Go back
        Soft Tissue of the neck
        
            Q-Scan Radiology Clinics, Coomera, Australia        
     
            
            
                
Patient information
                Imaging of the soft tissue of the neck with the dS HeadNeckSpine coil. MultiVane XD is used to deliver high resolution diagnostic images even in the case of patient motion. DWI XD TSE is used for robust suppression of motion artifacts and reduced distortion1. 4D-TRAK XD is used for fast, dynamic contrast-enhanced MR Angiography eabling high spatial and temporal resolution simultaneously. mDIXON XD is used for uniform, complete and consistent fat-free imaging. Black Blood imaging is used to better differentiate the vessel lumen from the intra lumen blood signal. Compressed SENSE is used to speed up the entire exam with virtually equal image quality.1.            
        
    
    
    
        Gallery
        
    
        - 
      
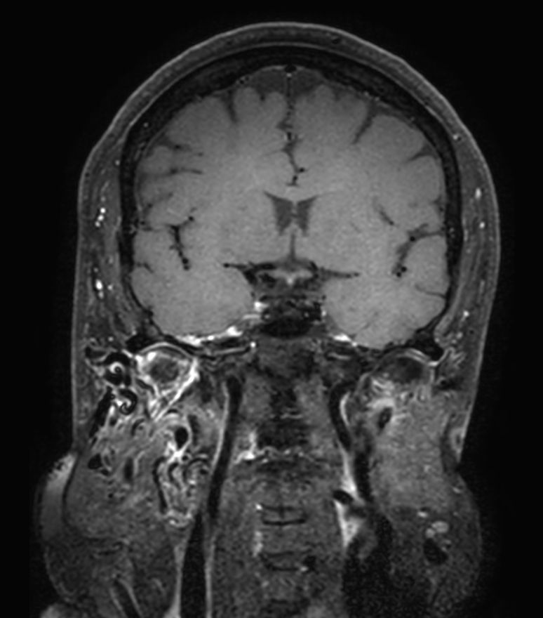
         T1w TSE Compressed SENSE
- 
      
         T2w SPAIR Compressed SENSE
- 
      
         T1w TSE Compressed SENSE
- 
      
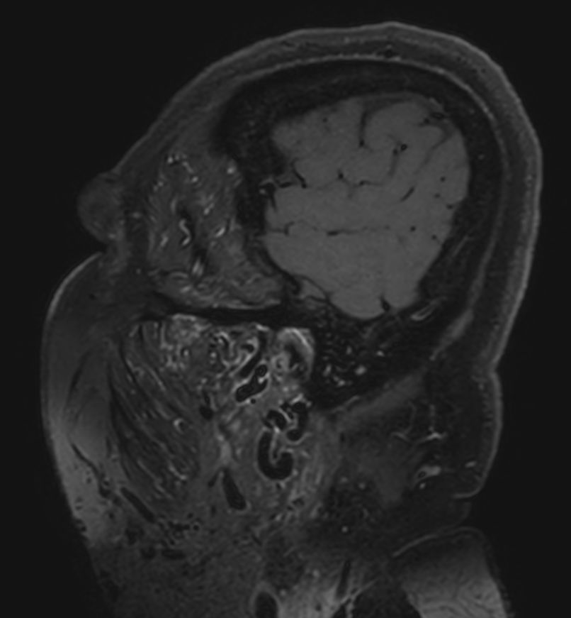
         STIR MultiVane XD
- 
      
         STIR MultiVane XD
- 
      
         DWI TSE XD (b600)
- 
      
         DWI TSE XD (ADC)
- 
      
         4D TRAK XD Compressed SENSE
                    
             
- 
      
         MR Venogram (+gado) Compressed SENSE
                    
             
- 
      
         T1w TSE mDIXON XD (+gado) Compressed SENSE
- 
      
         T1w TSE mDIXON XD (+gado) Compressed SENSE
- 
      
         T1w TSE mDIXON XD (+gado) Compressed SENSE
- 
      
         3D T1w Black Blood (+gado) Compressed SENSE
- 
      
         3D T1w Black Blood (+gado) (Reformat) Compressed SENSE
- 
      
         3D T1w Black Blood (+gado) (Reformat) Compressed SENSE
Previous
    Next         
    
    Close
    
    
        
        Resolution
ScantimeObjective
    
     
             
    
        
            *Results from case studies are not predictive of results in other cases. Results in other cases may vary.
1 Compared to Philips multi shot DWI TSE.
2 Compared to scans without Philips Compressed SENSE