- 
      
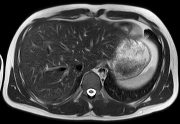
         Axial T2w TSE 
- 
    .jpg)  
         Axial T2w MultiVane XD (fast)
- 
    .jpg)  
         Axial T2w MultiVane XD (high res)
- 
      
         Axial T2w MultiVane XD SPIR (fast)
- 
      
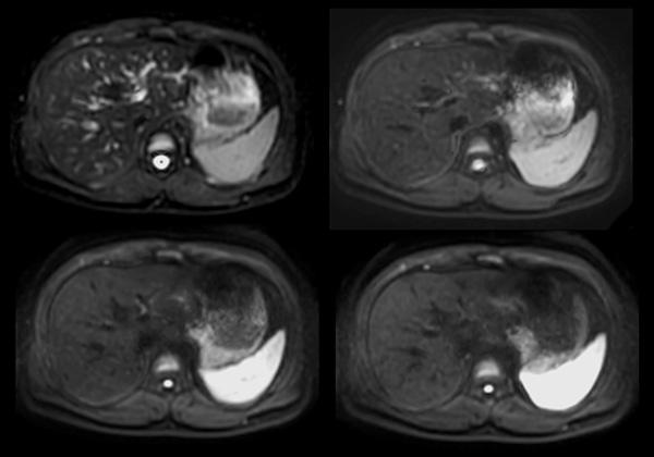
         Axial mDIXON (W, IP, OP, F)
- 
      
         Axial Diffusion (b0, 100, 300, 600)
- 
      
         3D MRCP (MIP)
- 
      
         Axial mDIXON Quant (Fat Fraction)
- 
      
         Axial mDIXON Quant (T2*)
- 
      
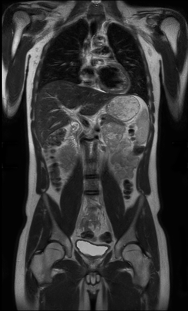
         Coronal T2w TSE (MobiView)