Go back
        High quality imaging for brain, hippocampus and IAC
        
                    
     
            
            
                
Patient information
                High quality 3.0T imaging for brain, hippocampus and IAC on the uniquely designed Philips MR 7700 imaging system. Advanced 3D TSE imaging technique is used for T2w, FLAIR and T1w, to acquire high resolution data in multiple directions in only one single scan. Up to 35% higher SNR is achieved for echo-planar (EPI) diffusion imaging thanks to the added power of the XP gradients.            
        
    
    
    
        Gallery
        
    
        - 
      
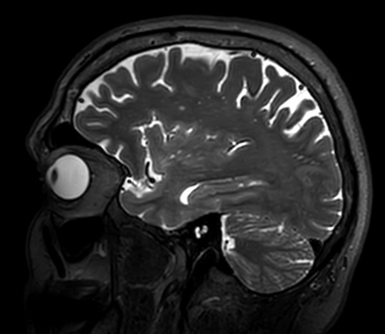
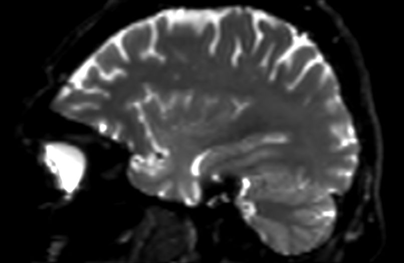
         Sagittal 3D VIEW - T2w TSE
- 
      
         3D VIEW - T2w TSE (coronal reformat)
- 
      
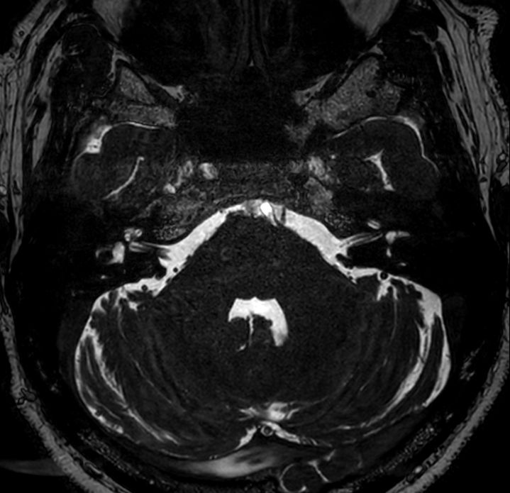
         3D VIEW - T2w TSE (axial reformat)
- 
      
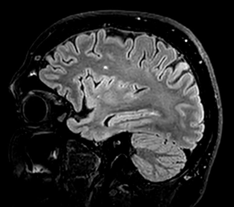
         Sagittal 3D VIEW - T2w FLAIR
- 
      
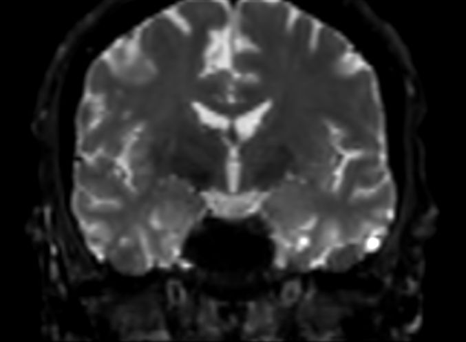
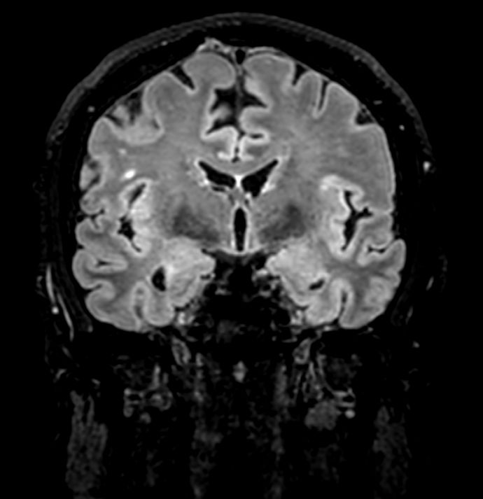
         3D VIEW - T2w FLAIR (coronal reformat)
- 
      
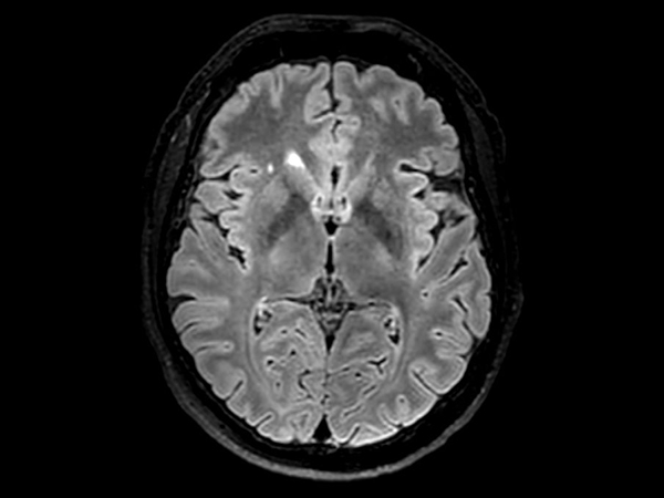
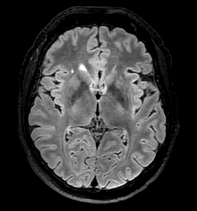
         3D VIEW - T2w FLAIR (axial reformat)
- 
      
         Sagittal 3D VIEW - T1w TSE
- 
      
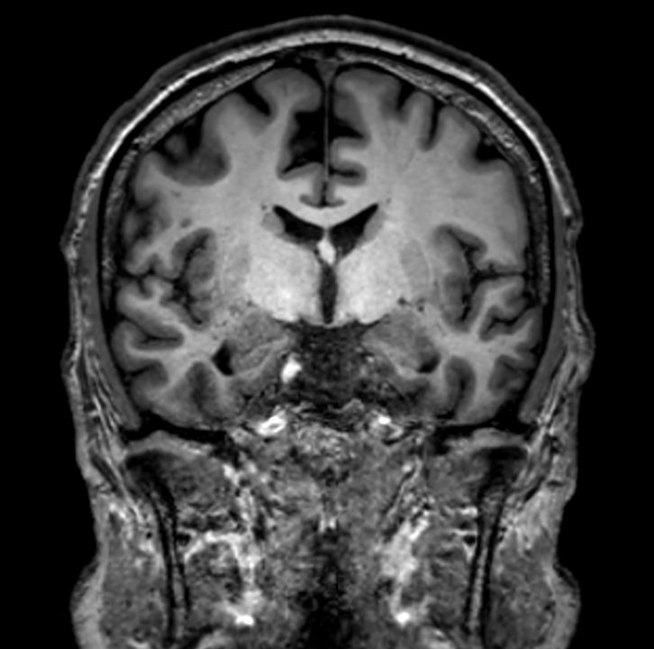
         3D VIEW - T1w TSE (coronal reformat)
- 
      
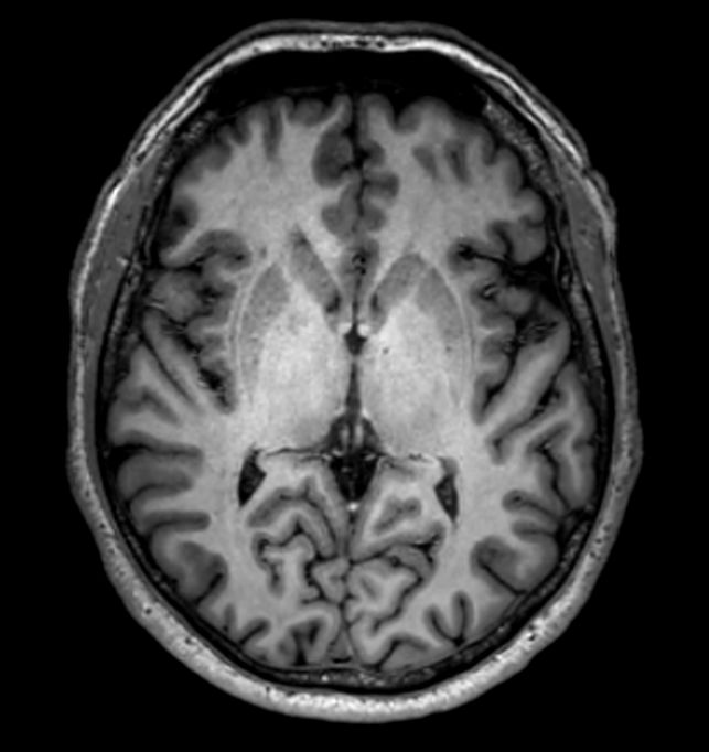
         3D VIEW - T1w TSE (axial reformat)
- 
      
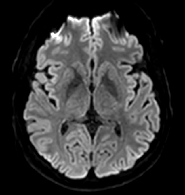
         Axial DWI b1000
- 
      
         DWI b1000 (coronal reformat)
- 
      
         DWI b1000 (sagittal reformat)
- 
      
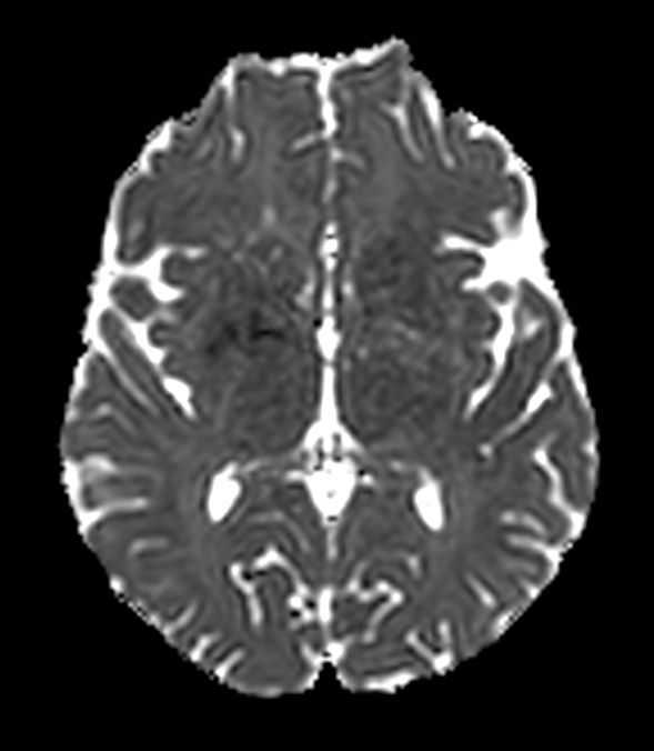
         Axial DWI b1000 (ADC)
- 
      
         Axial DWI b10.000
- 
      
         Axial IRIS Zoom b1000
- 
      
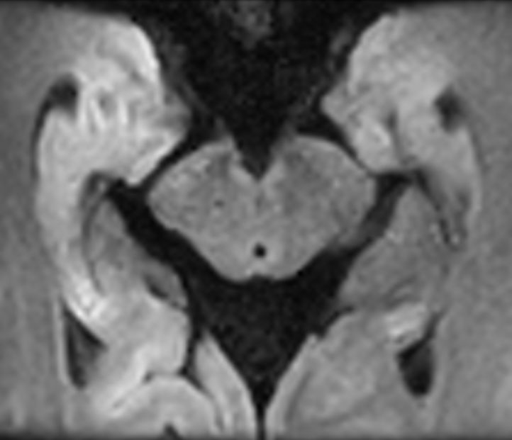
         Axial bFFE XD
- 
      
         Axial bFFE XD (3D render)
                    
             
- 
      
         4D-TRANCE
                    
             
Previous
    Next         
    
    Close
    
    
        
        Resolution
ScantimeObjective
    
     
             
    
        
            *Results from case studies are not predictive of results in other cases. Results in other cases may vary.