Go back
        Kidney imaging – Free breathing
        
            Shimane University Faculty of Medicine, Japan        
     
            
            
                
Patient information
                Patient with renal failure. ExamCard includes MultiVane XD to acquire motion-free diagnostic images and 4D FreeBreathing to perform multi-phase contrast-enhanced MRI studies.            
        
    
    
    
        Gallery
        
    
        - 
      
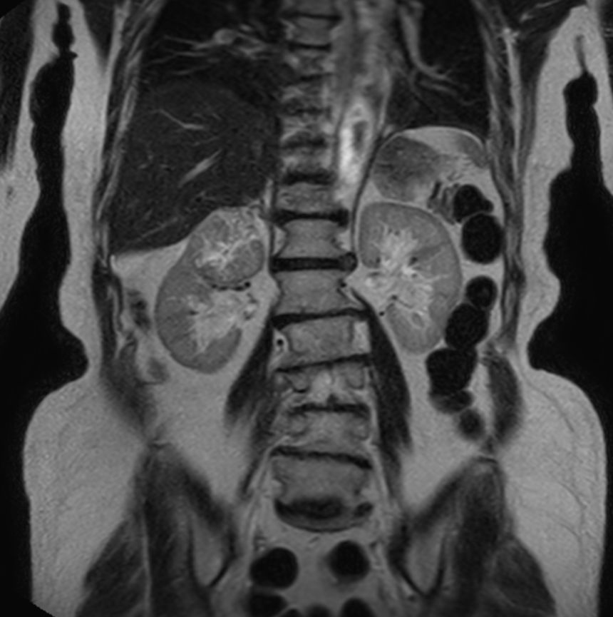
         T2w TSE - Free Breathing
- 
      
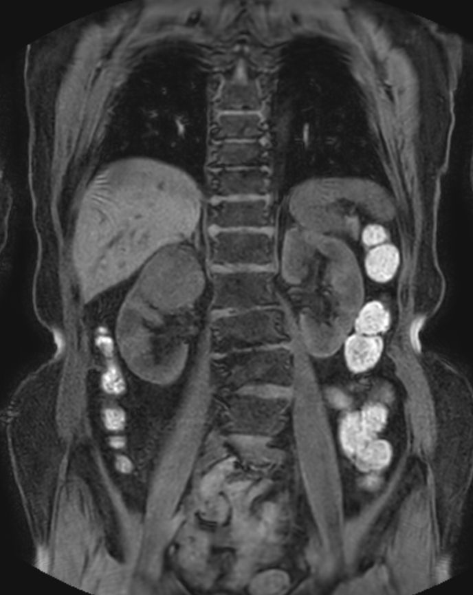
         Heavy T2w TSE - Free Breathing
- 
      
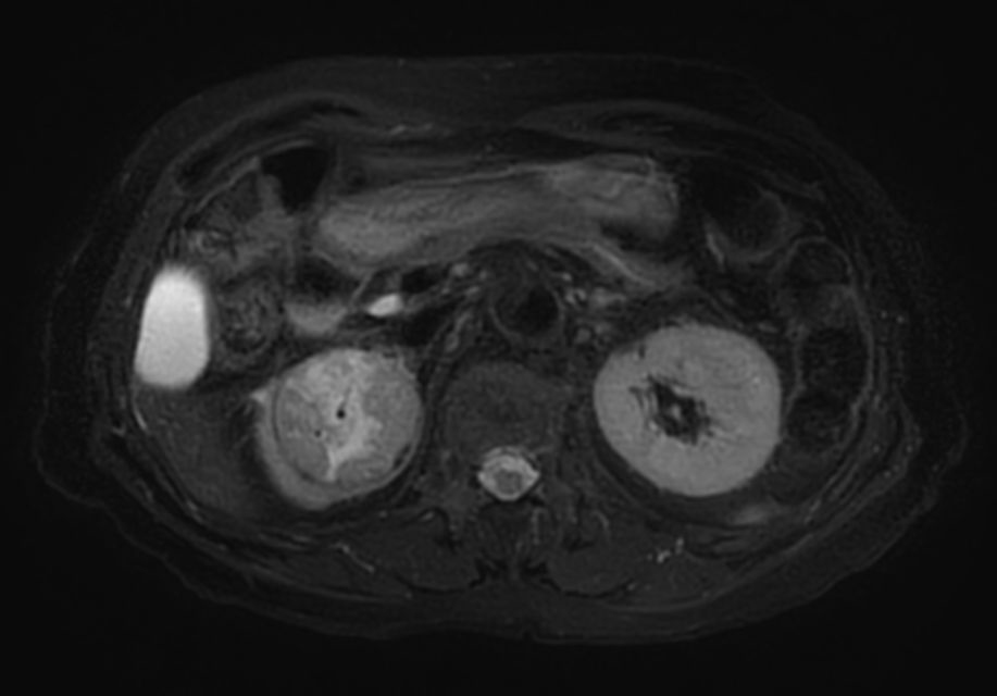
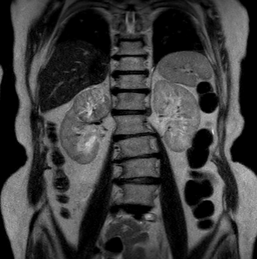
         T2w SPIR MultiVane XD - Free Breathing
- 
      
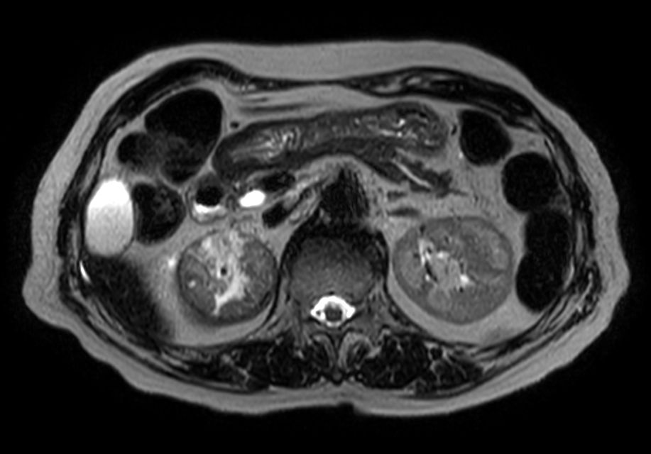
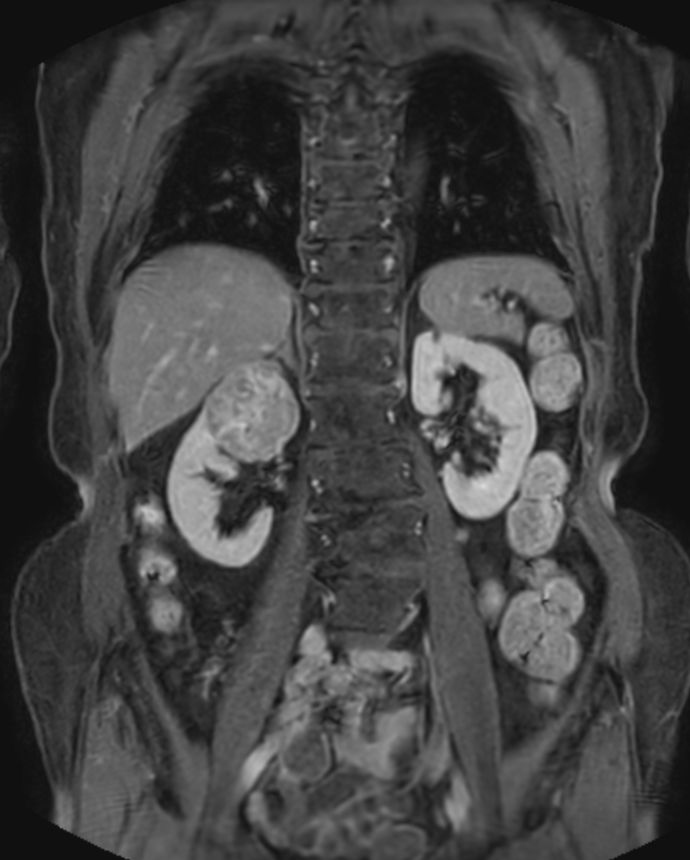
         T2w TSE - Free Breathing (6 mm)
- 
      
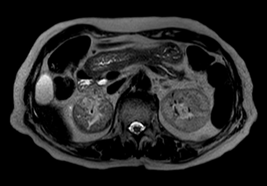
         T2w TSE - Free Breathing (4.5 mm)
- 
      
         T1w FFE mDIXON XD - Breath hold
- 
      
         T1w FFE mDIXON XD - Breath hold
- 
      
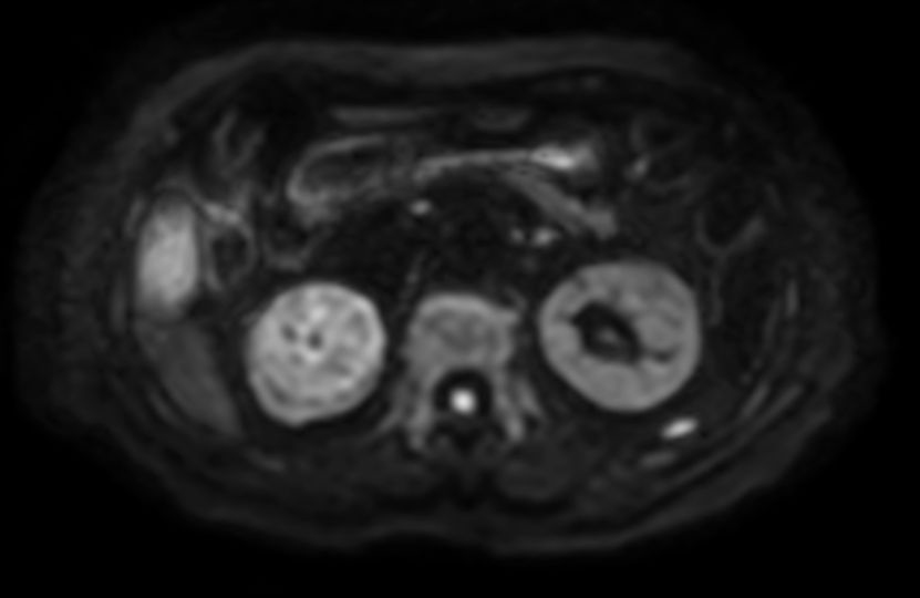
         Diffusion b800 - Free Breathing
- 
      
         Diffusion b800 (ADC) - Free Breathing
- 
      
         4D Free Breathing
                    
             
- 
      
         4D Free Breathing (subtraction)
                    
             
- 
      
         4D Free Breathing (MIP)
                    
             
- 
      
         T1w FFE mDIXON XD (post-gado) - Breath hold
- 
      
         T1w FFE mDIXON XD (post-gado) - Breath hold
Previous
    Next         
    
    Close
    
    
        
        Resolution
ScantimeObjective
    
     
             
    
        
            *Results from case studies are not predictive of results in other cases. Results in other cases may vary.