Go back
        MRI simulation for cervix treatment – variable bladder filling state
        
            University Medical Center, Utrecht, The Netherlands        
     
            
            
                
Patient information
                Patient diagnosed with cervical cancer referred for external beam radiotherapy. Three MRIs with different bladder filling were acquired: Half full (mid), empty and full bladder. Patient was imaged at Ingenia MR-RT 1.5T using FlexCoverage Anterior Coil in combination with the integrated Posterior Coil.            
        
    
    
    
        Gallery
        
    
        - 
      
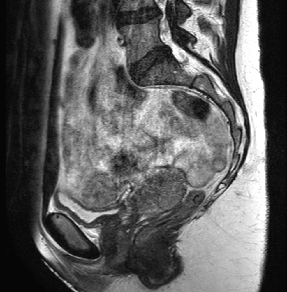
         Sagital T2w TSE mid
- 
      
         Axial T2w TSE mid
- 
      
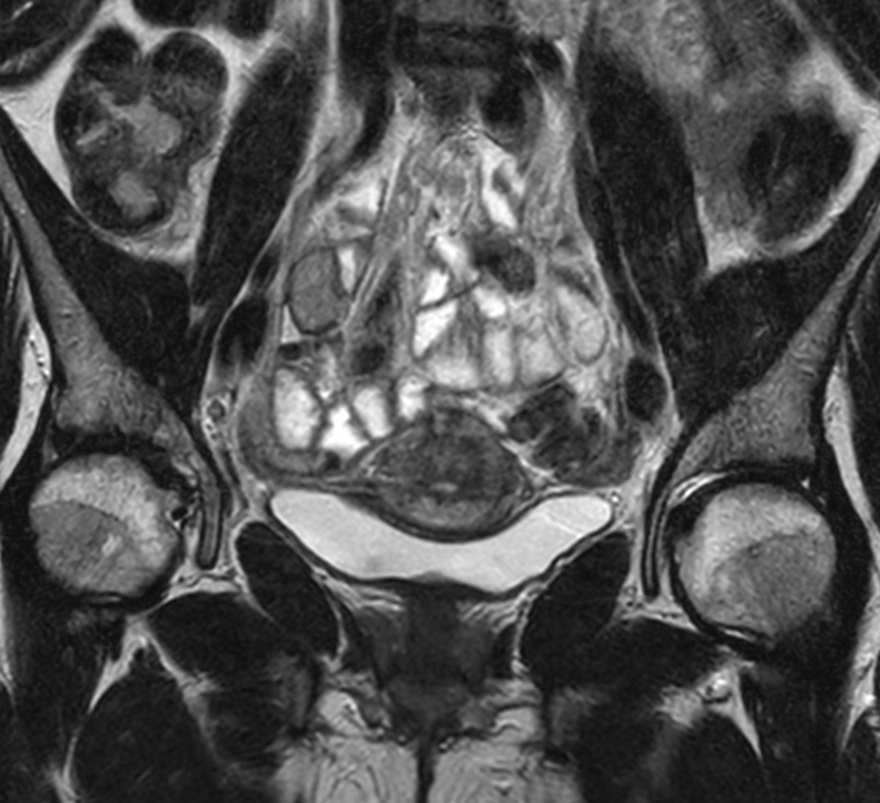
         Coronal T2w TSE mid
- 
      
         Axial PDw TSE mid
- 
      
         Axial DWI SPAIR (b800) mid
- 
      
         Axial DWI (ADC) mid
- 
      
         Sagital T2w TSE empty bladder
- 
      
         Axial T2w TSE mid
- 
      
         Coronal T2w TSE mid
- 
      
         Sagital T2w TSE full bladder
Previous
    Next         
    
    Close
    
    
        
        Resolution
ScantimeObjective
    
     
             
    
        
            *Results from case studies are not predictive of results in other cases. Results in other cases may vary.