Go back

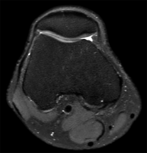
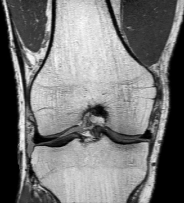
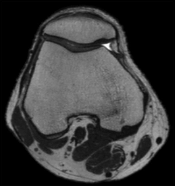
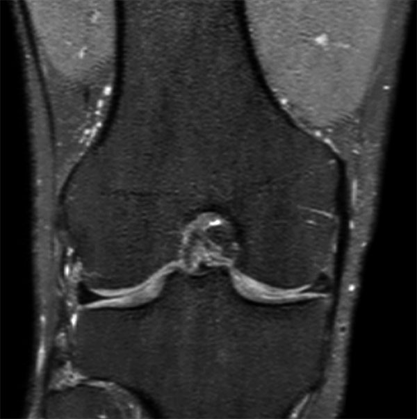
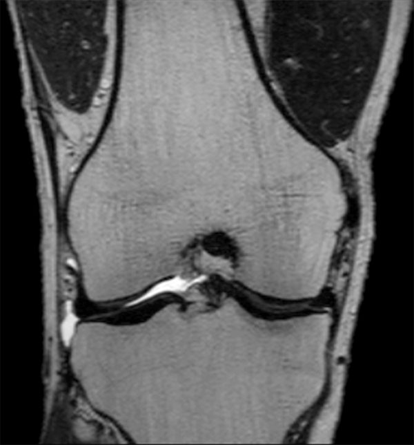
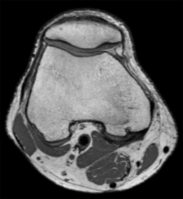
Comprehensive 3D knee imaging with MSK VIEW

Used Solution

  • System

  • Coil

  • Clinical Application

*Results from case studies are not predictive of results in other cases. Results in other cases may vary.