Go back

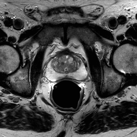
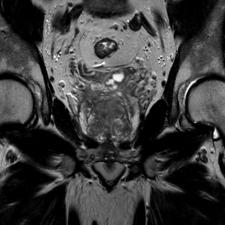
Prostate imaging with dS Endo + dS Torso coil

Advanced Diagnostic Radiology, Cumberland, USA

Used Solution

  • System

  • Coil

  • Coil

  • Clinical Application

*Results from case studies are not predictive of results in other cases. Results in other cases may vary.