Go back
        Liver and Pancreas
        
            Radiologie Schiffer, Berlin, Germany        
     
    
    
    
        Gallery
        
    
        - 
      
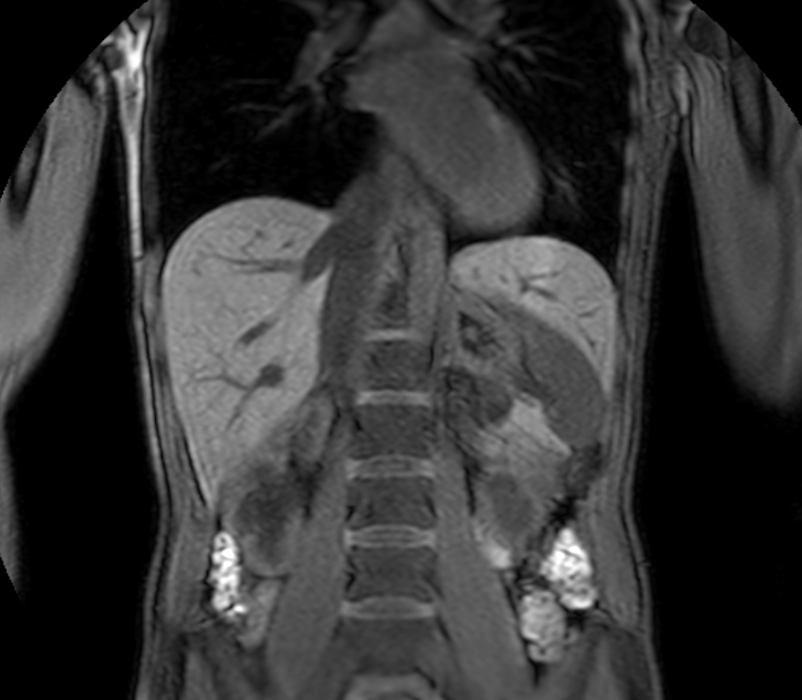
         Coronal T2w TSE
- 
      
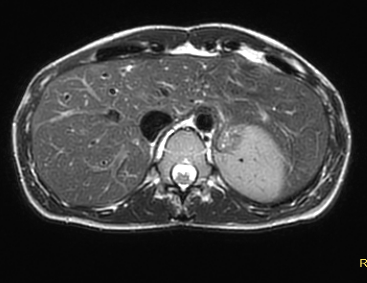
         Axial MultiVane XD - T2w SPIR
- 
      
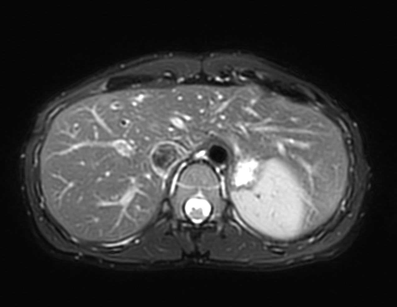
         Axial MultiVane XD - T2w TSE
- 
      
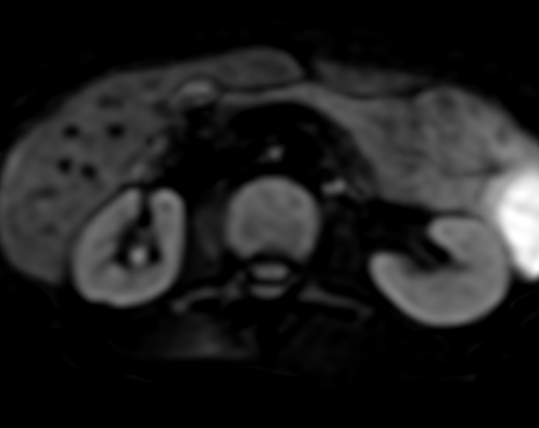
         Axial DWI (b600)
- 
      
         Axial DWI (ADC)
- 
      
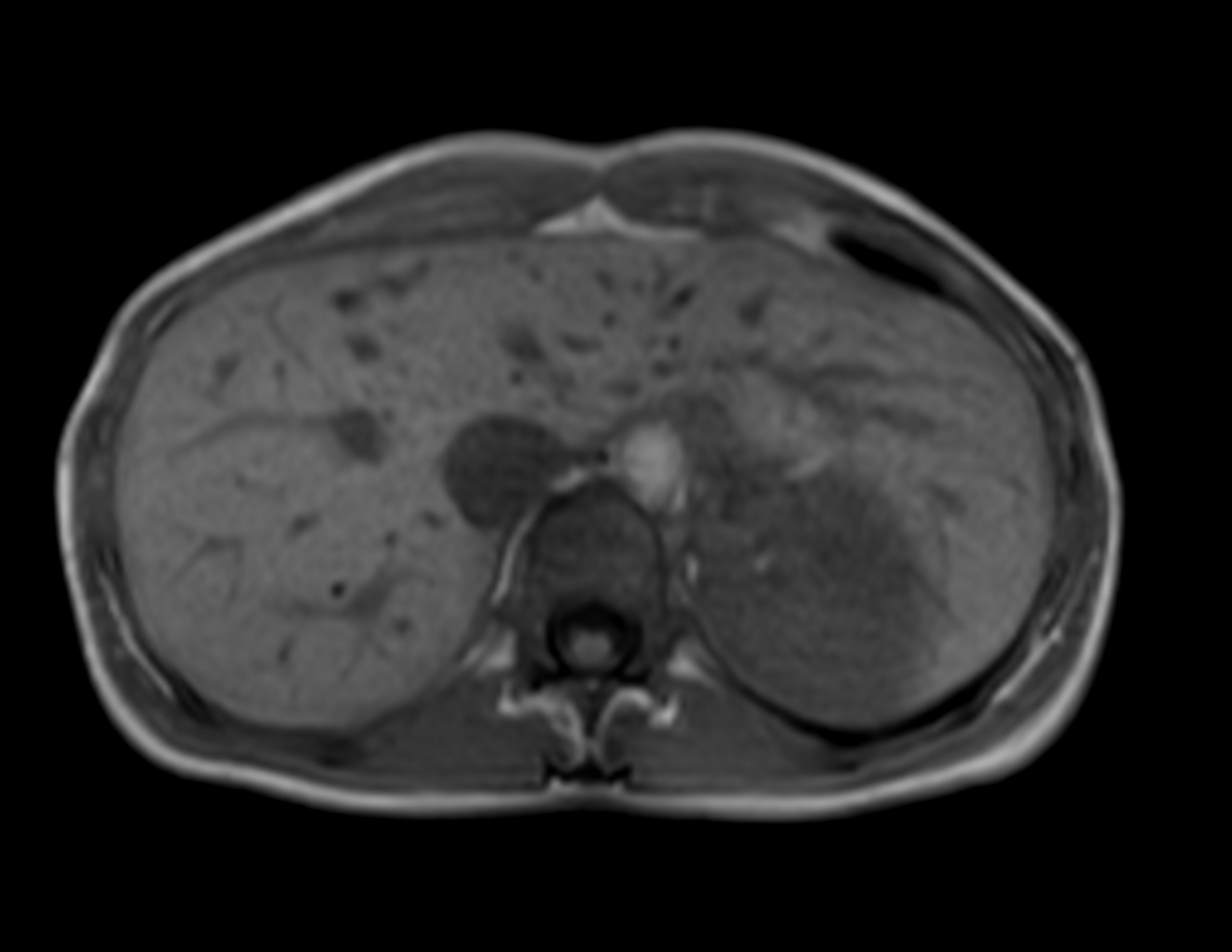
         Axial mDIXON XD - T1w FFE (Water only)
- 
      
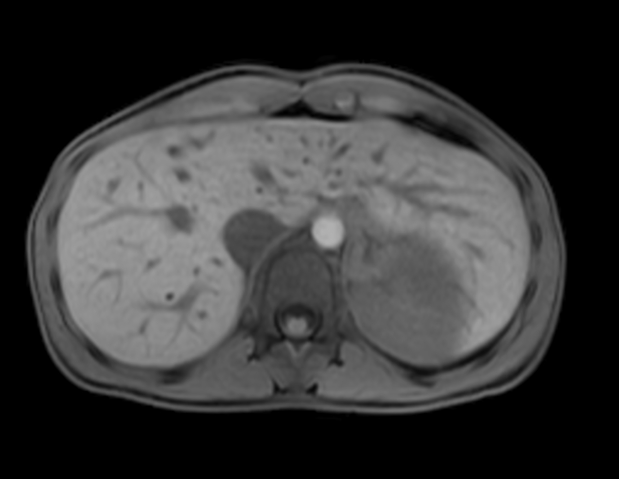
         Axial mDIXON XD - T1w FFE (In Phase)
- 
      
         Axial mDIXON XD - T1w FFE (Out Phase)
- 
      
         Axial mDIXON XD - T1w FFE (Fat only)
- 
      
         Axial mDIXON Quant (Fat fraction)
- 
      
         Axial mDIXON Quant (T2*)
- 
      
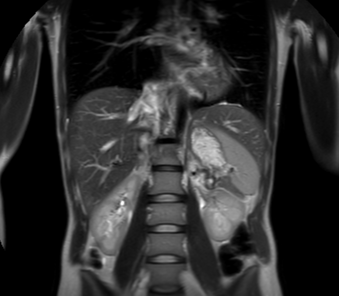
         Coronal mDIXON XD - T1w FFE plus gado (Water only)
- 
      
         Axial T1w eTHRIVE (pancreas)
- 
      
         Axial T2w SSh (pancreas)
- 
      
         Axial DWI (b600) (pancreas)
Previous
    Next         
    
    Close
    
    
        
        Resolution
ScantimeObjective
    
     
             
    
        
            *Results from case studies are not predictive of results in other cases. Results in other cases may vary.
Ingenia Prodiva is not available for sale in the USA.