Go back
Brain imaging with noise reduction
Radiologie am St Jozef Stift, Bremen, Germany
Gallery
-
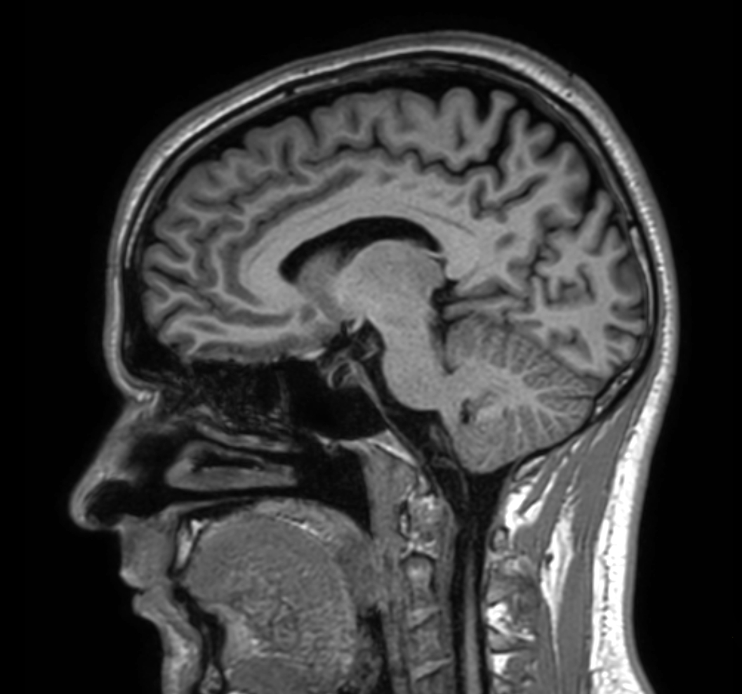
Sagittal 3D T1w TFE with ComforTone
-
3D T1w TFE with ComforTone (coronal reformat)
-
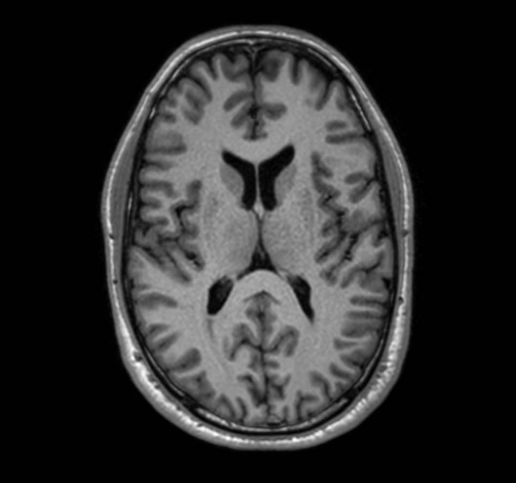
3D T1w TFE with ComforTone (axial reformat)
-
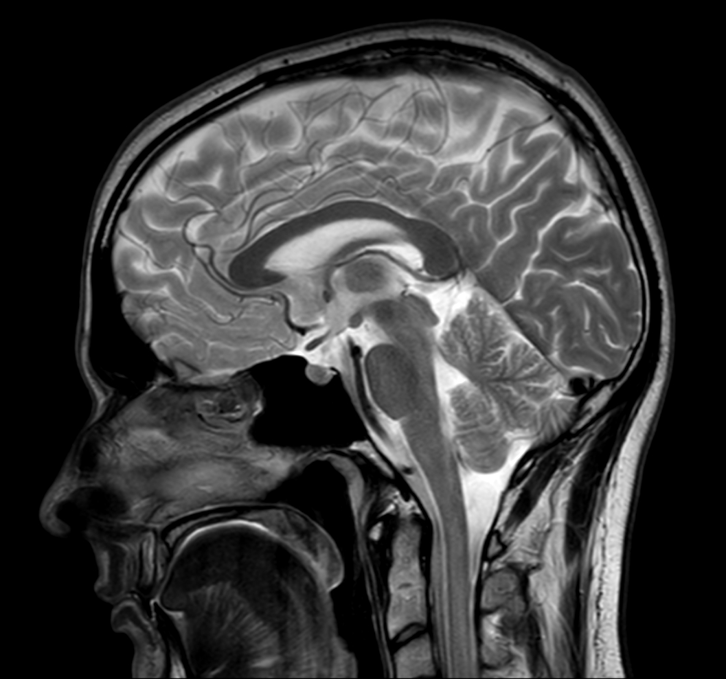
Sagittal T2w TSE with ComforTone
-
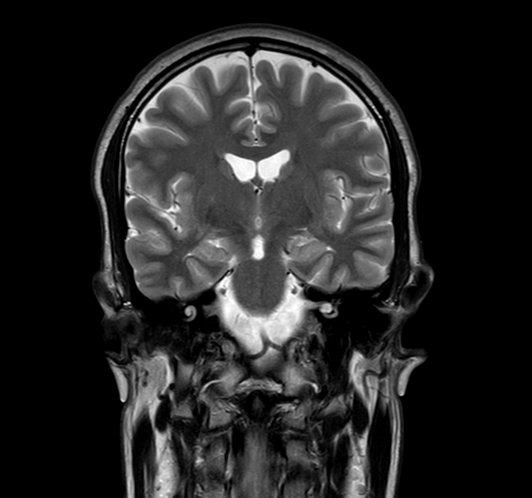
Coronal T2w TSE with ComforTone
Previous
Next
Close
Resolution
ScantimeObjective
*Results from case studies are not predictive of results in other cases. Results in other cases may vary.