Go back
High resolution Ankle imaging in short scan times
Spital Uster, Switzerland
Gallery
-
Axial T1w TSE
-
Axial T2w TSE
-
Axial PDw TSE - mDIXON XD (In Phase)
-
Axial PDw TSE - mDIXON XD (Water only)
-
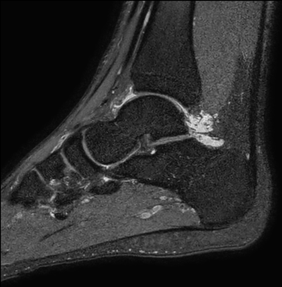
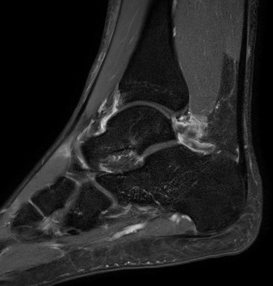
Sagittal PDw TSE - mDIXON XD (In Phase)
-
Sagittal PDw TSE - mDIXON XD (Water only)
-
Sagittal T1w TSE
-
Sagittal 3D PDw SPAIR (0.6 mm, 7 min)
-
Sagittal 3D PDw SPAIR (0.5 mm, 7 min)
-
Sagittal 3D PDw SPAIR (0.5 mm, 5 min)
-
Coronal T2w TSE - mDIXON XD (In Phase)
-
Coronal T2w TSE - mDIXON XD (Water only)
-
Axial T1w TSE - mDIXON XD (In Phase)Post-gado
-
Axial T1w TSE - mDIXON XD (Water only)Post-gado
-
Sagittal T1w TSE - mDIXON XD (In Phase)Post-gado
-
Sagittal T1w TSE - mDIXON XD (Water only)Post-gado
Previous
Next
Close
Resolution
ScantimeObjective
*Results from case studies are not predictive of results in other cases. Results in other cases may vary.