Go back
        Lymph nodes lesions with Compressed SENSE
        
            Kumamoto Chuo Hospital, Japan        
     
    
    
    
        Gallery
        
    
        - 
      
         Coronal STIR TSE
- 
      
         Coronal T2w TSE
- 
      
         Coronal T1w TSE
- 
      
         Axial DWIBS (b700)
- 
      
         DWIBS (b700) - Coronal MIP
- 
      
         Coronal T1w FatSat post-gado
- 
      
         Axial T1w TSE
- 
      
         Axial T2w TSE
- 
      
         Axial STIR TSE
- 
      
         Axial T1w mDIXON XD - pre-gado
- 
      
         Axial T1w mDIXON XD - post-gado (dyn 1)
- 
      
         Axial T1w mDIXON XD - post-gado (dyn 6)
- 
      
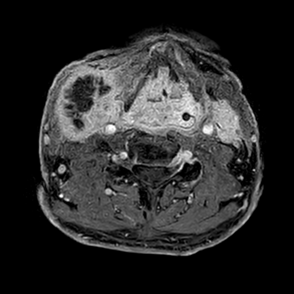
         Axial T1w TSE post-gado
- 
      
         Axial T1w mDIXON XD - post-gado 
- 
      
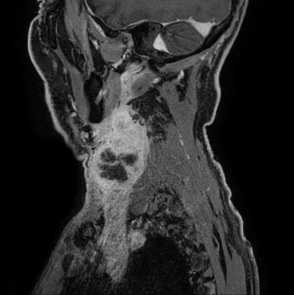
         Sagittal T1w mDIXON XD - post-gado 
Previous
    Next         
    
    Close
    
    
        
        Resolution
ScantimeObjective
    
     
             
    
        
            *Results from case studies are not predictive of results in other cases. Results in other cases may vary.
 1Compared to scans without Compressed SENSE
Results from case studies are not predictive of results in other cases. Results in other cases may vary.