Go back
        Lumbar Spine in under 10 minutes total exam time
        
            Lenox Hill Radiology, Flushing, New York, USA        
     
            
            
                
Patient information
                Compressed SENSE is used in 2D sequences to enhance workflow by maintaining shorter scan slots, possibly allowing for more patients per day.
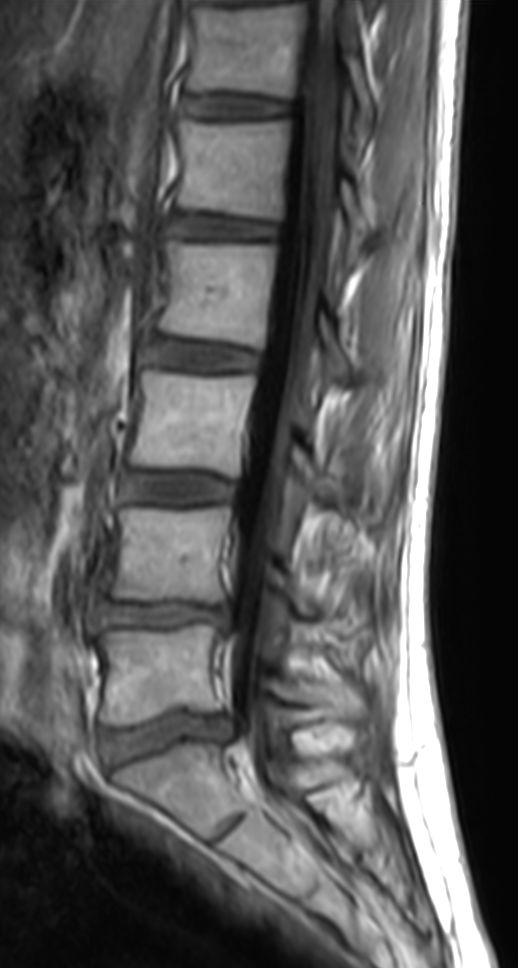
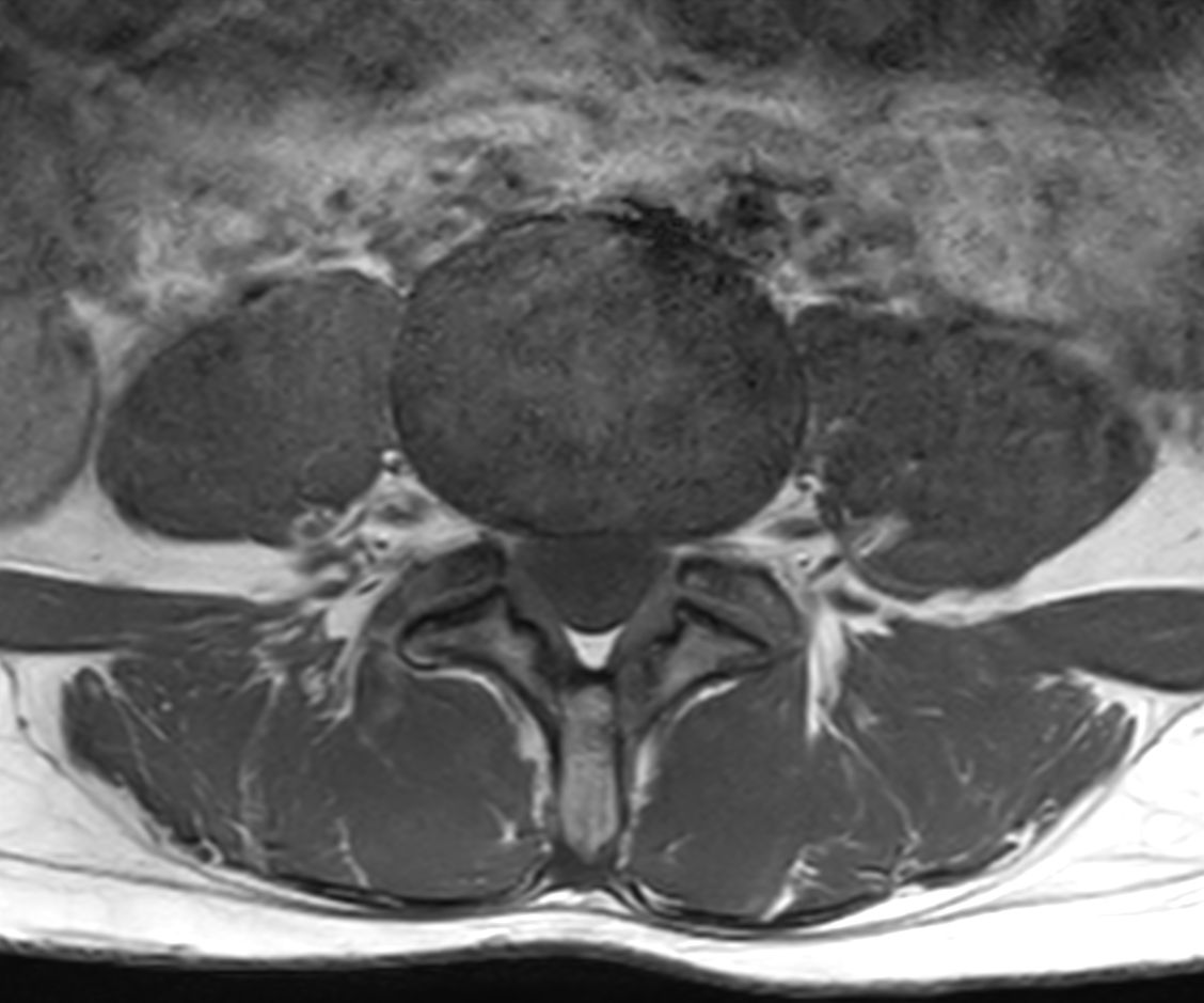
Total lumbar spine exam, showing excellent image quality in only 9:20 minutes.            
        
    
    
    
        Gallery
        
    
        - 
      
         Sagittal T2w TSE
- 
      
         Sagittal PDw TSE
- 
      
         Sagittal T1w FLAIR
- 
      
         Axial T2w TSE
- 
      
         Axial T1w TSE
Previous
    Next         
    
    Close
    
    
        
        Resolution
ScantimeObjective
    
     
             
    
        
            *Results from case studies are not predictive of results in other cases. Results in other cases may vary.
 1Compared to scans without Compressed SENSE
Results from case studies are not predictive of results in other cases. Results in other cases may vary.