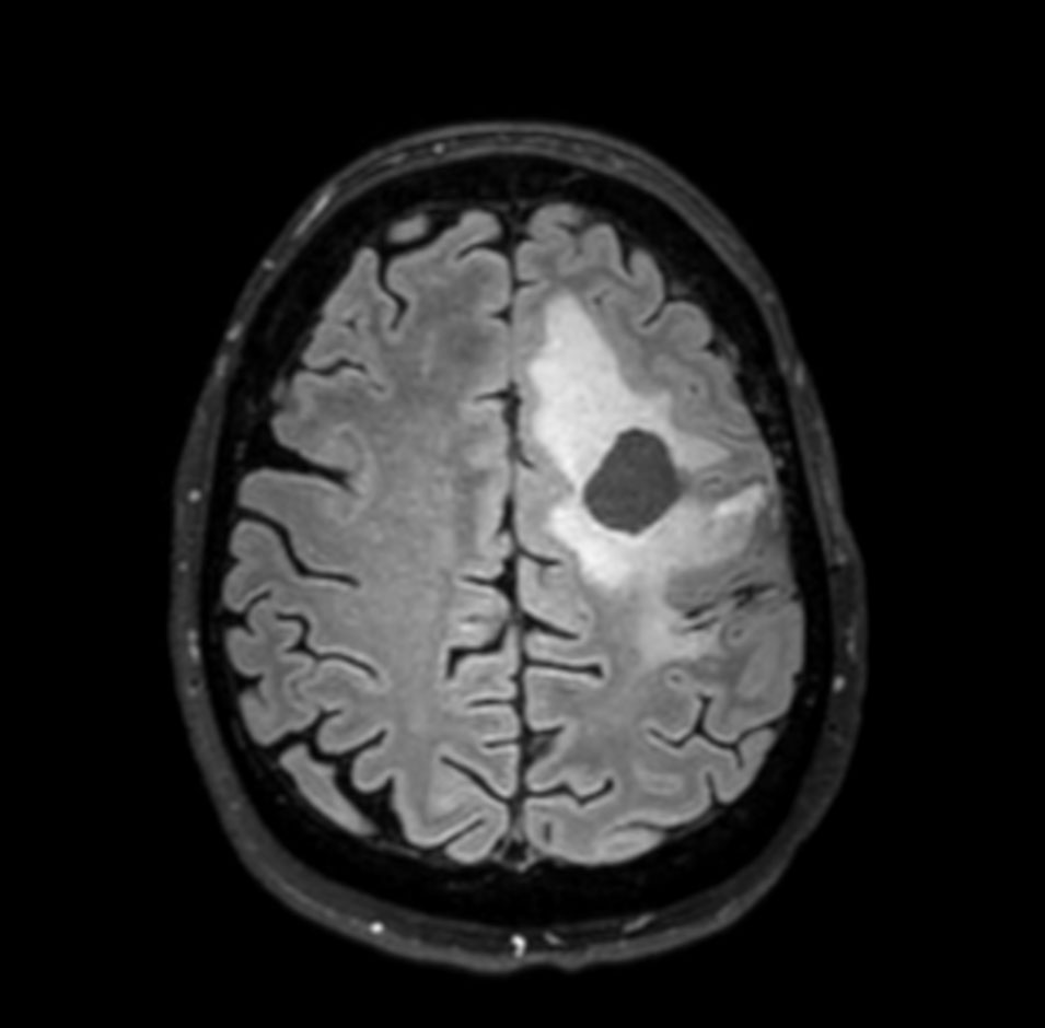
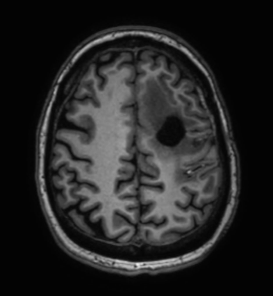
         3D T1w TFE - Axial reformat
- 
      
         Axial T2* Perfusion - TO
- 
      
         Axial T2* Perfusion - TTP
- 
      
         Axial T2* Perfusion - rCBF
- 
      
         Sagittal 3D T1w TFE (with gado)
- 
      
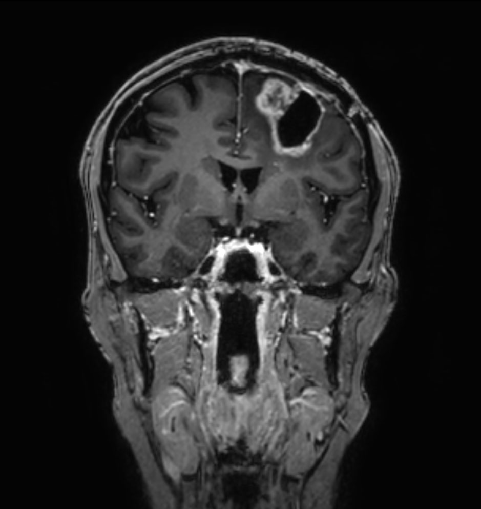
         3D T1w TFE - Coronal reformat (with gado)
- 
      
         3D T1w TFE - Axial reformat (with gado)
Previous
    Next         
    
    Close
    
    
        
        Resolution
ScantimeObjective
    
     
             
    
        
            *Results from case studies are not predictive of results in other cases. Results in other cases may vary.