Go back
        High resolution Prostate imaging with Compressed SENSE
        
            Krankenhaus der Barmherzigen Brüder, Trier, Germany        
     
    
    
    
        Gallery
        
    
        - 
      
         Axial T2w TSE
- 
      
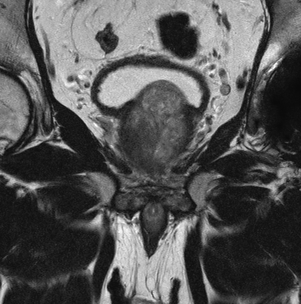
         Coronal T2w TSE
- 
      
         Sagittal T2w TSE MultiVane XD
- 
      
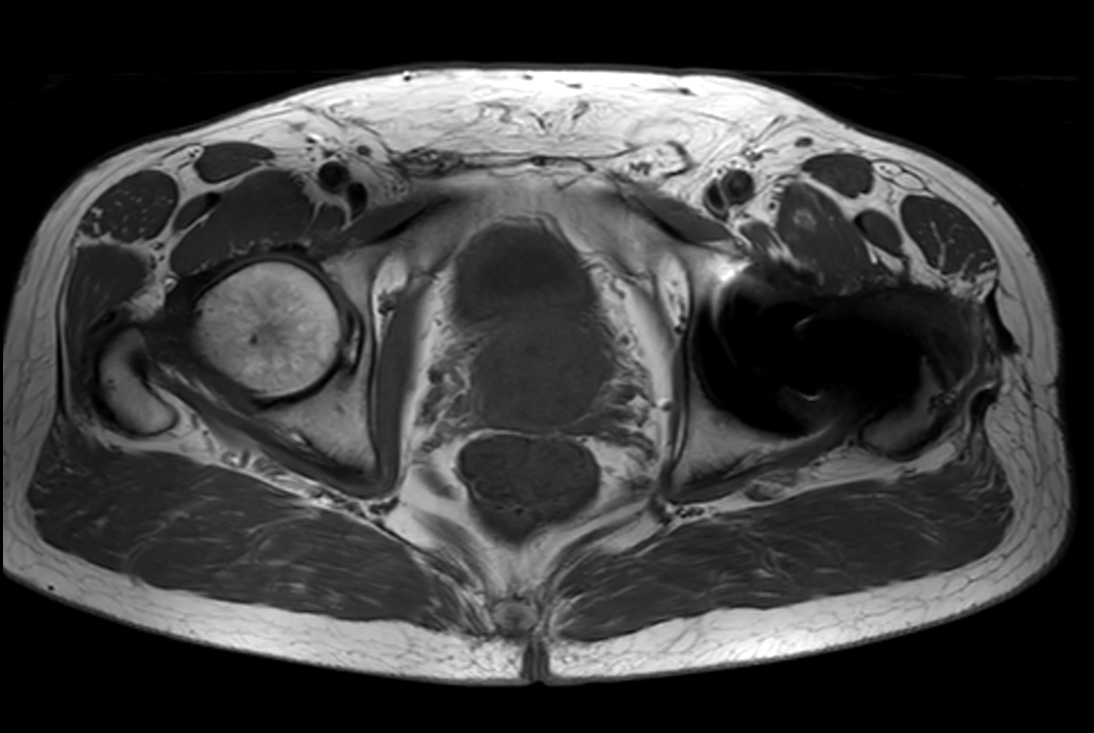
         Axial T1w TSE
- 
      
         Axial DWI (b100)
- 
      
         Axial DWI (b800)
- 
      
         Axial DWI (b1500)
- 
      
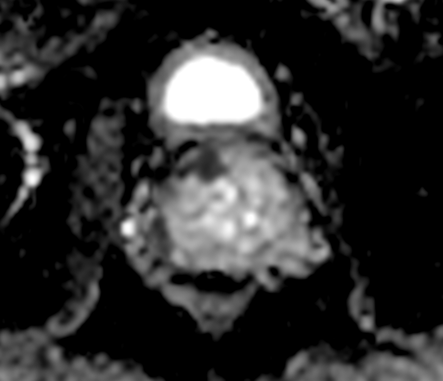
         Axial DWI (b2000)
- 
      
         Axial DWI (ADC)
- 
      
         Axial dynamic 3D T1w FFE - Permeability 44 sec
- 
      
         Axial dynamic 3D T1w FFE - Permeability 54 sec
- 
      
         Axial dynamic 3D T1w FFE - Permeability 
                    
             
- 
      
         Axial T1w TSE + gado
Previous
    Next         
    
    Close
    
    
        
        Resolution
ScantimeObjective
    
     
             
    
        
            *Results from case studies are not predictive of results in other cases. Results in other cases may vary.
 1Compared to scans without Compressed SENSE
Results from case studies are not predictive of results in other cases. Results in other cases may vary.