Go back
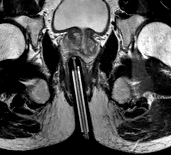
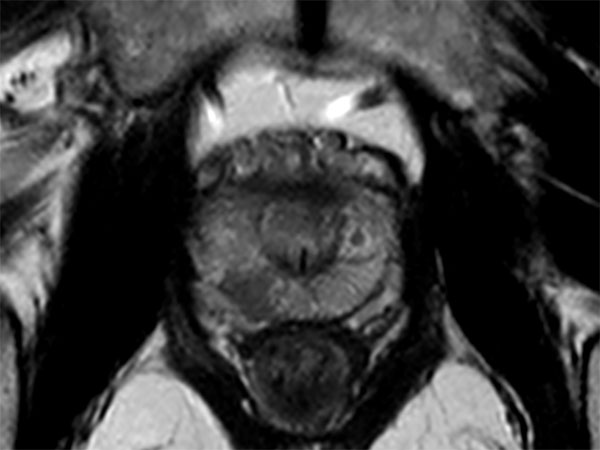
        Prostate Biopsy
        
            University Hospital Bonn, Germany        
     
            
            
                
Patient information
                73 year old male with known prostate carcinoma. Size of 5mm, located in right posterior region. Patient is under active surveillance. Request for MR-guided prostate biopsy to re-evaluate.            
        
    
    
    
        Gallery
                
    
    Close
    
    
        
        Resolution
ScantimeObjective
    
     
             
    
        
            *Results from case studies are not predictive of results in other cases. Results in other cases may vary.